• 文献检索
  • 文档翻译
  • 深度研究
  • 学术资讯
  • Suppr Zotero 插件Zotero 插件
  • 邀请有礼
  • 套餐&价格
  • 历史记录
应用&插件
Suppr Zotero 插件Zotero 插件浏览器插件Mac 客户端Windows 客户端微信小程序
定价
高级版会员购买积分包购买API积分包
服务
文献检索文档翻译深度研究API 文档MCP 服务
关于我们
关于 Suppr公司介绍联系我们用户协议隐私条款
关注我们

Suppr 超能文献

核心技术专利:CN118964589B侵权必究
粤ICP备2023148730 号-1Suppr @ 2026

文献检索

告别复杂PubMed语法,用中文像聊天一样搜索,搜遍4000万医学文献。AI智能推荐,让科研检索更轻松。

立即免费搜索

文件翻译

保留排版,准确专业,支持PDF/Word/PPT等文件格式,支持 12+语言互译。

免费翻译文档

深度研究

AI帮你快速写综述,25分钟生成高质量综述,智能提取关键信息,辅助科研写作。

立即免费体验

人类阴茎骨化:性功能障碍的罕见原因——一例报告及文献综述

Human Penile Ossification: A Rare Cause of Sexual Dysfunction - A Case Report and Review of the Literature.

作者信息

Belshoff Alex, Aragao Alessa, Bajic Petar, Picken Maria M, Gonzalez Christopher

机构信息

Urology, Loyola University Medical Center, Maywood, USA.

Department of Pathology and Laboratory Medicine, Loyola University Medical Center, Maywood, USA.

出版信息

Cureus. 2021 Jan 13;13(1):e12675. doi: 10.7759/cureus.12675.

DOI:10.7759/cureus.12675
PMID:33489632
原文链接:https://pmc.ncbi.nlm.nih.gov/articles/PMC7805496/
Abstract

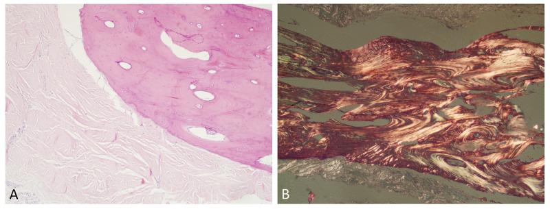
Human penile ossification is a rare urologic condition with approximately 40 cases reported in the literature so far. While bone is essential for penetrative intercourse in many non-human mammals, human penile ossification appears to be part of a metaplastic process occurring after injury or trauma. Conditions such as Peyronie's disease, diabetes mellitus, local trauma, and end-stage renal disease have been associated with this entity. We report the case of a 65-year-old male with penile curvature and a history of painful intercourse who underwent partial excision and grafting with bovine pericardial graft and was found on pathologic examination to have penile ossification.

摘要

人类阴茎骨化是一种罕见的泌尿系统疾病,迄今为止文献报道约有40例。虽然在许多非人类哺乳动物中,骨骼对于性交至关重要,但人类阴茎骨化似乎是损伤或创伤后发生的化生过程的一部分。佩罗尼氏病、糖尿病、局部创伤和终末期肾病等情况已与该病症相关联。我们报告了一例65岁男性病例,该患者有阴茎弯曲和性交疼痛史,接受了部分切除并用牛心包移植物进行移植,病理检查发现有阴茎骨化。

https://cdn.ncbi.nlm.nih.gov/pmc/blobs/838d/7805496/85b3eb9dd2b3/cureus-0013-00000012675-i02.jpg
https://cdn.ncbi.nlm.nih.gov/pmc/blobs/838d/7805496/dedfcfc4df36/cureus-0013-00000012675-i01.jpg
https://cdn.ncbi.nlm.nih.gov/pmc/blobs/838d/7805496/85b3eb9dd2b3/cureus-0013-00000012675-i02.jpg
https://cdn.ncbi.nlm.nih.gov/pmc/blobs/838d/7805496/dedfcfc4df36/cureus-0013-00000012675-i01.jpg
https://cdn.ncbi.nlm.nih.gov/pmc/blobs/838d/7805496/85b3eb9dd2b3/cureus-0013-00000012675-i02.jpg

相似文献

1
Human Penile Ossification: A Rare Cause of Sexual Dysfunction - A Case Report and Review of the Literature.人类阴茎骨化:性功能障碍的罕见原因——一例报告及文献综述
Cureus. 2021 Jan 13;13(1):e12675. doi: 10.7759/cureus.12675.
2
Penile ossification: A traumatic event or evolutionary throwback? Case report and review of the literature.
Can Urol Assoc J. 2013 Jan-Feb;7(1-2):E112-4. doi: 10.5489/cuaj.249.
3
Management of Peyronie's disease--a review.佩罗尼氏病的治疗——综述
World J Urol. 2001 Aug;19(4):244-50.
4
Management of Peyronie's disease - a review.佩罗尼氏病的治疗——综述
World J Urol. 2001 Aug;19(4):244-250. doi: 10.1007/s003450100209.
5
Penile trauma: an etiologic factor in Peyronie's disease and erectile dysfunction.阴茎创伤:佩罗尼氏病和勃起功能障碍的一个病因
J Urol. 1997 Oct;158(4):1388-90. doi: 10.1016/s0022-5347(01)64222-8.
6
Penile prosthesis implant with bi-triangular excision and graft for surgical therapy of Peyronie's disease: A case report.采用双三角形切除与移植的阴茎假体植入术治疗佩罗尼氏病:一例报告
Arch Ital Urol Androl. 2016 Jan 14;87(4):337-8. doi: 10.4081/aiua.2015.4.337.
7
Could plaque excision surgery with sis graft induce a new fibrotic reaction in la Peyronie's disease patients?佩罗尼氏病患者进行带补片的斑块切除手术会引发新的纤维化反应吗?
Arch Ital Urol Androl. 2007 Dec;79(4):167-9.
8
Surgical Outcomes of Plaque Excision and Grafting and Supplemental Tunica Albuginea Plication for Treatment of Peyronie's Disease With Severe Compound Curvature.严重复合弯曲型 Peyronie 病采用斑块切除和移植物植入及补充白膜折叠术的手术治疗效果。
J Sex Med. 2018 Jul;15(7):1021-1029. doi: 10.1016/j.jsxm.2018.04.642. Epub 2018 May 22.
9
Contemporary Review of Grafting Techniques for the Surgical Treatment of Peyronie's Disease.当代阴茎硬结症手术治疗中移植物技术的研究进展。
Sex Med Rev. 2017 Oct;5(4):544-552. doi: 10.1016/j.sxmr.2017.01.006. Epub 2017 Mar 1.
10
The treatment of loss of penile rigidity associated with Peyronie's disease.佩罗尼氏病相关阴茎勃起功能丧失的治疗。
Scand J Urol Nephrol Suppl. 1996;179:147-50.

引用本文的文献

1
Surgical management of complex curvature in Peyronie's disease.复杂性弯曲型 Peyronie 病的手术治疗。
World J Urol. 2024 Apr 30;42(1):276. doi: 10.1007/s00345-024-04936-z.

本文引用的文献

1
Penile ossification: A reconstructive challenge.阴茎骨化:一项重建挑战。
Rev Urol. 2017;19(1):64-67. doi: 10.3909/riu0722.
2
An atypical presentation of heterotopic ossification following pelvic ring injury.
Bull Hosp Jt Dis (2013). 2014;72(4):305-7.
3
Penile ossification: A traumatic event or evolutionary throwback? Case report and review of the literature.
Can Urol Assoc J. 2013 Jan-Feb;7(1-2):E112-4. doi: 10.5489/cuaj.249.
4
CONGENITAL OS PENIS.
J Urol. 1964 Jun;91:663-4. doi: 10.1016/S0022-5347(17)64197-1.
5
A surgical algorithm for the treatment of Peyronie's disease.佩罗尼氏病的外科治疗算法
J Urol. 1997 Dec;158(6):2149-52. doi: 10.1016/s0022-5347(01)68184-9.
6
Human penile ossification.
Urology. 1982 Oct;20(4):428-9. doi: 10.1016/0090-4295(82)90472-1.
7
Human os penis.
Urology. 1990 Apr;35(4):349-50. doi: 10.1016/0090-4295(90)80163-h.