Sandron J, Hantson Ph, Duprez T
Department of Neuroradiology, Clinique Universitaire St-Luc, Bruxelles, Belgium.
Acta Radiol Open. 2020 Dec 24;9(12):2058460120980999. doi: 10.1177/2058460120980999. eCollection 2020 Dec.
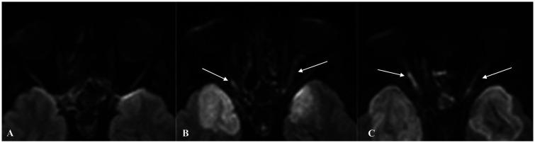
Mucormycosis is an opportunistic fungal infection involving among others the paranasal sinuses, nasal fossa and brain parenchyma. Mucor can invade the brain parenchyma by either contiguous spread from the paranasal sinuses or through vascular invasion. We report a case of fatal rhino-cerebral mucormycosis in whom cytotoxic edema at magnetic resonance diffusion-weighted imaging was symmetrically restricted to both neocortical and paleocortical primary areas of olfactory projection at earliest phase of the disease process. Shortly later tissue damage extended into the whole brain. This undescribed observation raised the hypothesis of preferential way of brain invasion by Mucor through the olfactory tract.
毛霉菌病是一种机会性真菌感染,累及鼻窦、鼻腔和脑实质等部位。毛霉菌可通过鼻窦的直接蔓延或血管侵袭侵入脑实质。我们报告一例致命的鼻脑毛霉菌病病例,在疾病进程的最早阶段,磁共振扩散加权成像显示的细胞毒性水肿对称地局限于嗅觉投射的新皮质和旧皮质初级区域。不久后,组织损伤扩展至整个大脑。这一未被描述的观察结果提出了毛霉菌通过嗅束优先侵入大脑的假说。