Department of Hematology, Endocrinology and Metabolism, Faculty of Medicine, Niigata University, Niigata, Japan.
Department of Pathology, School of Medicine, Kurume University, Kurume, Japan.
J Clin Exp Hematop. 2021 Mar 18;61(1):42-47. doi: 10.3960/jslrt.20043. Epub 2021 Feb 6.
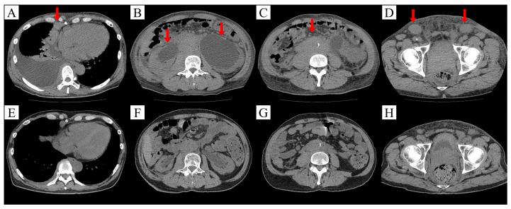
High-grade B-cell lymphoma with MYC and BCL2 and/or BCL6 rearrangements, also known as double-hit lymphoma, has been reported as refractory to R-CHOP therapy and requires more intensive regimens. However, intensive and safe regimens for patients with renal dysfunction are unknown. Herein, we report the successful use of DA-EPOCH-R therapy for double-hit lymphoma in a 64-year-old man with renal dysfunction. The patient had lymphoma-induced bilateral ureteral obstruction. Although renal dysfunction remained after removing the obstruction using R-CHOP therapy, we completed six cycles of DA-EPOCH-R therapy without any major adverse events. DA-EPOCH-R therapy may be a safe regimen for renal dysfunction patients.
伴有 MYC 和 BCL2 及/或 BCL6 重排的高级别 B 细胞淋巴瘤,也称为双打击淋巴瘤,据报道对 R-CHOP 治疗难治,需要更强化的治疗方案。然而,肾功能障碍患者的强化且安全的治疗方案尚不清楚。在此,我们报告了一例 64 岁肾功能障碍的双打击淋巴瘤患者成功使用 DA-EPOCH-R 治疗的案例。该患者因淋巴瘤导致双侧输尿管梗阻。虽然在使用 R-CHOP 治疗去除梗阻后肾功能仍未恢复,但我们在无重大不良事件的情况下完成了六个周期的 DA-EPOCH-R 治疗。DA-EPOCH-R 治疗可能是肾功能障碍患者的一种安全治疗方案。