Suppr超能文献

定义临床试验的纳入标准和终点:CRB1 相关视网膜营养不良的前瞻性横断面研究。

Defining inclusion criteria and endpoints for clinical trials: a prospective cross-sectional study in CRB1-associated retinal dystrophies.

机构信息

Department of Ophthalmology, Leiden University Medical Center, Leiden, The Netherlands.

Department of Ophthalmology, Amsterdam UMC, University of Amsterdam, Amsterdam, The Netherlands.

出版信息

Acta Ophthalmol. 2021 May;99(3):e402-e414. doi: 10.1111/aos.14597. Epub 2021 Feb 2.

Abstract

PURPOSE

To investigate the retinal structure and function in patients with CRB1-associated retinal dystrophies (RD) and to explore potential clinical endpoints.

METHODS

In this prospective cross-sectional study, 22 patients with genetically confirmed CRB1-RD (aged 6-74 years), and who had a decimal best-corrected visual acuity (BCVA) ≥ 0.05 at the last visit, were studied clinically with ETDRS BCVA, corneal topography, spectral-domain optical coherence tomography (SD-OCT), fundus autofluorescence, Goldmann visual field (VF), microperimetry, full-field electroretinography (ERG) and full-field stimulus testing (FST). Ten patients were from a genetic isolate (GI).

RESULTS

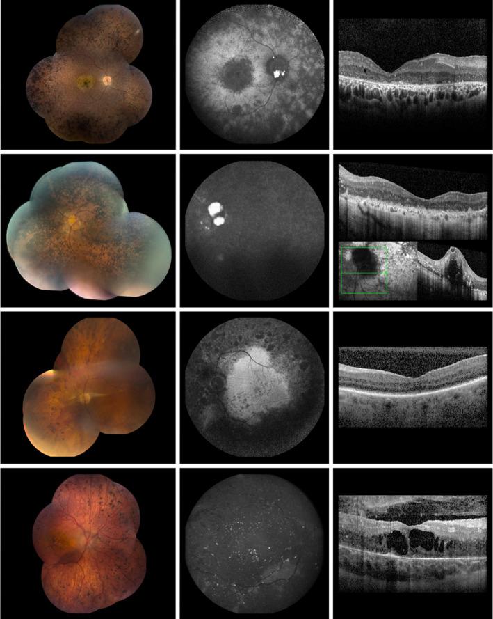
Patients had retinitis pigmentosa (n = 19; GI and non-GI), cone-rod dystrophy (n = 2; GI) or macular dystrophy (n = 1; non-GI). Median age at first symptom onset was 3 years (range 0.8-49). Median decimal BCVA in the better and worse-seeing eye was 0.18 (range 0.05-0.83) and 0.08 (range light perception-0.72), respectively. Spectral-domain optical coherence tomography (SD-OCT) showed cystoid maculopathy in 8 subjects; inner retinal thickening (n = 20), a well-preserved (para)foveal outer retina (n = 7) or severe (para)foveal outer retinal atrophy (n = 14). All retinal layers were discernible in 13/21 patients (62%), with mild to moderate laminar disorganization in the others. Nanophthalmos was observed in 8 patients (36%). Full-field stimulus testing (FST) provided a subjective outcome measure for retinal sensitivity in eyes with (nearly) extinguished ERG amplitudes.

CONCLUSIONS

Despite the generally severe course of CRB1-RDs, symptom onset and central visual function are variable, even at advanced ages. Phenotypes may vary within the same family. Imaging and functional studies in a prospective longitudinal setting should clarify which endpoints may be most appropriate in a clinical trial.

摘要

目的

研究 CRB1 相关视网膜营养不良(RD)患者的视网膜结构和功能,并探索潜在的临床终点。

方法

在这项前瞻性的横断面研究中,对 22 名经基因证实的 CRB1-RD 患者(年龄 6-74 岁)进行了研究,这些患者在最后一次就诊时的十进制最佳矫正视力(BCVA)≥0.05。临床检查包括 ETDRS BCVA、角膜地形图、谱域光相干断层扫描(SD-OCT)、眼底自发荧光、Goldmann 视野(VF)、微视野计、全视野视网膜电图(ERG)和全视野刺激测试(FST)。其中 10 名患者来自遗传孤立(GI)。

结果

患者的疾病表现为视网膜色素变性(n=19;GI 和非 GI)、锥-杆营养不良(n=2;GI)或黄斑营养不良(n=1;非 GI)。首发症状的中位年龄为 3 岁(范围 0.8-49)。较好眼和较差眼的中位十进制 BCVA 分别为 0.18(范围 0.05-0.83)和 0.08(范围光感-0.72)。谱域光相干断层扫描(SD-OCT)显示 8 例患者存在囊样黄斑病变;20 例患者存在内层视网膜增厚,7 例患者存在(para)黄斑区外层视网膜保存完好,14 例患者存在(para)黄斑区外层视网膜严重萎缩。在 13/21 例患者(62%)中可以分辨出所有视网膜层,而其余患者则存在轻度至中度的层状结构紊乱。8 例患者(36%)存在先天性眼球震颤。在 ERG 振幅几乎消失的眼中,全视野刺激测试(FST)为视网膜敏感性提供了一种主观的测量结果。

结论

尽管 CRB1-RD 的病情通常较为严重,但症状发作和中心视力在不同患者之间存在差异,甚至在年龄较大时也如此。同一家庭中可能存在不同的表型。在前瞻性纵向研究中进行影像学和功能研究,有助于明确哪些终点可能最适合临床试验。

https://cdn.ncbi.nlm.nih.gov/pmc/blobs/9a66/8248330/7e15898ea994/AOS-99-e402-g001.jpg

文献检索

告别复杂PubMed语法,用中文像聊天一样搜索,搜遍4000万医学文献。AI智能推荐,让科研检索更轻松。

立即免费搜索

文件翻译

保留排版,准确专业,支持PDF/Word/PPT等文件格式,支持 12+语言互译。

免费翻译文档

深度研究

AI帮你快速写综述,25分钟生成高质量综述,智能提取关键信息,辅助科研写作。

立即免费体验