Suppr超能文献

[支气管内肿瘤诊断中的混淆]

[Confusion in the diagnosis of endobronchial tumor].

作者信息

Snène Houda, Zayen Khalil, Salah Nozha Ben, Blibech Hana, Zribi Hazem, Marzouk Ines, Mlika Mouna, Farhat Leila Ben, Mehiri Nadia, Louzir Béchir

机构信息

Université de Tunis El Manar, Faculté de Médecine de Tunis, Centre Hospitalier Universitaire Mongi Slim La Marsa, Service de Pneumologie Allergologie, Tunis, Tunisie.

Université de Tunis El Manar, Faculté de Médecine de Tunis, Centre Hospitalier Universitaire Abderrahmen Mami, Service de Chirurgie Thoracique, Ariana, Tunisie.

出版信息

Pan Afr Med J. 2020 Oct 29;37:201. doi: 10.11604/pamj.2020.37.201.22896. eCollection 2020.

Abstract

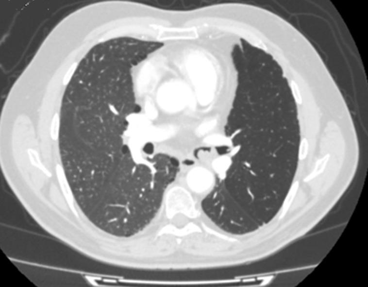
Bronchopulmonary cancer is the leading cause of death in men and the second in women. Some endoscopic or radiological features may guide histological diagnosis and thus facilitate therapeutic management. We here report the case of a 54-year old man, with a history of smoking and recent coronary stent implantation, presenting with haemoptysis and worsening of dyspnea which had evolved over the last month. Chest x-ray showed left pulmonary hemifield lucency with signs of retraction. Bronchial fibroscopy objectified raspberry bud formation spontaneously bleeding, originating from the left main bronchus and suggesting carcinoid tumor. Chest computed tomography (CT) scan showed poorly enhanced endoluminal tissue process at the level of the left main bronchus, located four cm from the carina and complicated with atelectasis. Diagnostic and therapeutic surgery helped to adjust to a diagnosis of endobronchial amartocondroma.

摘要

支气管肺癌是男性死亡的主要原因,在女性中排第二位。一些内镜或放射学特征可能有助于组织学诊断,从而便于治疗管理。我们在此报告一例54岁男性病例,有吸烟史且近期植入冠状动脉支架,出现咯血和呼吸困难加重,症状在过去一个月内逐渐发展。胸部X线显示左肺野透亮,有回缩迹象。支气管纤维镜检查发现有源自左主支气管的呈覆盆子芽状形成且自发出血的病变,提示类癌肿瘤。胸部计算机断层扫描(CT)显示左主支气管水平腔内组织强化不佳,距隆突4厘米,并发肺不张。诊断性和治疗性手术有助于确诊为支气管内错构瘤。

https://cdn.ncbi.nlm.nih.gov/pmc/blobs/943b/7813657/0621ebbc1a58/PAMJ-37-201-g001.jpg

文献AI研究员

20分钟写一篇综述,助力文献阅读效率提升50倍。

立即体验

用中文搜PubMed

大模型驱动的PubMed中文搜索引擎

马上搜索

文档翻译

学术文献翻译模型,支持多种主流文档格式。

立即体验