Suppr超能文献

基于早期反应监测F-FDG-PET/CT对局部晚期非小细胞肺癌(NSCLC)经确定性放化疗后无反应者进行立体定向放射治疗增敏。

Stereotactic radiotherapy boost after definite chemoradiation for non-responding locally advanced NSCLC based on early response monitoring F-FDG-PET/CT.

作者信息

Meijer Tineke W H, Wijsman Robin, Usmanij Edwin A, Schuurbiers Olga C J, Kollenburg Peter van, Bouwmans Liza, Bussink Johan, Geus-Oei Lioe-Fee de

机构信息

Department of Radiation Oncology, Radboud University Medical Center, Nijmegen, The Netherlands.

Department of Radiation Oncology, University Medical Center Groningen, Groningen, The Netherlands.

出版信息

Phys Imaging Radiat Oncol. 2018 Aug 31;7:16-22. doi: 10.1016/j.phro.2018.08.003. eCollection 2018 Jul.

Abstract

BACKGROUND AND PURPOSE

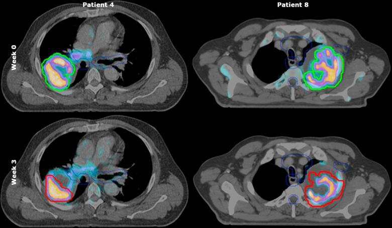
Prognosis of locally advanced non-small cell lung cancer remains poor despite chemoradiation. This planning study evaluated a stereotactic boost after concurrent chemoradiotherapy (30 × 2 Gy) to improve local control. The maximum achievable boost directed to radioresistant primary tumor subvolumes based on pre-treatment fluorine-18 fluorodeoxyglucose positron emission tomography/computed tomography (F-FDG-PET/CT) (pre-treatment-PET) and on early response monitoring F-FDG-PET/CT (ERM-PET) was compared.

MATERIALS AND METHODS

For ten patients, a stereotactic boost (VMAT) was planned on ERM-PET (PTV) and on pre-treatment-PET (PTV), using a 70% SUV threshold with 7 mm margin to segmentate radioresistant subvolumes. Dose was escalated till organ at risk (OAR) constraints were met, aiming to plan at least 18 Gy in 3 fractions (EQD 84 Gy/BED 100.8 Gy).

RESULTS

In five patients, PTV was 9-40% smaller relative to PTV. Overlap of PTV with OARs decreased also compared to overlap of PTV with OARs. However, any overlap with OAR remained in 4/5 patients resulting in minimal differences between planned dose before and during treatment. Median dose (EQD) covering 99% and 95% of PTV were 15 Gy and 18 Gy respectively. Median boost volume receiving a physical dose of  ≥ 18 Gy (V18) was 88%. V18 was ≥ 80% for PTV in six patients.

CONCLUSIONS

A significant stereotactic boost to volumes with high initial or persistent F-FDG-uptake could be planned above 60 Gy chemoradiation. Differences between planned dose before and during treatment were minimal. However, as an ERM-PET also monitors changes in tumor position, we recommend to plan the boost on the ERM-PET.

摘要

背景与目的

尽管进行了放化疗,局部晚期非小细胞肺癌的预后仍然很差。本规划研究评估了同步放化疗(30×2Gy)后进行立体定向加量放疗以改善局部控制的效果。比较了基于治疗前氟-18氟脱氧葡萄糖正电子发射断层扫描/计算机断层扫描(F-FDG-PET/CT)(治疗前PET)和早期反应监测F-FDG-PET/CT(ERM-PET)针对放射抗拒的原发肿瘤亚体积所能达到的最大加量放疗。

材料与方法

对10例患者,在ERM-PET(PTV)和治疗前PET(PTV)上计划立体定向加量放疗(容积调强弧形放疗),使用70%SUV阈值加7mm边界来分割放射抗拒亚体积。剂量逐步增加直至满足危及器官(OAR)限制,目标是计划在3次分割中给予至少18Gy(等效剂量84Gy/生物等效剂量100.8Gy)。

结果

5例患者中,相对于PTV,PTV小9%-40%。与PTV和OAR的重叠相比,PTV与OAR的重叠也减少了。然而,4/5的患者仍存在与OAR的任何重叠,导致治疗前和治疗期间计划剂量之间差异最小。覆盖PTV 99%和95%的中位剂量(等效剂量)分别为15Gy和18Gy。接受物理剂量≥18Gy(V18)的中位加量体积为88%。6例患者PTV的V18≥80%。

结论

在60Gy以上的放化疗基础上,可以对初始或持续F-FDG摄取高的体积进行显著的立体定向加量放疗。治疗前和治疗期间计划剂量之间的差异最小。然而,由于ERM-PET也监测肿瘤位置的变化,我们建议在ERM-PET上计划加量放疗。

https://cdn.ncbi.nlm.nih.gov/pmc/blobs/4037/7807537/6640b07903fd/gr1.jpg

文献检索

告别复杂PubMed语法,用中文像聊天一样搜索,搜遍4000万医学文献。AI智能推荐,让科研检索更轻松。

立即免费搜索

文件翻译

保留排版,准确专业,支持PDF/Word/PPT等文件格式,支持 12+语言互译。

免费翻译文档

深度研究

AI帮你快速写综述,25分钟生成高质量综述,智能提取关键信息,辅助科研写作。

立即免费体验