Suppr超能文献

BBV152(一种全病毒灭活的新型冠状病毒疫苗候选物)在叙利亚仓鼠模型中的免疫原性和保护效力

Immunogenicity and protective efficacy of BBV152, whole virion inactivated SARS- CoV-2 vaccine candidates in the Syrian hamster model.

作者信息

Mohandas Sreelekshmy, Yadav Pragya D, Shete-Aich Anita, Abraham Priya, Vadrevu Krishna Mohan, Sapkal Gajanan, Mote Chandrashekhar, Nyayanit Dimpal, Gupta Nivedita, Srinivas Vellimedu Kannappa, Kadam Manoj, Kumar Abhimanyu, Majumdar Triparna, Jain Rajlaxmi, Deshpande Gururaj, Patil Savita, Sarkale Prasad, Patil Deepak, Ella Raches, Prasad Sai D, Sharma Sharda, Ella Krishna M, Panda Samiran, Bhargava Balram

机构信息

Indian Council of Medical Research-National Institute of Virology, Sus Road, Pashan, Pune, Maharashtra 411021, India.

Bharat Biotech International Limited, Genome Valley, Hyderabad, Telangana 500 078, India.

出版信息

iScience. 2021 Feb 19;24(2):102054. doi: 10.1016/j.isci.2021.102054. Epub 2021 Jan 9.

Abstract

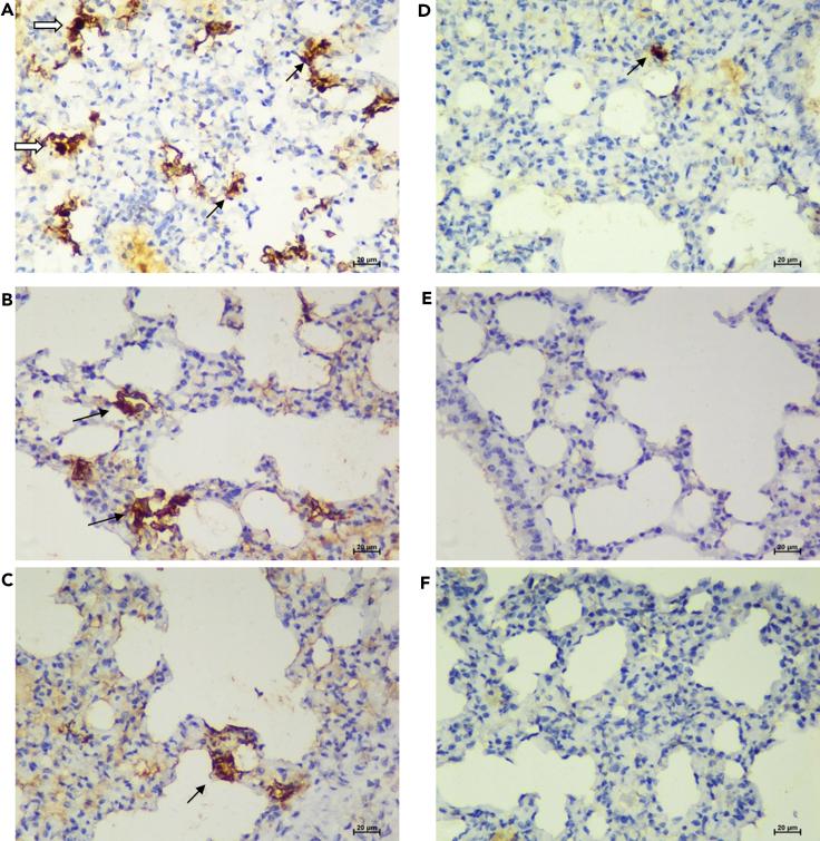
The availability of a safe and effective vaccine would be the eventual measure to deal with severe acute respiratory syndrome coronavirus-2 (SARS-CoV-2) threat. Here, we have assessed the immunogenicity and protective efficacy of inactivated SARS-CoV-2 vaccine candidates BBV152A, BBV152B, and BBV152C in Syrian hamsters. Three dose vaccination regimes with vaccine candidates induced significant titers of SARS-CoV-2-specific IgG and neutralizing antibodies. BBV152A and BBV152B vaccine candidates remarkably generated a quick and robust immune response. Post-SARS-CoV-2 infection, vaccinated hamsters did not show any histopathological changes in the lungs. The protection of the hamster was evident by the rapid clearance of the virus from lower respiratory tract, reduced virus load in upper respiratory tract, absence of lung pathology, and robust humoral immune response. These findings confirm the immunogenic potential of the vaccine candidates and further protection of hamsters challenged with SARS-CoV-2. Of the three candidates, BBV152A showed the better response.

摘要

获得一种安全有效的疫苗将是应对严重急性呼吸综合征冠状病毒2(SARS-CoV-2)威胁的最终措施。在此,我们评估了灭活SARS-CoV-2候选疫苗BBV152A、BBV152B和BBV152C在叙利亚仓鼠中的免疫原性和保护效力。用候选疫苗进行的三种剂量接种方案诱导产生了高滴度的SARS-CoV-2特异性IgG和中和抗体。候选疫苗BBV152A和BBV152B显著产生了快速且强烈的免疫反应。在感染SARS-CoV-2后,接种疫苗的仓鼠肺部未出现任何组织病理学变化。通过病毒从下呼吸道的快速清除、上呼吸道病毒载量的降低、肺部无病变以及强烈的体液免疫反应,仓鼠的保护作用显而易见。这些发现证实了候选疫苗的免疫原性潜力以及对受SARS-CoV-2攻击的仓鼠的进一步保护作用。在这三种候选疫苗中,BBV152A表现出更好的反应。

https://cdn.ncbi.nlm.nih.gov/pmc/blobs/c417/7829205/8401a81de8dd/fx1.jpg

文献检索

告别复杂PubMed语法,用中文像聊天一样搜索,搜遍4000万医学文献。AI智能推荐,让科研检索更轻松。

立即免费搜索

文件翻译

保留排版,准确专业,支持PDF/Word/PPT等文件格式,支持 12+语言互译。

免费翻译文档

深度研究

AI帮你快速写综述,25分钟生成高质量综述,智能提取关键信息,辅助科研写作。

立即免费体验