Suppr超能文献

槲皮素增敏顺铂对 Wistar 大鼠 N-亚硝基-N-甲基脲诱导的睾丸癌的疗效。

Efficacy of Quercetin-Sensitized Cisplatin against N-Nitroso-NMethylurea Induced Testicular Carcinogenesis in Wistar Rats.

机构信息

Department of Zoology, Faculty of Science, Mansoura University, Mansoura, Egypt.

Department of Medical Oncology, Faculty of Medicine, Mansoura University, Mansoura, Egypt.

出版信息

Asian Pac J Cancer Prev. 2021 Jan 1;22(1):75-84. doi: 10.31557/APJCP.2021.22.1.75.

Abstract

BACKGROUND

Testicular cancer is a public health problem. The goal of this study was to demonstrate the efficacy of quercetin treatment on N-nitroso-N-methyl-urea (MNU)-induced testicular carcinogenesis alone or in combination with cisplatin-treatment.

METHODS

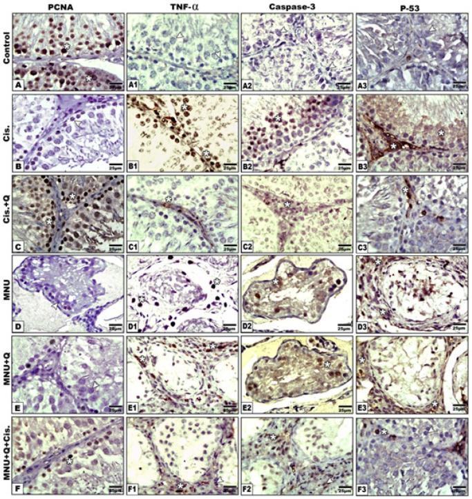
In total 70 adult male albino rats were categorized into six groups, control, quercetin-treatment (10 mg/kg body weight), cisplatin-treatment (2 mg/kg. body weight), cisplatin and quercetin-treatment, MNU-treatment, MNU plus quercetin-treatment and MNU plus quercetin and cisplatin-treatment. Treatment with quercetin and/or cisplatin was performed after 2 months of MNU induced testicular carcinogenesis. The studied groups were euthanized and sacrificed and their testes were examined for gene expression, biochemical, histological and immunohistochemically analysis, inflammation and apoptosis of germ cells.

RESULTS

The fertility of the rats subjected to MNU carcinogenesis was impaired following cisplatin and/or quercetin-treatment. Cisplatin-treatment reduced the fertility rate and improved after quercetin-treatment. Quercetin-treatment decreased the sharp increase in RNA expression of BAX and MPO in both cisplatin-toxicated testes and after MNU carcinogenesis induction. In addition, the testicular levels of testosterone and SOD increased in parallel with depletion of MDA, IL-6, AFP and caspase-3 levels in MNU and/or cisplatin-treatment after -quercetin-treatment. The testicular structure of the cisplatin-treated group recovered their dividing germ and sperm differentiation after-quercetin-treatment. While, there was a great appearance of flourishing germ cell of MNU carcinogenesis post quercetin therapy, there was still a lack of sperm differentiation.  Conclusion: Quercetin-treatment showed increased cisplatin activity and decreased testicular carcinogenesis due to anti-neoplastic and antioxidant activities.

摘要

背景

睾丸癌是一个公共健康问题。本研究的目的是证明槲皮素治疗对 N-亚硝基-N-甲基脲(MNU)诱导的睾丸癌发生的疗效,无论是单独使用还是与顺铂联合使用。

方法

总共 70 只成年雄性白化大鼠被分为六组,对照组、槲皮素治疗组(10mg/kg 体重)、顺铂治疗组(2mg/kg 体重)、顺铂和槲皮素治疗组、MNU 处理组、MNU 加槲皮素处理组和 MNU 加槲皮素和顺铂处理组。在 MNU 诱导的睾丸癌发生后 2 个月进行槲皮素和/或顺铂治疗。处死和牺牲研究组大鼠,检查其睾丸的基因表达、生化、组织学和免疫组织化学分析、生殖细胞炎症和凋亡。

结果

MNU 致癌大鼠的生育力在顺铂和/或槲皮素治疗后受损。顺铂治疗降低了生育力,槲皮素治疗后有所改善。槲皮素治疗降低了顺铂中毒睾丸和 MNU 致癌诱导后 BAX 和 MPO 的 RNA 表达急剧增加。此外,槲皮素治疗后,MNU 和/或顺铂治疗后睾丸睾酮和 SOD 水平增加,MDA、IL-6、AFP 和 caspase-3 水平耗竭。顺铂治疗组的睾丸结构在槲皮素治疗后恢复了分裂的生殖细胞和精子分化。而在槲皮素治疗后,MNU 致癌的生殖细胞大量出现,但仍缺乏精子分化。

结论

槲皮素治疗显示出增加的顺铂活性和降低的睾丸癌发生,这是由于其抗肿瘤和抗氧化活性。

https://cdn.ncbi.nlm.nih.gov/pmc/blobs/9008/8184190/d74c7d8aebe1/APJCP-22-075-g001.jpg

文献检索

告别复杂PubMed语法,用中文像聊天一样搜索,搜遍4000万医学文献。AI智能推荐,让科研检索更轻松。

立即免费搜索

文件翻译

保留排版,准确专业,支持PDF/Word/PPT等文件格式,支持 12+语言互译。

免费翻译文档

深度研究

AI帮你快速写综述,25分钟生成高质量综述,智能提取关键信息,辅助科研写作。

立即免费体验