Suppr超能文献

2-氨基嘌呤类似物,一类新型的微管靶向剂,对不同癌细胞系具有活性。

2-APCAs, the Novel Microtubule Targeting Agents Active Against Distinct Cancer Cell Lines.

作者信息

Boichuk Sergei, Galembikova Aigul, Bikinieva Firuza, Dunaev Pavel, Aukhadieva Aida, Syuzov Kirill, Zykova Svetlana, Igidov Nazim, Ksenofontov Alexander, Bocharov Pavel

机构信息

Department of Pathology, Kazan State Medical University, 420012 Kazan, Russia.

Сentral Research Laboratory, Kazan State Medical University, 420012 Kazan, Russia.

出版信息

Molecules. 2021 Jan 25;26(3):616. doi: 10.3390/molecules26030616.

Abstract

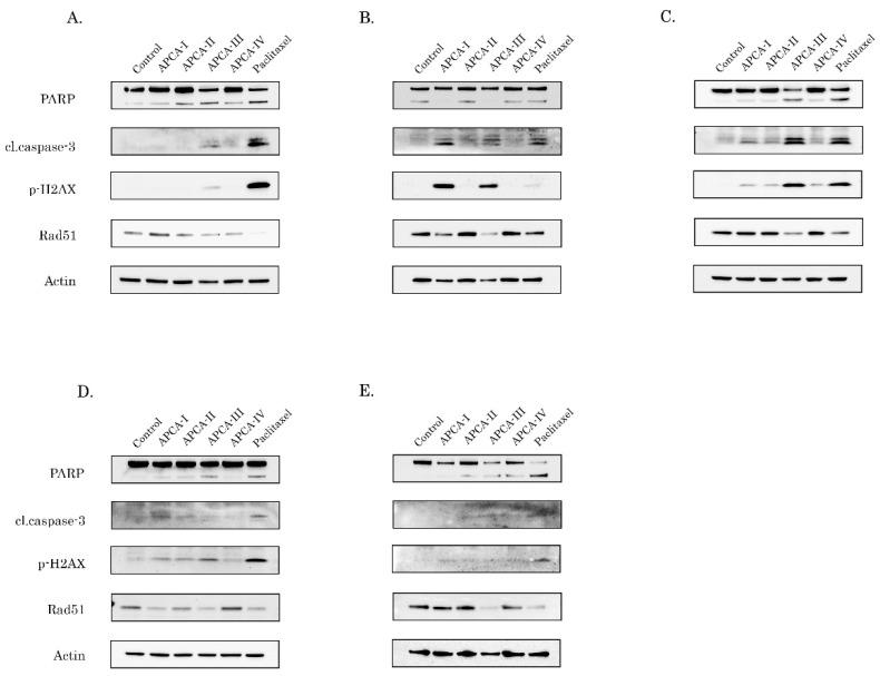
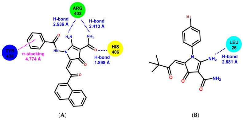
Microtubules are known as the most attractive molecular targets for anti-cancer drugs. However, the number of serious limitations of the microtubule targeting agents (MTAs) including poor bioavailability, adverse effects (e.g., systemic and neural toxicity), and acquired resistance after initiation of MTA-based therapy remain the driving forces to develop the novel therapeutic agents effectively targeting microtubules and exhibiting potent anti-tumor activities. Here, we report the discovery of 2-amino-pyrrole-carboxamides (2-APCAs), a novel class of MTA, which effectively inhibited the growth of the broad spectrum of cancer cell lines in vitro, including various types of breast, prostate, and non-small lung cancer (NSLC), soft tissue sarcomas (STS) (e.g., leio-, rhabdomyo-, and fibrosarcomas), osteosarcomas and gastrointestinal stromal tumors (GISTs). Importantly, 2-APCAs were also effective in cancer cell lines exhibiting resistance to certain chemotherapeutic agents, including MTAs and topoisomerase II inhibitors. The anti-proliferative effect of 2-APCAs was due to their ability to interfere with the polymerization of tubulin and thereby leading to the accumulation of tumor cells in the M-phase. As an outcome of the mitotic arrest, cancer cells underwent apoptotic cell death which was evidenced by increased expression of cleaved forms of the poly-ADP-ribose polymerase (PARP) and caspase-3 and the increased numbers of Annexin V-positive cells, as well. Among the compounds exhibiting the potent anti-cancer activities against the various cancer cell lines indicated above, 2-APCA-III was found the most active. Importantly, its cytotoxic activities correlated with its highest potency to interfere with the dynamics of tubulin polymerization and inducement of cell cycle arrest in the G2/M phase. Interestingly, the cytotoxic and tubulin polymerization activities of 2-APCAs correlated with the stability of the «tubulin-2-АРСА» complexes, illustrating the "tubulin-2-APCA-III" complex as the most stable. Molecular docking showed that the binding site for 2-АРСА-III is located in α tubulin by forming a hydrogen bond with Leu23. Of note, single-cell electrophoresis (Comet assay) data illustrated the low genotoxic activities of 2-APCAs when compared to certain anti-cancer chemotherapeutic agents. Taken together, our study describes the novel MTAs with potent anti-proliferative and pro-apoptotic activities, thereby illustrating them as a scaffold for the development of successful chemotherapeutic anti-cancer agent targeting microtubules.

摘要

微管被认为是抗癌药物最具吸引力的分子靶点。然而,微管靶向剂(MTAs)存在诸多严重局限性,包括生物利用度低、副作用(如全身毒性和神经毒性)以及基于MTA的治疗开始后出现的获得性耐药性,这些仍是开发有效靶向微管并具有强大抗肿瘤活性的新型治疗剂的驱动力。在此,我们报告了一类新型MTA——2-氨基-吡咯-羧酰胺(2-APCAs)的发现,其在体外能有效抑制多种癌细胞系的生长,包括各种类型的乳腺癌、前列腺癌和非小细胞肺癌(NSLC)、软组织肉瘤(STS)(如平滑肌肉瘤、横纹肌肉瘤和纤维肉瘤)、骨肉瘤和胃肠道间质瘤(GISTs)。重要的是,2-APCAs对某些化疗药物耐药的癌细胞系也有效,这些化疗药物包括MTAs和拓扑异构酶II抑制剂。2-APCAs的抗增殖作用归因于它们干扰微管蛋白聚合的能力,从而导致肿瘤细胞在M期积累。作为有丝分裂停滞的结果,癌细胞发生凋亡性细胞死亡,这通过多聚ADP-核糖聚合酶(PARP)和半胱天冬酶-3裂解形式的表达增加以及膜联蛋白V阳性细胞数量增加得以证明。在对上述各种癌细胞系具有强大抗癌活性的化合物中,发现2-APCA-III活性最强。重要的是,其细胞毒性活性与其干扰微管蛋白聚合动力学和诱导细胞周期停滞在G2/M期的最高效力相关。有趣的是,2-APCAs的细胞毒性和微管蛋白聚合活性与“微管蛋白-2-APCA”复合物的稳定性相关,表明“微管蛋白-2-APCA-III”复合物最稳定。分子对接显示,2-APCA-III的结合位点位于α微管蛋白上,通过与Leu23形成氢键。值得注意的是,单细胞电泳(彗星试验)数据表明,与某些抗癌化疗药物相比,2-APCAs的遗传毒性活性较低。综上所述,我们的研究描述了具有强大抗增殖和促凋亡活性的新型MTAs,从而将它们作为开发成功的靶向微管的化疗抗癌药物的支架。

https://cdn.ncbi.nlm.nih.gov/pmc/blobs/3e7b/7865999/0b8dbac7f29b/molecules-26-00616-g001.jpg

文献AI研究员

20分钟写一篇综述,助力文献阅读效率提升50倍。

立即体验

用中文搜PubMed

大模型驱动的PubMed中文搜索引擎

马上搜索

文档翻译

学术文献翻译模型,支持多种主流文档格式。

立即体验