Suppr超能文献

病例报告:阴茎原发性尤因肉瘤伴多发转移

Case Report: Primary Ewing Sarcoma of the Penis With Multiple Metastases.

作者信息

Zheng Chuanxi, Zhou Yong, Luo Yi, Zhang Hongying, Tu Chongqi, Min Li

机构信息

Department of Orthopedics, West China Hospital, Sichuan University, Chengdu, China.

Department of Pathology, West China Hospital, Sichuan University, Chengdu, China.

出版信息

Front Pediatr. 2021 Jan 7;8:591257. doi: 10.3389/fped.2020.591257. eCollection 2020.

Abstract

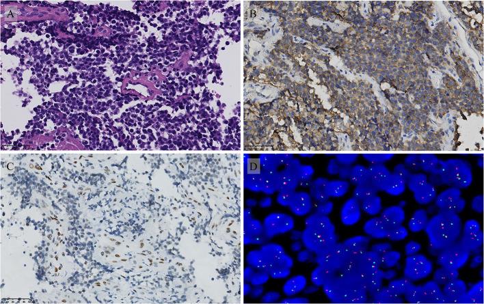
Ewing sarcoma is the second most common malignant bone tumor in children, but it rarely originates from extra-skeletal sites. The commonly involved sites of soft tissue include paravertebral spaces, lower extremities, the pelvis, head, and neck, while primary extra-skeletal Ewing sarcoma (EES) located in the genitals is extremely rare. We report a young patient who presented to our hospital with a painful erection of the penis and limited motion of the left hip. Magnetic resonance imaging showed a hyperintense mass with invasion of adjacent tissue in the penis and a heterogeneously high signal lesion in the left proximal femur. F-fluorodeoxyglucose positron-emission tomography detected widespread metastatic lesions in the bilateral lung and multiple skeletons. An incisional biopsy of the penis was performed; the histopathological findings and EWS gene translocation identified by molecular analysis confirmed the diagnosis of Ewing sarcoma. Subsequently, the punch-biopsy specimen from the left femur showed undifferentiated small round cells, a finding consistent with the microscopic presence of Ewing sarcoma metastasis. However, after the first course of multiagent chemotherapy, the penile mass did not obtain stabilization but instead grew progressively with surface ulceration and multidrug resistant bacteria infection. Despite receiving antibiotics and maximal supportive therapy, the patient died from sepsis and lung metastasis complications in the intensive care unit 2 months later. This case indicates that although EES as a subtype of Ewing sarcoma is rare, it can occur virtually in any soft tissue site, even in the genitals. Therefore, clinicians need to distinguish this entity from other soft tissue sarcomas with rapid progression since early diagnosis and timely treatment of EES are pivotal for a favorable prognosis.

摘要

尤因肉瘤是儿童中第二常见的恶性骨肿瘤,但它很少起源于骨骼外部位。软组织中常见受累部位包括椎旁间隙、下肢、骨盆、头颈部,而原发于生殖器的骨骼外尤因肉瘤(EES)极为罕见。我们报告一名年轻患者,因阴茎疼痛勃起和左髋关节活动受限前来我院就诊。磁共振成像显示阴茎内有一高强度肿块并侵犯相邻组织,左股骨近端有一信号不均匀增高的病变。F-氟脱氧葡萄糖正电子发射断层扫描检测到双侧肺和多个骨骼有广泛转移灶。对阴茎进行了切开活检;组织病理学检查结果以及分子分析鉴定的EWS基因易位证实了尤因肉瘤的诊断。随后,左股骨穿刺活检标本显示未分化的小圆形细胞,这一发现与尤因肉瘤转移的显微镜下表现一致。然而,在第一个疗程的多药化疗后,阴茎肿块并未稳定,反而逐渐增大,出现表面溃疡和多重耐药菌感染。尽管接受了抗生素治疗和最大程度的支持治疗,患者在2个月后仍在重症监护病房因败血症和肺转移并发症死亡。该病例表明,尽管EES作为尤因肉瘤的一种亚型很罕见,但它实际上可发生于任何软组织部位,甚至生殖器。因此,临床医生需要将该实体与其他进展迅速的软组织肉瘤区分开来,因为EES的早期诊断和及时治疗对良好预后至关重要。

https://cdn.ncbi.nlm.nih.gov/pmc/blobs/d30e/7817810/23b1e310e5db/fped-08-591257-g0001.jpg

文献检索

告别复杂PubMed语法,用中文像聊天一样搜索,搜遍4000万医学文献。AI智能推荐,让科研检索更轻松。

立即免费搜索

文件翻译

保留排版,准确专业,支持PDF/Word/PPT等文件格式,支持 12+语言互译。

免费翻译文档

深度研究

AI帮你快速写综述,25分钟生成高质量综述,智能提取关键信息,辅助科研写作。

立即免费体验