Suppr超能文献

A rare cause of bronchial obstruction: Endobronchial hamartoma case report.

作者信息

Bouanani Zineb, Raïs Asmae, Benbrahim Fatima Zahra, Akammar Amal, Bouardi Nizar El, Haloua Meryem, Lamrani Youssef My Alaoui, Boubbou Meryem, Serraj Mounia, Amara Bouchra, Lakranbi Marouane, Ouadnouni Yassine, Smahi Mohammed, Maaroufi Mustapha, Alami Badreddine

机构信息

Department of Radiology, University of Sidi Mohammed Benabdallah, Radiology departement, CHU Hassan II, Fès, Morocco.

Department of Pneumology, University of Sidi Mohammed Benabdallah, Radiology departement, CHU Hassan II, Fès, Morocco.

出版信息

Radiol Case Rep. 2024 Jun 1;19(8):3473-3477. doi: 10.1016/j.radcr.2024.04.059. eCollection 2024 Aug.

Abstract

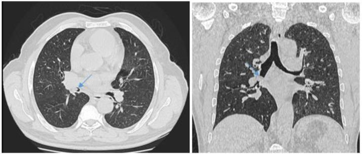
Most of the pulmonary endobronchial lesions are malignant in origin. In rare instances, benign lesions such as endobronchial hamartoma may be the cause of the endobronchial tree obstruction. We present the case of a 57-year-old male patient from North Africa who presents with a history of a 5-month cough. Imaging, particulary CT scan, showed a mass on the right intermediate bronchus whose radiological characteristics are consistent with hamartoma. A biopsy of the mass obtained via bronchoscopy revealed chronic inflammation with no evidence for malignancy. The patient was treated surgically, and anatomopathology confirmed the diagnosis of hamartoma.

摘要
https://cdn.ncbi.nlm.nih.gov/pmc/blobs/03e2/11169075/bc113e38ef85/gr1.jpg

相似文献

1
A rare cause of bronchial obstruction: Endobronchial hamartoma case report.
Radiol Case Rep. 2024 Jun 1;19(8):3473-3477. doi: 10.1016/j.radcr.2024.04.059. eCollection 2024 Aug.
2
Severe Central Airway Obstruction Secondary to a Giant Endobronchial Hamartoma: A Case Report.
J Investig Med High Impact Case Rep. 2023 Jan-Dec;11:23247096231158951. doi: 10.1177/23247096231158951.
4
Multiple endobronchial hamartoma.
Clin Respir J. 2017 Mar;11(2):263-266. doi: 10.1111/crj.12322. Epub 2015 Jul 14.
5
Endobronchial Hamartoma Subtotally Occluding the Right Main Bronchus and Mimicking Bronchial Carcinoid Tumor.
Medicine (Baltimore). 2016 Apr;95(15):e3369. doi: 10.1097/MD.0000000000003369.
6
Endobronchial hamartoma mimicking malignant lung tumor contralateral endobronchial metastasis: A case report.
Medicine (Baltimore). 2017 Dec;96(49):e9085. doi: 10.1097/MD.0000000000009085.
7
Conversion to thoracotomy during VATS segmentectomy for treatment of symptomatic endobronchial hamartoma.
Int J Surg Case Rep. 2018;51:272-274. doi: 10.1016/j.ijscr.2018.09.006. Epub 2018 Sep 12.
9
Endobronchial Hamartoma Presenting as Recurrent Pneumonia and Chronic Cough.
Cureus. 2021 Mar 5;13(3):e13717. doi: 10.7759/cureus.13717.
10
[Endobronchial hamartoma: a case report].
Acta Otorrinolaringol Esp. 1993 Jul-Aug;44(4):318-20.

本文引用的文献

1
[Confusion in the diagnosis of endobronchial tumor].
Pan Afr Med J. 2020 Oct 29;37:201. doi: 10.11604/pamj.2020.37.201.22896. eCollection 2020.
3
Endobronchial hamartoma mimicking malignant lung tumor contralateral endobronchial metastasis: A case report.
Medicine (Baltimore). 2017 Dec;96(49):e9085. doi: 10.1097/MD.0000000000009085.
4
Endobronchial hamartoma; a rare structural cause of chronic cough.
Respir Med Case Rep. 2017 Aug 24;22:224-227. doi: 10.1016/j.rmcr.2017.08.019. eCollection 2017.
5
Tracheobronchial tumors.
J Thorac Dis. 2016 Nov;8(11):3401-3413. doi: 10.21037/jtd.2016.11.24.
6
Endobronchial hamartoma: a rare disease with more common presentation.
BMJ Case Rep. 2016 Nov 7;2016:bcr2016216771. doi: 10.1136/bcr-2016-216771.
7
Endobronchial lipoma mimicking bronchial carcinoid tumour.
Thorax. 2015 Aug;70(8):809. doi: 10.1136/thoraxjnl-2015-206923. Epub 2015 Mar 31.
8
An unexpected cause of hemoptysis: endobronchial lipomatous hamartoma.
Med Arch. 2014;68(1):65-6. doi: 10.5455/medarh.2014.68.65-66.
10
Endobronchial lipomatous hamartoma: an incidental finding in a patient with atrial fibrillation-a case report.
Case Rep Med. 2012;2012:897581. doi: 10.1155/2012/897581. Epub 2012 Feb 2.

文献AI研究员

20分钟写一篇综述,助力文献阅读效率提升50倍。

立即体验

用中文搜PubMed

大模型驱动的PubMed中文搜索引擎

马上搜索

文档翻译

学术文献翻译模型,支持多种主流文档格式。

立即体验