• 文献检索
  • 文档翻译
  • 深度研究
  • 学术资讯
  • Suppr Zotero 插件Zotero 插件
  • 邀请有礼
  • 套餐&价格
  • 历史记录
应用&插件
Suppr Zotero 插件Zotero 插件浏览器插件Mac 客户端Windows 客户端微信小程序
定价
高级版会员购买积分包购买API积分包
服务
文献检索文档翻译深度研究API 文档MCP 服务
关于我们
关于 Suppr公司介绍联系我们用户协议隐私条款
关注我们

Suppr 超能文献

核心技术专利:CN118964589B侵权必究
粤ICP备2023148730 号-1Suppr @ 2026

文献检索

告别复杂PubMed语法,用中文像聊天一样搜索,搜遍4000万医学文献。AI智能推荐,让科研检索更轻松。

立即免费搜索

文件翻译

保留排版,准确专业,支持PDF/Word/PPT等文件格式,支持 12+语言互译。

免费翻译文档

深度研究

AI帮你快速写综述,25分钟生成高质量综述,智能提取关键信息,辅助科研写作。

立即免费体验

复杂巨大空肠憩室病所致小肠套叠

Small Intestinal Intussusception Due to Complicated Giant Jejunal Diverticulosis.

作者信息

Grudzińska Ewa, Mrowiec Sławomir, Pilch-Kowalczyk Joanna, Ciupińska Monika, Kusnierz Katarzyna

机构信息

Department of Gastrointestinal Surgery, Medical University of Silesia, 40-752 Katowice, Poland.

Department of Radiology, Medical University of Silesia, 40-752 Katowice, Poland.

出版信息

Medicina (Kaunas). 2021 Jan 28;57(2):116. doi: 10.3390/medicina57020116.

DOI:10.3390/medicina57020116
PMID:33525341
原文链接:https://pmc.ncbi.nlm.nih.gov/articles/PMC7910828/
Abstract

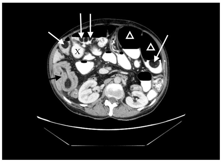
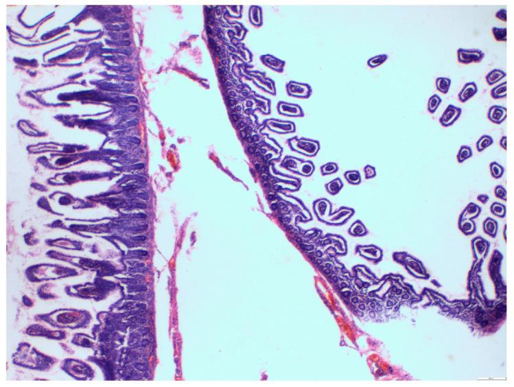
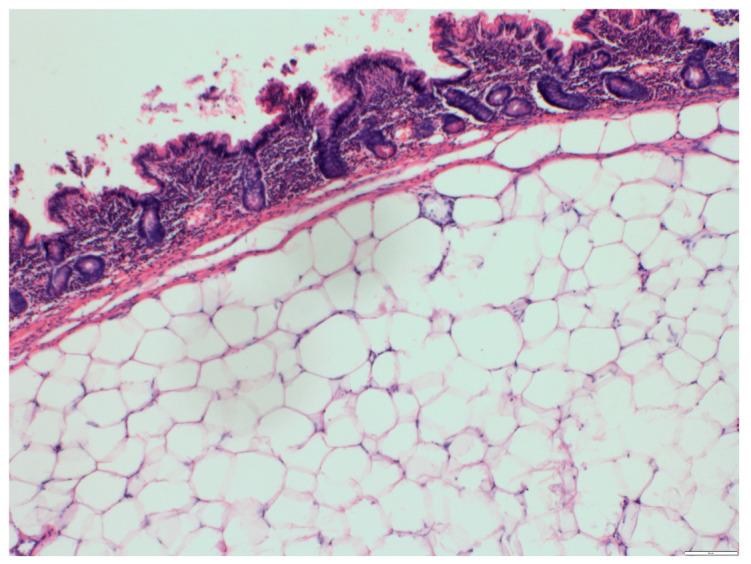
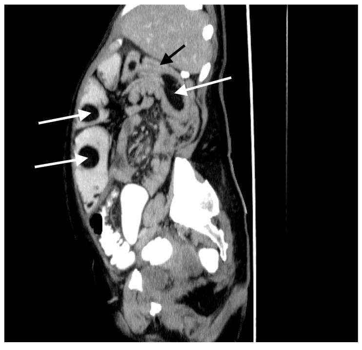
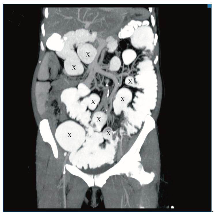
: Jejunal diverticulosis and jejunal lipomatosis are uncommon conditions. Usually asymptomatic, they may cause severe complications in some cases. Intussusception is unusual in adults, but when diagnosed swiftly it can be treated surgically, usually with good outcome. : We present a 60-year-old female patient with a history of chronic malnutrition and anemia, complaining of acute abdominal pain, vomiting and diarrhea. Contrast-enhanced abdominal computed tomography (CT) showed intussusception, multiple giant jejunal diverticula and multiple lipomas. The patient underwent urgent surgery, but radical treatment was not possible due to the extent of the diseases. One month later, another surgery was needed due to ileostomy obstruction caused by lipomas. The patient's condition deteriorated due to malnutrition and concomitant metabolic disorders, which eventually led to her demise. : Radical treatment is not always possible in an extensive jejunal disease. Prolonged malnutrition impairs postoperative healing, and therefore surgical or nutritional treatment should be considered in jejunal diverticulosis before the onset of severe complications requiring urgent surgical intervention.

摘要

空肠憩室病和空肠脂肪瘤病是罕见病症。通常无症状,但在某些情况下可能引发严重并发症。肠套叠在成年人中并不常见,但如果能迅速诊断,可通过手术治疗,通常预后良好。

我们报告一例60岁女性患者,有慢性营养不良和贫血病史,主诉急性腹痛、呕吐和腹泻。腹部增强计算机断层扫描(CT)显示肠套叠、多个巨大空肠憩室和多个脂肪瘤。患者接受了紧急手术,但由于病情严重程度无法进行根治性治疗。一个月后,因脂肪瘤导致回肠造口梗阻,需要再次手术。患者因营养不良和并发的代谢紊乱病情恶化,最终死亡。

对于广泛的空肠疾病,并不总是能够进行根治性治疗。长期营养不良会影响术后愈合,因此在空肠憩室病出现需要紧急手术干预的严重并发症之前,应考虑手术或营养治疗。

https://cdn.ncbi.nlm.nih.gov/pmc/blobs/19e4/7910828/3b7e6b4c2402/medicina-57-00116-g007.jpg
https://cdn.ncbi.nlm.nih.gov/pmc/blobs/19e4/7910828/ba7a3b5fac81/medicina-57-00116-g001.jpg
https://cdn.ncbi.nlm.nih.gov/pmc/blobs/19e4/7910828/97ecce1dab9f/medicina-57-00116-g002.jpg
https://cdn.ncbi.nlm.nih.gov/pmc/blobs/19e4/7910828/18316ef14631/medicina-57-00116-g003.jpg
https://cdn.ncbi.nlm.nih.gov/pmc/blobs/19e4/7910828/a7c2cbe9d694/medicina-57-00116-g004.jpg
https://cdn.ncbi.nlm.nih.gov/pmc/blobs/19e4/7910828/3ab505791221/medicina-57-00116-g005.jpg
https://cdn.ncbi.nlm.nih.gov/pmc/blobs/19e4/7910828/c83225b6af54/medicina-57-00116-g006.jpg
https://cdn.ncbi.nlm.nih.gov/pmc/blobs/19e4/7910828/3b7e6b4c2402/medicina-57-00116-g007.jpg
https://cdn.ncbi.nlm.nih.gov/pmc/blobs/19e4/7910828/ba7a3b5fac81/medicina-57-00116-g001.jpg
https://cdn.ncbi.nlm.nih.gov/pmc/blobs/19e4/7910828/97ecce1dab9f/medicina-57-00116-g002.jpg
https://cdn.ncbi.nlm.nih.gov/pmc/blobs/19e4/7910828/18316ef14631/medicina-57-00116-g003.jpg
https://cdn.ncbi.nlm.nih.gov/pmc/blobs/19e4/7910828/a7c2cbe9d694/medicina-57-00116-g004.jpg
https://cdn.ncbi.nlm.nih.gov/pmc/blobs/19e4/7910828/3ab505791221/medicina-57-00116-g005.jpg
https://cdn.ncbi.nlm.nih.gov/pmc/blobs/19e4/7910828/c83225b6af54/medicina-57-00116-g006.jpg
https://cdn.ncbi.nlm.nih.gov/pmc/blobs/19e4/7910828/3b7e6b4c2402/medicina-57-00116-g007.jpg

相似文献

1
Small Intestinal Intussusception Due to Complicated Giant Jejunal Diverticulosis.复杂巨大空肠憩室病所致小肠套叠
Medicina (Kaunas). 2021 Jan 28;57(2):116. doi: 10.3390/medicina57020116.
2
Multiple giant jejunal diverticulosis: A rare clinical presentation of a rarely encountered disease.多发性巨大空肠憩室病:一种罕见疾病的罕见临床表现。
Ulus Travma Acil Cerrahi Derg. 2022 Oct;28(10):1527-1530. doi: 10.14744/tjtes.2022.09079.
3
Emergency management of complicated jejunal diverticulosis.复杂空肠憩室病的急诊处理
Am Surg. 2014 Jun;80(6):600-3.
4
Intussusception of the small bowel secondary to an enterolith from a jejunal diverticulum.空肠肠套叠继发于回肠憩室的肠石。
Updates Surg. 2012 Sep;64(3):231-3. doi: 10.1007/s13304-011-0092-5. Epub 2011 Jul 22.
5
Emergency surgery for jejunal diverticulosis: our experience and review of literature.空肠憩室病的急诊手术:我们的经验及文献综述
ANZ J Surg. 2011 May;81(5):358-61. doi: 10.1111/j.1445-2197.2010.05480.x. Epub 2010 Sep 16.
6
Enterolith ileus and jejunal diverticulitis from jejunal diverticulosis: the complications of a rare gastrointestinal entity.肠石性肠梗阻和回肠憩室炎源于回肠憩室病:一种罕见胃肠道疾病的并发症。
BMJ Case Rep. 2021 Jun 18;14(6):e243252. doi: 10.1136/bcr-2021-243252.
7
Diverticular disease of the jejunum and its complications.空肠憩室病及其并发症
Am Surg. 1990 May;56(5):319-24.
8
Midgut volvulus due to jejunal diverticula: a case report.回肠憩室导致的中肠扭转:病例报告。
World J Gastroenterol. 2012 Oct 28;18(40):5826-9. doi: 10.3748/wjg.v18.i40.5826.
9
Arteriovenous malformations within jejunal diverticulosis: case report and literature review.空肠憩室病合并动静脉畸形:病例报告及文献复习
BMC Surg. 2019 Jun 27;19(1):70. doi: 10.1186/s12893-019-0538-0.
10
Complicated jejunal diverticulosis: report of a case.复杂性空肠憩室病:一例报告
Surg Today. 1996;26(3):192-5. doi: 10.1007/BF00311506.

引用本文的文献

1
Diffuse Jejunal Lipomatosis and Associated Complications.弥漫性空肠脂肪瘤病及相关并发症
ACG Case Rep J. 2023 Oct 18;10(10):e01179. doi: 10.14309/crj.0000000000001179. eCollection 2023 Oct.

本文引用的文献

1
Acute Intestinal Infarction Due to Diffuse Jejunoileal and Mesenteric Lipomatosis in a 39-Year-Old Woman.39 岁女性因弥漫性空回肠及肠系膜脂肪瘤病导致急性肠梗死。
Am J Case Rep. 2020 Apr 29;21:e922830. doi: 10.12659/AJCR.922830.
2
Small Bowel Diverticulosis: Pathogenesis, Clinical Management, and New Concepts.小肠憩室病:发病机制、临床管理及新概念
Curr Gastroenterol Rep. 2020 Jan 15;22(1):4. doi: 10.1007/s11894-019-0741-2.
3
The Novel Phosphatidylinositol-3-Kinase (PI3K) Inhibitor Alpelisib Effectively Inhibits Growth of PTEN-Haploinsufficient Lipoma Cells.
新型磷脂酰肌醇-3-激酶(PI3K)抑制剂阿培利司有效抑制PTEN单倍体不足性脂肪瘤细胞的生长。
Cancers (Basel). 2019 Oct 17;11(10):1586. doi: 10.3390/cancers11101586.
4
Intestinal Intussusception: Etiology, Diagnosis, and Treatment.肠套叠:病因、诊断与治疗
Clin Colon Rectal Surg. 2017 Feb;30(1):30-39. doi: 10.1055/s-0036-1593429.
5
Intussusception of the bowel in adults: a review.成人肠套叠:综述
World J Gastroenterol. 2009 Jan 28;15(4):407-11. doi: 10.3748/wjg.15.407.
6
Small intestinal nonmeckelian diverticulosis.小肠非梅克尔憩室病
J Clin Gastroenterol. 2009 Mar;43(3):201-7. doi: 10.1097/MCG.0b013e3181919261.
7
Jejunal diverticuli complicated by bacterial overgrowh syndrome.空肠憩室合并细菌过度生长综合征。
Dig Dis. 2000;18(3):187-8. doi: 10.1159/000051395.
8
Jejunal diverticulosis: a rare entity with multiple presentations, a series of cases.空肠憩室病:一种具有多种表现形式的罕见病症,系列病例报告
Dig Surg. 2000;17(6):643-645. doi: 10.1159/000051978.
9
Jejunal lipomatosis with diverticulosis: report of a case.空肠脂肪瘤病合并憩室病:一例报告
Surg Today. 1998;28(8):846-9. doi: 10.1007/s005950050239.
10
Small-bowel diverticulosis: perceptions and reality.小肠憩室病:认知与现实
J Am Coll Surg. 1997 Apr;184(4):383-8.