• 文献检索
  • 文档翻译
  • 深度研究
  • 学术资讯
  • Suppr Zotero 插件Zotero 插件
  • 邀请有礼
  • 套餐&价格
  • 历史记录
应用&插件
Suppr Zotero 插件Zotero 插件浏览器插件Mac 客户端Windows 客户端微信小程序
定价
高级版会员购买积分包购买API积分包
服务
文献检索文档翻译深度研究API 文档MCP 服务
关于我们
关于 Suppr公司介绍联系我们用户协议隐私条款
关注我们

Suppr 超能文献

核心技术专利:CN118964589B侵权必究
粤ICP备2023148730 号-1Suppr @ 2026

文献检索

告别复杂PubMed语法,用中文像聊天一样搜索,搜遍4000万医学文献。AI智能推荐,让科研检索更轻松。

立即免费搜索

文件翻译

保留排版,准确专业,支持PDF/Word/PPT等文件格式,支持 12+语言互译。

免费翻译文档

深度研究

AI帮你快速写综述,25分钟生成高质量综述,智能提取关键信息,辅助科研写作。

立即免费体验

胆结石性肠梗阻:罕见的表现及随后罕见的自然缓解

Gallstone Ileus: Uncommon Presentation Followed by Less Common Spontaneous Resolution.

作者信息

Hobbs Nicholas, Barghash Mohammed, Peters Paul A, Mansour Moustafa

机构信息

General Surgery, North Manchester General Hospital, Manchester, GBR.

出版信息

Cureus. 2020 Dec 18;12(12):e12138. doi: 10.7759/cureus.12138.

DOI:10.7759/cureus.12138
PMID:33489550
原文链接:https://pmc.ncbi.nlm.nih.gov/articles/PMC7813539/
Abstract

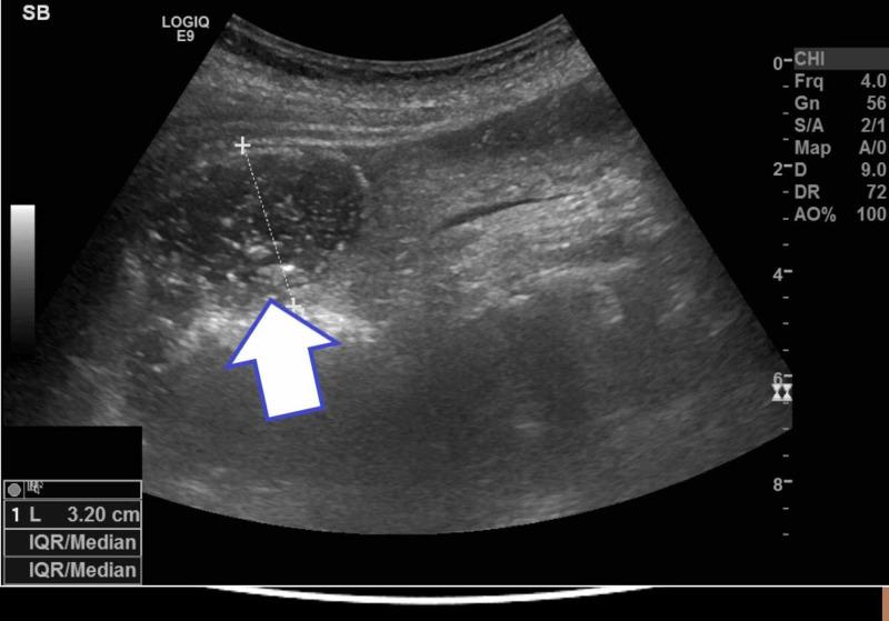
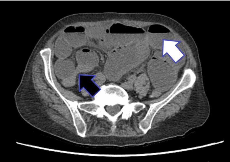
Gallstone ileus is a rare but significant cause of bowel obstruction. An 82-year-old female was admitted to the hospital with abdominal pain and was initially treated for a possible urinary tract infection. Following a surgical review and based on history, clinical examination as well as radiological findings, a diagnosis of gallstone ileus was made. The patient was prepared for surgery; however, whilst awaiting theatre, she spontaneously passed the obstructing gallstone with full resolution of bowel obstruction symptoms. The usual treatment for gallstone ileus is surgical management with an enterolithotomy; nevertheless, this case highlights the importance of close monitoring and adapting a management plan to fit an evolving clinical scenario.

摘要

胆石性肠梗阻是一种罕见但重要的肠梗阻病因。一名82岁女性因腹痛入院,最初因可能的尿路感染接受治疗。经过外科会诊,并根据病史、临床检查以及影像学检查结果,诊断为胆石性肠梗阻。患者已做好手术准备;然而,在等待手术期间,她自行排出了阻塞性胆结石,肠梗阻症状完全缓解。胆石性肠梗阻的常规治疗方法是行肠石切除术;尽管如此,该病例凸显了密切监测以及根据不断变化的临床情况调整治疗方案的重要性。

https://cdn.ncbi.nlm.nih.gov/pmc/blobs/7d12/7813539/29ab5071e1ec/cureus-0012-00000012138-i05.jpg
https://cdn.ncbi.nlm.nih.gov/pmc/blobs/7d12/7813539/c7d88c296a91/cureus-0012-00000012138-i01.jpg
https://cdn.ncbi.nlm.nih.gov/pmc/blobs/7d12/7813539/83f46419d654/cureus-0012-00000012138-i02.jpg
https://cdn.ncbi.nlm.nih.gov/pmc/blobs/7d12/7813539/6e4fd370adad/cureus-0012-00000012138-i03.jpg
https://cdn.ncbi.nlm.nih.gov/pmc/blobs/7d12/7813539/1a430084f584/cureus-0012-00000012138-i04.jpg
https://cdn.ncbi.nlm.nih.gov/pmc/blobs/7d12/7813539/29ab5071e1ec/cureus-0012-00000012138-i05.jpg
https://cdn.ncbi.nlm.nih.gov/pmc/blobs/7d12/7813539/c7d88c296a91/cureus-0012-00000012138-i01.jpg
https://cdn.ncbi.nlm.nih.gov/pmc/blobs/7d12/7813539/83f46419d654/cureus-0012-00000012138-i02.jpg
https://cdn.ncbi.nlm.nih.gov/pmc/blobs/7d12/7813539/6e4fd370adad/cureus-0012-00000012138-i03.jpg
https://cdn.ncbi.nlm.nih.gov/pmc/blobs/7d12/7813539/1a430084f584/cureus-0012-00000012138-i04.jpg
https://cdn.ncbi.nlm.nih.gov/pmc/blobs/7d12/7813539/29ab5071e1ec/cureus-0012-00000012138-i05.jpg

相似文献

1
Gallstone Ileus: Uncommon Presentation Followed by Less Common Spontaneous Resolution.胆结石性肠梗阻:罕见的表现及随后罕见的自然缓解
Cureus. 2020 Dec 18;12(12):e12138. doi: 10.7759/cureus.12138.
2
Gallstone ileus- A rare presentation in the era of rampant cholecystectomies.胆结石性肠梗阻——在胆囊切除术盛行的时代一种罕见的表现。
Int J Surg Case Rep. 2024 Jun;119:109702. doi: 10.1016/j.ijscr.2024.109702. Epub 2024 Apr 24.
3
Resolution of gallstone ileus with spontaneous evacuation of gallstone: a case report.胆囊结石自行排出致胆石性肠梗阻缓解:一例报告
Indian J Surg. 2013 Jun;75(3):228-31. doi: 10.1007/s12262-013-0818-3. Epub 2013 Feb 2.
4
A case of gallstone ileus displaying spontaneous closure of cholecystoduodenal fistula after enterolithotomy.一例胆石性肠梗阻患者在肠石切除术后胆囊十二指肠瘘自发闭合。
Int J Surg Case Rep. 2012;3(1):12-5. doi: 10.1016/j.ijscr.2011.07.012. Epub 2011 Oct 14.
5
Totally laparoscopic resolution of gallstone ileus: A case report.完全腹腔镜下解决胆石性肠梗阻:一例报告
Int J Surg Case Rep. 2022 Jan;90:106682. doi: 10.1016/j.ijscr.2021.106682. Epub 2021 Dec 11.
6
Laparoscopic management for gallstone ileus, case report.腹腔镜治疗胆石性肠梗阻,病例报告
Int J Surg Case Rep. 2018;51:268-271. doi: 10.1016/j.ijscr.2018.09.004. Epub 2018 Sep 10.
7
Jejunal perforation in gallstone ileus - a case series.胆石性肠梗阻中的空肠穿孔——病例系列
J Med Case Rep. 2007 Nov 28;1:157. doi: 10.1186/1752-1947-1-157.
8
Laparoscopic management of gallstone ileus: A case report and literature review.腹腔镜治疗胆石性肠梗阻:一例报告及文献综述
Int J Surg Case Rep. 2021 Aug;85:106171. doi: 10.1016/j.ijscr.2021.106171. Epub 2021 Jul 7.
9
Karewsky syndrome: A case report and review of the literature.卡列夫斯基综合征:一例病例报告及文献综述
Int J Surg Case Rep. 2015;12:143-5. doi: 10.1016/j.ijscr.2015.05.034. Epub 2015 Jun 3.
10
Spontaneous resolution of a gallstone ileus.胆囊结石性肠梗阻的自然缓解
J Surg Case Rep. 2012 Mar 1;2012(3):3. doi: 10.1093/jscr/2012.3.3.

引用本文的文献

1
Spontaneous resolution of gallstone ileus followed by imaging: A case report and a literature review.胆囊结石性肠梗阻自发缓解后的影像学表现:一例病例报告及文献综述
Radiol Case Rep. 2023 Jan 11;18(3):1175-1180. doi: 10.1016/j.radcr.2022.12.023. eCollection 2023 Mar.
2
Dual Bowel Obstruction: A Rare Case of Gallstone Ileus and Colonic Adenocarcinoma.双重肠梗阻:一例罕见的胆石性肠梗阻合并结肠腺癌病例
Cureus. 2022 Jan 18;14(1):e21379. doi: 10.7759/cureus.21379. eCollection 2022 Jan.

本文引用的文献

1
A case of successful conservative management of gallstone ileus.一例成功保守治疗的胆石性肠梗阻病例。
J Surg Case Rep. 2019 Aug 31;2019(8):rjz253. doi: 10.1093/jscr/rjz253. eCollection 2019 Aug.
2
Sigmoid gallstone ileus: A case report and literature review in Japan.乙状结肠胆结石性肠梗阻:日本的一例病例报告及文献综述
Int J Surg Case Rep. 2018;49:51-54. doi: 10.1016/j.ijscr.2018.06.015. Epub 2018 Jun 23.
3
Gall stone ileus: Unfamiliar cause of bowel obstruction. Case report and literature review.胆石性肠梗阻:肠梗阻的罕见病因。病例报告及文献综述
Int J Surg Case Rep. 2018;49:44-50. doi: 10.1016/j.ijscr.2018.06.010. Epub 2018 Jun 25.
4
Clinical and radiological diagnosis of gallstone ileus: a mini review.胆结石性肠梗阻的临床与影像学诊断:一篇综述
Emerg Radiol. 2018 Apr;25(2):189-196. doi: 10.1007/s10140-017-1568-5. Epub 2017 Nov 16.
5
Gallstone ileus, clinical presentation, diagnostic and treatment approach.胆结石性肠梗阻的临床表现、诊断及治疗方法。
World J Gastrointest Surg. 2016 Jan 27;8(1):65-76. doi: 10.4240/wjgs.v8.i1.65.
6
Spontaneous Resolution of Gallstone Ileus with Giant Stone: A Case Report and Literature Review.
J Am Geriatr Soc. 2015 Sep;63(9):1964-5. doi: 10.1111/jgs.13635.
7
Laparoscopic enterolithotomy for gallstone ileus.腹腔镜下胆囊结石性肠梗阻取石术
J Am Coll Surg. 2013 Aug;217(2):e13-5. doi: 10.1016/j.jamcollsurg.2013.04.037.
8
Surgery for gallstone ileus: a nationwide comparison of trends and outcomes.胆囊结石性肠梗阻的手术治疗:全国范围内的趋势和结局比较。
Ann Surg. 2014 Feb;259(2):329-35. doi: 10.1097/SLA.0b013e31827eefed.
9
The oldest patient with gallstone ileus: report of a case and review of 176 cases in Japan.最年长的胆石性肠梗阻患者:一例报告及日本176例病例回顾
Kurume Med J. 2008;55(1-2):29-33. doi: 10.2739/kurumemedj.55.29.
10
Gallstone ileus: rare and still controversial.胆石性肠梗阻:罕见且仍存在争议。
ANZ J Surg. 2005 Apr;75(4):234-8. doi: 10.1111/j.1445-2197.2005.03368.x.