Suppr超能文献

正畸中的远中移动:综述与病例系列

Distalization in Orthodontics: A Review and Case Series.

作者信息

Alogaibi Yahya A, Al-Fraidi Ahmad A, Alhajrasi Manar K, Alkhathami Saleh S, Hatrom Abdulkarim, Afify Ahmed R

机构信息

Bisha Dental Center, Ministry of Health, P.O. Box 418, Bisha 61922, Saudi Arabia.

Department of Orthodontic, King Fahad Hospital, Specialized Dental Center, Madina, Saudi Arabia.

出版信息

Case Rep Dent. 2021 Jan 20;2021:8843959. doi: 10.1155/2021/8843959. eCollection 2021.

Abstract

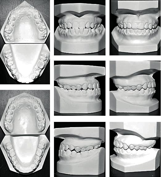
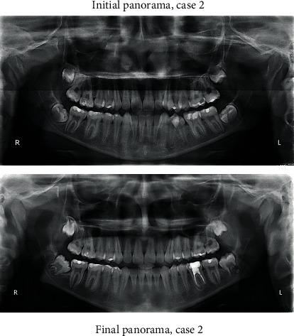
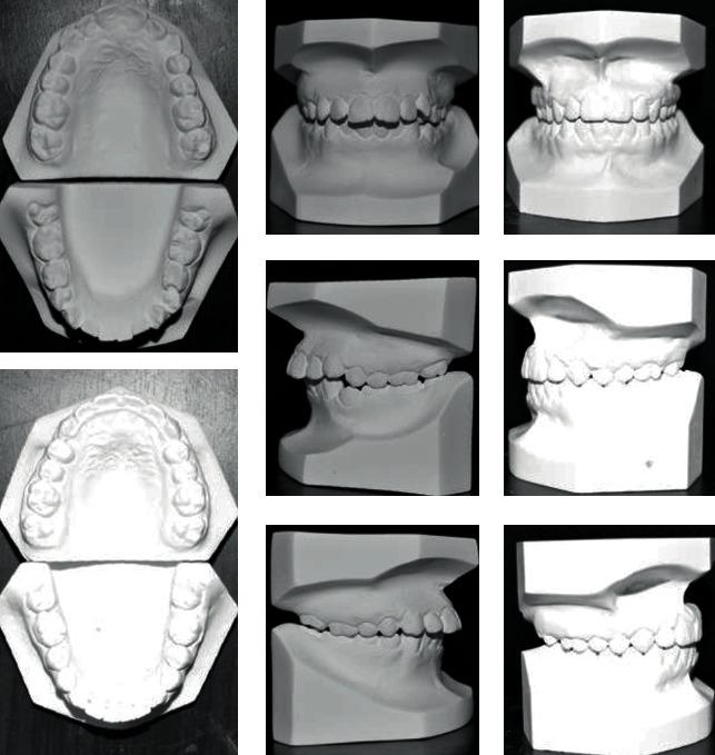
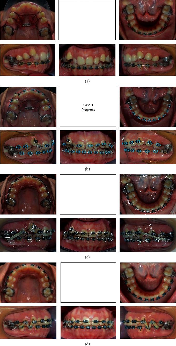
Distalization is a conservative method that is utilized in orthodontics to gain space by moving posterior teeth distally. It may be combined with other space gaining strategies, such as expansion, or can be used alone. Many methods have been used for distalization. These methods differ significantly in their place, whether to be extraoral or intraoral, site of action in upper and/or lower arch, and cooperation needed by the patient if it is removable or fixed. This review illustrates some of the most commonly used methods for distalization with a brief presentation of three cases that incorporated successful distalization techniques.

摘要

远中移动是正畸治疗中一种保守的方法,通过将后牙向远中移动来获得间隙。它可以与其他增加间隙的策略(如扩弓)相结合,也可以单独使用。已经有许多方法用于远中移动。这些方法在其位置(口外或口内)、在上颌和/或下颌牙弓的作用部位以及如果是可摘或固定矫治器时患者所需的配合方面有很大差异。本综述阐述了一些最常用的远中移动方法,并简要介绍了三个采用成功远中移动技术的病例。

https://cdn.ncbi.nlm.nih.gov/pmc/blobs/877e/7843187/67aaab90220f/CRID2021-8843959.001.jpg

文献AI研究员

20分钟写一篇综述,助力文献阅读效率提升50倍。

立即体验

用中文搜PubMed

大模型驱动的PubMed中文搜索引擎

马上搜索

文档翻译

学术文献翻译模型,支持多种主流文档格式。

立即体验