• 文献检索
  • 文档翻译
  • 深度研究
  • 学术资讯
  • Suppr Zotero 插件Zotero 插件
  • 邀请有礼
  • 套餐&价格
  • 历史记录
应用&插件
Suppr Zotero 插件Zotero 插件浏览器插件Mac 客户端Windows 客户端微信小程序
定价
高级版会员购买积分包购买API积分包
服务
文献检索文档翻译深度研究API 文档MCP 服务
关于我们
关于 Suppr公司介绍联系我们用户协议隐私条款
关注我们

Suppr 超能文献

核心技术专利:CN118964589B侵权必究
粤ICP备2023148730 号-1Suppr @ 2026

文献检索

告别复杂PubMed语法,用中文像聊天一样搜索,搜遍4000万医学文献。AI智能推荐,让科研检索更轻松。

立即免费搜索

文件翻译

保留排版,准确专业,支持PDF/Word/PPT等文件格式,支持 12+语言互译。

免费翻译文档

深度研究

AI帮你快速写综述,25分钟生成高质量综述,智能提取关键信息,辅助科研写作。

立即免费体验

特发性和获得性恋童癖作为两种不同的障碍:神经影像学的见解。

Idiopathic and acquired pedophilia as two distinct disorders: an insight from neuroimaging.

机构信息

Department of General Psychology, University of Padova, Via Venezia 8, 25131, Padova, PD, Italy.

Department of Psychosis Studies, Institute of Psychiatry, Psychology and Neuroscience, King's College London, London, UK.

出版信息

Brain Imaging Behav. 2021 Oct;15(5):2681-2692. doi: 10.1007/s11682-020-00442-z. Epub 2021 Jan 28.

DOI:10.1007/s11682-020-00442-z
PMID:33507519
原文链接:https://pmc.ncbi.nlm.nih.gov/articles/PMC8500885/
Abstract

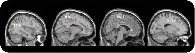
Pedophilia is a disorder of public concern because of its association with child sexual offense and recidivism. Previous neuroimaging studies of potential brain abnormalities underlying pedophilic behavior, either in idiopathic or acquired (i.e., emerging following brain damages) pedophilia, led to inconsistent results. This study sought to explore the neural underpinnings of pedophilic behavior and to determine the extent to which brain alterations may be related to distinct psychopathological features in pedophilia. To this aim, we run a coordinate based meta-analysis on previously published papers reporting whole brain analysis and a lesion network analysis, using brain lesions as seeds in a resting state connectivity analysis. The behavioral profiling approach was applied to link identified regions with the corresponding psychological processes. While no consistent neuroanatomical alterations were identified in idiopathic pedophilia, the current results support that all the lesions causing acquired pedophilia are localized within a shared resting state network that included posterior midlines structures, right inferior temporal gyrus and bilateral orbitofrontal cortex. These regions are associated with action inhibition and social cognition, abilities that are consistently and severely impaired in acquired pedophiles. This study suggests that idiopathic and acquired pedophilia may be two distinct disorders, in line with their distinctive clinical features, including age of onset, reversibility and modus operandi. Understanding the neurobiological underpinnings of pedophilic behavior may contribute to a more comprehensive characterization of these individuals on a clinical ground, a pivotal step forward for the development of more efficient therapeutic rehabilitation strategies.

摘要

恋童癖是一个公众关注的问题,因为它与儿童性犯罪和累犯有关。以前对潜在的恋童癖行为的神经影像学研究,无论是特发性的还是获得性的(即脑损伤后出现的),都得出了不一致的结果。这项研究旨在探索恋童癖行为的神经基础,并确定大脑改变与恋童癖的不同心理病理特征之间的关系程度。为此,我们对以前发表的报告全脑分析和病变网络分析的论文进行了基于坐标的荟萃分析,使用病变作为静息状态连接分析的种子。行为分析方法被用来将确定的区域与相应的心理过程联系起来。虽然在特发性恋童癖中没有发现一致的神经解剖学改变,但目前的结果支持所有导致获得性恋童癖的病变都位于一个共享的静息状态网络内,该网络包括后中线结构、右侧下颞叶和双侧眶额皮层。这些区域与动作抑制和社会认知有关,而获得性恋童癖者的这些能力一直受到严重损害。这项研究表明,特发性和获得性恋童癖可能是两种不同的障碍,与它们独特的临床特征一致,包括发病年龄、可逆性和作用方式。了解恋童癖行为的神经生物学基础可能有助于更全面地描述这些个体的临床特征,这是开发更有效的治疗康复策略的关键一步。

https://cdn.ncbi.nlm.nih.gov/pmc/blobs/54fe/8500885/abdfbd192702/11682_2020_442_Fig2_HTML.jpg
https://cdn.ncbi.nlm.nih.gov/pmc/blobs/54fe/8500885/b030b3420c96/11682_2020_442_Fig1_HTML.jpg
https://cdn.ncbi.nlm.nih.gov/pmc/blobs/54fe/8500885/abdfbd192702/11682_2020_442_Fig2_HTML.jpg
https://cdn.ncbi.nlm.nih.gov/pmc/blobs/54fe/8500885/b030b3420c96/11682_2020_442_Fig1_HTML.jpg
https://cdn.ncbi.nlm.nih.gov/pmc/blobs/54fe/8500885/abdfbd192702/11682_2020_442_Fig2_HTML.jpg

相似文献

1
Idiopathic and acquired pedophilia as two distinct disorders: an insight from neuroimaging.特发性和获得性恋童癖作为两种不同的障碍:神经影像学的见解。
Brain Imaging Behav. 2021 Oct;15(5):2681-2692. doi: 10.1007/s11682-020-00442-z. Epub 2021 Jan 28.
2
Independent Component Analysis of Resting-State Functional Magnetic Resonance Imaging in Pedophiles.恋童癖者静息态功能磁共振成像的独立成分分析
J Sex Med. 2016 Oct;13(10):1546-54. doi: 10.1016/j.jsxm.2016.08.004.
3
Gray matter anomalies in pedophiles with and without a history of child sexual offending.有和没有儿童性犯罪史的恋童癖者的灰质异常。
Transl Psychiatry. 2017 May 16;7(5):e1129. doi: 10.1038/tp.2017.96.
4
Profiling acquired pedophilic behavior: Retrospective analysis of 66 Italian forensic cases of pedophilia.对获得性恋童癖行为的剖析:66 例意大利恋童癖法医案例的回顾性分析。
Int J Law Psychiatry. 2019 Nov-Dec;67:101508. doi: 10.1016/j.ijlp.2019.101508. Epub 2019 Oct 24.
5
Association between brain structure and phenotypic characteristics in pedophilia.恋童癖者的大脑结构与表型特征之间的关联。
J Psychiatr Res. 2013 May;47(5):678-85. doi: 10.1016/j.jpsychires.2013.01.003. Epub 2013 Feb 9.
6
Hypothalamic volume in pedophilia with or without child sexual offense.恋童癖患者下丘脑体积的研究,无论是否存在儿童性侵犯行为。
Eur Arch Psychiatry Clin Neurosci. 2023 Sep;273(6):1295-1306. doi: 10.1007/s00406-022-01501-w. Epub 2022 Nov 12.
7
Brain responses to pictures of children in men with pedophilic disorder: a functional magnetic resonance imaging study.男性恋童癖患者观看儿童图片时的大脑反应:一项功能磁共振成像研究。
Eur Arch Psychiatry Clin Neurosci. 2019 Sep;269(6):713-729. doi: 10.1007/s00406-018-0933-z. Epub 2018 Aug 9.
8
Multimodal neuroimaging measures and intelligence influence pedophile child sexual offense behavior.多模态神经影像学测量与智力影响恋童癖儿童性犯罪行为。
Eur Neuropsychopharmacol. 2018 Jul;28(7):818-827. doi: 10.1016/j.euroneuro.2018.05.002. Epub 2018 Jun 5.
9
Diminished functional connectivity on the road to child sexual abuse in pedophilia.恋童癖中儿童性虐待发展过程中的功能连接性减弱。
J Sex Med. 2015 Mar;12(3):783-95. doi: 10.1111/jsm.12819. Epub 2015 Jan 23.
10
Connectivity and functional profiling of abnormal brain structures in pedophilia.恋童癖患者异常脑结构的连通性和功能剖析
Hum Brain Mapp. 2015 Jun;36(6):2374-86. doi: 10.1002/hbm.22777. Epub 2015 Mar 2.

引用本文的文献

1
Cognitive profiles of paedophilic behaviour: a meta-analytic and systematic review of developmental vs acquired forms.恋童癖行为的认知特征:发育型与后天型的荟萃分析及系统评价
Front Psychiatry. 2025 Jun 9;16:1568244. doi: 10.3389/fpsyt.2025.1568244. eCollection 2025.
2
Glioblastoma and new-onset criminal behaviors in a geriatric patient: a forensic-psychiatric case report from Switzerland.老年患者的胶质母细胞瘤与新发犯罪行为:来自瑞士的一份法医精神病学病例报告
Front Psychiatry. 2025 Feb 26;16:1553508. doi: 10.3389/fpsyt.2025.1553508. eCollection 2025.
3
The Neuroanatomical Bases of Pedophilia and the Importance of Distinguishing Genuine vs. Acquired Types: A Systematic Review.

本文引用的文献

1
Profiling acquired pedophilic behavior: Retrospective analysis of 66 Italian forensic cases of pedophilia.对获得性恋童癖行为的剖析:66 例意大利恋童癖法医案例的回顾性分析。
Int J Law Psychiatry. 2019 Nov-Dec;67:101508. doi: 10.1016/j.ijlp.2019.101508. Epub 2019 Oct 24.
2
Multimodal Parcellations and Extensive Behavioral Profiling Tackling the Hippocampus Gradient.多模态分区和广泛的行为分析解决海马梯度问题。
Cereb Cortex. 2019 Dec 17;29(11):4595-4612. doi: 10.1093/cercor/bhy336.
3
Brain processing of pictures of children in men with pedophilic disorder: A positron emission tomography study.
恋童癖的神经解剖学基础以及区分真性与后天性类型的重要性:一项系统综述。
Sex Offending. 2023 May 5;18:e6989. doi: 10.5964/sotrap.6989. eCollection 2023.
4
Neuroanatomical and Neurocognitive Differences Between the Executive Functions in Child Sexual Offenders: A Systematic Review.儿童性犯罪者执行功能的神经解剖学和神经认知差异:一项系统综述。
Brain Sci. 2025 Jan 2;15(1):38. doi: 10.3390/brainsci15010038.
5
Patterns of risk-Using machine learning and structural neuroimaging to identify pedophilic offenders.风险模式——利用机器学习和结构性神经成像识别恋童癖罪犯。
Front Psychiatry. 2023 Apr 20;14:1001085. doi: 10.3389/fpsyt.2023.1001085. eCollection 2023.
6
Acquired Pedophilia: international Delphi-method-based consensus guidelines.后天性恋童癖:国际德尔菲法为基础的共识指南。
Transl Psychiatry. 2023 Jan 18;13(1):11. doi: 10.1038/s41398-023-02314-8.
7
Translational Application of a Neuro-Scientific Multi-Modal Approach Into Forensic Psychiatric Evaluation: Why and How?神经科学多模态方法在法医精神病学评估中的转化应用:为何及如何应用?
Front Psychiatry. 2021 Feb 5;12:597918. doi: 10.3389/fpsyt.2021.597918. eCollection 2021.
男性恋童癖者对儿童图片的大脑处理:一项正电子发射断层扫描研究。
Neuroimage Clin. 2019;21:101647. doi: 10.1016/j.nicl.2018.101647. Epub 2018 Dec 24.
4
Early diagnosis of progressive multifocal leucoencephalopathy: longitudinal lesion evolution.进行性多灶性白质脑病的早期诊断:病变的纵向演变。
J Neurol Neurosurg Psychiatry. 2019 Mar;90(3):261-267. doi: 10.1136/jnnp-2018-319208. Epub 2018 Nov 2.
5
Lesion network localization of free will.自由意志的损伤网络定位。
Proc Natl Acad Sci U S A. 2018 Oct 16;115(42):10792-10797. doi: 10.1073/pnas.1814117115. Epub 2018 Oct 1.
6
Mental Insanity Assessment of Pedophilia: The Importance of the Trans-Disciplinary Approach. Reflections on Two Cases.恋童癖的精神错乱评估:跨学科方法的重要性。对两个案例的思考。
Front Neurosci. 2018 May 16;12:335. doi: 10.3389/fnins.2018.00335. eCollection 2018.
7
How to Characterize the Function of a Brain Region.如何描述脑区的功能。
Trends Cogn Sci. 2018 Apr;22(4):350-364. doi: 10.1016/j.tics.2018.01.010. Epub 2018 Feb 28.
8
Decoding Pedophilia: Increased Anterior Insula Response to Infant Animal Pictures.解码恋童癖:前脑岛对婴儿动物图片的反应增强
Front Hum Neurosci. 2018 Jan 23;11:645. doi: 10.3389/fnhum.2017.00645. eCollection 2017.
9
Lesion network localization of criminal behavior.犯罪行为的损伤网络定位。
Proc Natl Acad Sci U S A. 2018 Jan 16;115(3):601-606. doi: 10.1073/pnas.1706587115. Epub 2017 Dec 18.
10
Communication dynamics in complex brain networks.复杂脑网络中的通信动态。
Nat Rev Neurosci. 2017 Dec 14;19(1):17-33. doi: 10.1038/nrn.2017.149.