Han Jun, Wu Chongchong, Wu Yuxin, Deng Hui, Gao Jie, Han Hua, Xue Xinying
Department of Radiology, The Third Affiliated Hospital of Chongqing Medical University, Chongqing 401120, P.R. China.
Department of Radiology, Chinese PLA General Hospital, Beijing 100853, P.R. China.
Oncol Lett. 2021 Feb;21(2):125. doi: 10.3892/ol.2020.12386. Epub 2020 Dec 17.
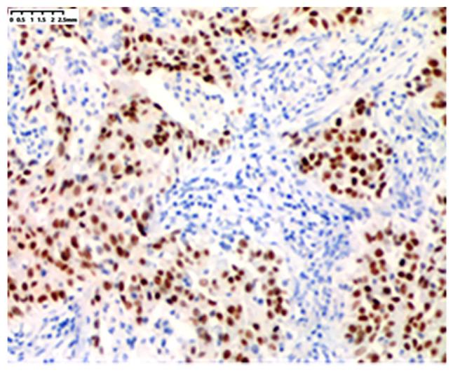
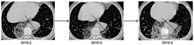
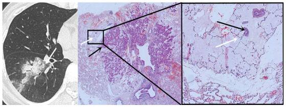
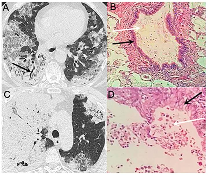
Patients with pneumonia-type lung cancer (PTLC) do not exhibit specific clinical features, which makes imaging diagnosis difficult. Therefore, the aetiology of the pathological changes occurring during PTLC remains unclear. The current study aimed to explore the possible mechanism of PTLC formation by CT scans and pathological analysis of the lungs. A retrospective analysis was conducted on the CT and pathological data of 17 cases of PTLC. The diagnosis of lung cancer was confirmed by pathology. The CT scans of nine patients indicated diffuse distribution of lesions in the lungs, whereas those of three patients indicated single-lung multi-leaf distribution, and those of the remaining five patients included single-leaf distribution. All patients demonstrated increased plaque or patchy density in the majority of the lesions located near the heart. The pathological types of the identified tumours were mucinous adenocarcinoma with adherent growth as the main sub-type. A large number of mucus lakes were observed, containing floating tumour cells, as determined by optical microscopy. In addition, a number of tumour cells were located in the residual alveolar wall of the observed mucus lakes. The results of the present study suggested that the mucinous adenocarcinoma tumour cells produced substantial quantities of mucus, and that the cells were scattered and planted along with the mucus through the airway, which led to possible development of pneumonia-type mucinous adenocarcinoma.
肺炎型肺癌(PTLC)患者无特异性临床特征,这使得影像学诊断困难。因此,PTLC发生过程中病理变化的病因仍不清楚。本研究旨在通过肺部CT扫描和病理分析探索PTLC形成的可能机制。对17例PTLC患者的CT和病理数据进行回顾性分析。肺癌诊断经病理证实。9例患者的CT扫描显示肺部病变呈弥漫性分布,3例患者呈单肺多叶分布,其余5例患者为单叶分布。所有患者大部分位于心脏附近的病变均表现为斑片状或片状密度增高。所确定肿瘤的病理类型以黏液腺癌伴贴壁生长为主要亚型。光学显微镜检查发现大量黏液湖,其中含有漂浮的肿瘤细胞。此外,在观察到的黏液湖的残留肺泡壁中发现了一些肿瘤细胞。本研究结果提示,黏液腺癌肿瘤细胞产生大量黏液,细胞随黏液通过气道播散种植,这可能导致肺炎型黏液腺癌的发生。