• 文献检索
  • 文档翻译
  • 深度研究
  • 学术资讯
  • Suppr Zotero 插件Zotero 插件
  • 邀请有礼
  • 套餐&价格
  • 历史记录
应用&插件
Suppr Zotero 插件Zotero 插件浏览器插件Mac 客户端Windows 客户端微信小程序
定价
高级版会员购买积分包购买API积分包
服务
文献检索文档翻译深度研究API 文档MCP 服务
关于我们
关于 Suppr公司介绍联系我们用户协议隐私条款
关注我们

Suppr 超能文献

核心技术专利:CN118964589B侵权必究
粤ICP备2023148730 号-1Suppr @ 2026

文献检索

告别复杂PubMed语法,用中文像聊天一样搜索,搜遍4000万医学文献。AI智能推荐,让科研检索更轻松。

立即免费搜索

文件翻译

保留排版,准确专业,支持PDF/Word/PPT等文件格式,支持 12+语言互译。

免费翻译文档

深度研究

AI帮你快速写综述,25分钟生成高质量综述,智能提取关键信息,辅助科研写作。

立即免费体验

非霍奇金淋巴瘤与结直肠癌:一名患有潜在DNA错配修复综合征患者的异时性发病

Non-Hodgkin's Lymphoma and Colorectal Carcinoma: Metachronous Occurrence in a Patient With Underlying DNA Mismatch Repair Syndrome.

作者信息

Shaukat Zunaira, Wali Rabia

机构信息

Pediatric Oncology, Shaukat Khanum Memorial Cancer Hospital and Research Centre, Lahore, PAK.

出版信息

Cureus. 2020 Dec 15;12(12):e12092. doi: 10.7759/cureus.12092.

DOI:10.7759/cureus.12092
PMID:33489510
原文链接:https://pmc.ncbi.nlm.nih.gov/articles/PMC7805505/
Abstract

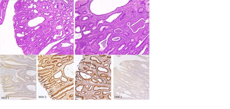
Constitutional mismatch repair deficiency (CMMRD) is an autosomal recessive disorder caused by biallelic mutations in DNA mismatch repair genes 1. These patients have clinical stigmata of neurofibromatosis 1 (NF-1) with childhood onset of hematological malignancies, high grade gliomas, and colorectal-cancers 2. We present a case of non-Hodgkin's lymphoma (NHL) who later on developed adenocarcinoma colon at an age of 11 years with significant family history of glioblastoma in elder brother and colonic cancer in mother. This is the first case of CMMRD in Pakistan who developed colonic neoplasm at the age of 11 years. Nearly 150 patients of CMMRD have been reported worldwide.

摘要

先天性错配修复缺陷(CMMRD)是一种常染色体隐性疾病,由DNA错配修复基因双等位基因突变引起。这些患者具有1型神经纤维瘤病(NF-1)的临床特征,伴有儿童期血液系统恶性肿瘤、高级别胶质瘤和结直肠癌。我们报告了一例非霍奇金淋巴瘤(NHL)患者,该患者11岁时患结肠腺癌,其哥哥有胶质母细胞瘤家族史,母亲有结肠癌家族史。这是巴基斯坦首例11岁时发生结肠肿瘤的CMMRD病例。全球已报告了近150例CMMRD患者。

https://cdn.ncbi.nlm.nih.gov/pmc/blobs/c290/7805505/3162fd5d3567/cureus-0012-00000012092-i03.jpg
https://cdn.ncbi.nlm.nih.gov/pmc/blobs/c290/7805505/edbb06791566/cureus-0012-00000012092-i01.jpg
https://cdn.ncbi.nlm.nih.gov/pmc/blobs/c290/7805505/a44a49b6d316/cureus-0012-00000012092-i02.jpg
https://cdn.ncbi.nlm.nih.gov/pmc/blobs/c290/7805505/3162fd5d3567/cureus-0012-00000012092-i03.jpg
https://cdn.ncbi.nlm.nih.gov/pmc/blobs/c290/7805505/edbb06791566/cureus-0012-00000012092-i01.jpg
https://cdn.ncbi.nlm.nih.gov/pmc/blobs/c290/7805505/a44a49b6d316/cureus-0012-00000012092-i02.jpg
https://cdn.ncbi.nlm.nih.gov/pmc/blobs/c290/7805505/3162fd5d3567/cureus-0012-00000012092-i03.jpg

相似文献

1
Non-Hodgkin's Lymphoma and Colorectal Carcinoma: Metachronous Occurrence in a Patient With Underlying DNA Mismatch Repair Syndrome.非霍奇金淋巴瘤与结直肠癌:一名患有潜在DNA错配修复综合征患者的异时性发病
Cureus. 2020 Dec 15;12(12):e12092. doi: 10.7759/cureus.12092.
2
An Unusual Case of Constitutional Mismatch Repair Deficiency Syndrome With Anaplastic Ganglioglioma, Colonic Adenocarcinoma, Osteosarcoma, Acute Myeloid Leukemia, and Signs of Neurofibromatosis Type 1: Case Report.一例伴有间变性节细胞胶质瘤、结肠腺癌、骨肉瘤、急性髓系白血病及1型神经纤维瘤病体征的先天性错配修复缺陷综合征罕见病例:病例报告
Neurosurgery. 2015 Jul;77(1):E145-52; discussion E152. doi: 10.1227/NEU.0000000000000754.
3
Acute lymphoblastic leukemia and lymphoma in the context of constitutional mismatch repair deficiency syndrome.先天性错配修复缺陷综合征背景下的急性淋巴细胞白血病和淋巴瘤
Eur J Med Genet. 2016 Mar;59(3):133-42. doi: 10.1016/j.ejmg.2015.12.014. Epub 2015 Dec 30.
4
Constitutional mismatch repair deficiency syndrome with atypical features caused by a homozygous missense variant (c.1918C>A, p.(Pro640Thr)): a case report.由纯合错义变体(c.1918C>A,p.(Pro640Thr))引起的具有非典型特征的先天性错配修复缺陷综合征:一例报告
Front Oncol. 2023 Aug 17;13:1195814. doi: 10.3389/fonc.2023.1195814. eCollection 2023.
5
Constitutional Mismatch Repair Deficiency (CMMRD) Syndrome: A Case Report of a Patient With Multiple Metachronous Malignancies.先天性错配修复缺陷(CMMRD)综合征:一例患有多个异时性恶性肿瘤患者的病例报告
Cureus. 2023 Jul 14;15(7):e41870. doi: 10.7759/cureus.41870. eCollection 2023 Jul.
6
Constitutional mismatch repair deficiency syndrome: Do we know it?先天性错配修复缺陷综合征:我们了解它吗?
Indian J Hum Genet. 2014 Apr;20(2):192-4. doi: 10.4103/0971-6866.142902.
7
Delineating a new feature of constitutional mismatch repair deficiency (CMMRD) syndrome: breast cancer.确定遗传性错配修复缺陷(CMMRD)综合征的一个新特征:乳腺癌。
Fam Cancer. 2019 Jan;18(1):105-108. doi: 10.1007/s10689-018-0088-0.
8
Immunotherapy holds the key to cancer treatment and prevention in constitutional mismatch repair deficiency (CMMRD) syndrome.免疫疗法是先天性错配修复缺陷(CMMRD)综合征癌症治疗和预防的关键。
Cancer Lett. 2017 Sep 10;403:159-164. doi: 10.1016/j.canlet.2017.06.018. Epub 2017 Jun 20.
9
Constitutional Mismatch Repair Deficiency in Israel: High Proportion of Founder Mutations in MMR Genes and Consanguinity.以色列的遗传性错配修复缺陷:错配修复基因中高比例的奠基者突变与近亲结婚
Pediatr Blood Cancer. 2016 Mar;63(3):418-27. doi: 10.1002/pbc.25818. Epub 2015 Nov 6.
10
Genetic and clinical determinants of constitutional mismatch repair deficiency syndrome: report from the constitutional mismatch repair deficiency consortium.遗传和临床决定因素导致的错配修复缺陷综合征:来自错配修复缺陷综合征联盟的报告。
Eur J Cancer. 2014 Mar;50(5):987-96. doi: 10.1016/j.ejca.2013.12.005. Epub 2014 Jan 15.

引用本文的文献

1
Synchronous childhood T-lymphoblastic lymphoma and B-cell precursor acute lymphoblastic leukemia associated with constitutional MMR deficiency syndrome -a case report.与遗传性错配修复缺陷综合征相关的儿童同步性T淋巴细胞母细胞淋巴瘤和B细胞前体急性淋巴细胞白血病——一例报告
Front Oncol. 2025 May 16;15:1580494. doi: 10.3389/fonc.2025.1580494. eCollection 2025.
2
Constitutional Mismatch Repair Deficiency (CMMRD) Syndrome: A Case Report of a Patient With Multiple Metachronous Malignancies.先天性错配修复缺陷(CMMRD)综合征:一例患有多个异时性恶性肿瘤患者的病例报告
Cureus. 2023 Jul 14;15(7):e41870. doi: 10.7759/cureus.41870. eCollection 2023 Jul.
3

本文引用的文献

1
Diagnosis of a case of homozygous constitutional MMR-deficiency by the use of a gene-panel in a non-consanguineous family: A case report.在一个非近亲家庭中使用基因检测板诊断纯合子遗传性错配修复缺陷病例:一例报告
Biomed Rep. 2020 Mar;12(3):134-138. doi: 10.3892/br.2019.1268. Epub 2019 Dec 20.
2
Impact of dose and duration of therapy on dexamethasone pharmacokinetics in childhood acute lymphoblastic leukaemia-a report from the UKALL 2011 trial.儿童急性淋巴细胞白血病中治疗剂量和时间对地塞米松药代动力学的影响——来自 UKALL 2011 试验的报告。
Eur J Cancer. 2019 Oct;120:75-85. doi: 10.1016/j.ejca.2019.07.026. Epub 2019 Sep 6.
3
A Constitutional Mismatch Repair Deficiency Syndrome Presented With an Advanced Rectal Cancer in a Juvenile Female: A Case Report and Literature Review.
一名青少年女性患晚期直肠癌伴发的遗传性错配修复缺陷综合征:病例报告及文献综述
Cureus. 2022 Apr 30;14(4):e24615. doi: 10.7759/cureus.24615. eCollection 2022 Apr.
Uncertainties in the Management of a Lynch Syndrome Patient: A Case Report.
林奇综合征患者管理中的不确定性:一例报告
GE Port J Gastroenterol. 2017 Sep;24(5):241-246. doi: 10.1159/000461590. Epub 2017 Mar 23.
4
Clinical Management and Tumor Surveillance Recommendations of Inherited Mismatch Repair Deficiency in Childhood.儿童遗传性错配修复缺陷的临床管理和肿瘤监测建议。
Clin Cancer Res. 2017 Jun 1;23(11):e32-e37. doi: 10.1158/1078-0432.CCR-17-0574.
5
Non-Hodgkin lymphoma and pre-existing conditions: spectrum, clinical characteristics and outcome in 213 children and adolescents.非霍奇金淋巴瘤与既往疾病:213例儿童和青少年的疾病谱、临床特征及预后
Haematologica. 2016 Dec;101(12):1581-1591. doi: 10.3324/haematol.2016.147116. Epub 2016 Aug 11.
6
Biochemical and imaging surveillance in germline TP53 mutation carriers with Li-Fraumeni syndrome: 11 year follow-up of a prospective observational study.胚系 TP53 突变携带者 Li-Fraumeni 综合征的生化和影像学监测:前瞻性观察研究的 11 年随访。
Lancet Oncol. 2016 Sep;17(9):1295-305. doi: 10.1016/S1470-2045(16)30249-2. Epub 2016 Aug 5.
7
Immune Checkpoint Inhibition for Hypermutant Glioblastoma Multiforme Resulting From Germline Biallelic Mismatch Repair Deficiency.免疫检查点抑制治疗胚系双等位基因错配修复缺陷所致超突变胶质母细胞瘤多形性。
J Clin Oncol. 2016 Jul 1;34(19):2206-11. doi: 10.1200/JCO.2016.66.6552. Epub 2016 Mar 21.
8
Constitutional mismatch repair deficiency syndrome: clinical description in a French cohort.先天性错配修复缺陷综合征:法国队列中的临床描述
J Med Genet. 2015 Nov;52(11):770-8. doi: 10.1136/jmedgenet-2015-103299. Epub 2015 Aug 28.
9
Constitutional mismatch repair deficiency syndrome: Do we know it?先天性错配修复缺陷综合征:我们了解它吗?
Indian J Hum Genet. 2014 Apr;20(2):192-4. doi: 10.4103/0971-6866.142902.
10
Diagnostic criteria for constitutional mismatch repair deficiency syndrome: suggestions of the European consortium 'care for CMMRD' (C4CMMRD).先天性错配修复缺陷综合征的诊断标准:欧洲“关爱CMMRD”(C4CMMRD)联盟的建议
J Med Genet. 2014 Jun;51(6):355-65. doi: 10.1136/jmedgenet-2014-102284. Epub 2014 Apr 15.