Suppr超能文献

COVID-19 作为亚临床胎盘功能障碍的独立危险因素。

COVID-19 as an independent risk factor for subclinical placental dysfunction.

机构信息

Department of Obstetrics and Gynecology, Smt Sucheta Kriplani Hospital and Lady Hardinge Medical College, New Delhi, India.

Department of Obstetrics and Gynecology, Smt Sucheta Kriplani Hospital and Lady Hardinge Medical College, New Delhi, India.

出版信息

Eur J Obstet Gynecol Reprod Biol. 2021 Apr;259:7-11. doi: 10.1016/j.ejogrb.2021.01.049. Epub 2021 Jan 29.

Abstract

BACKGROUND

The pandemic of the severe acute respiratory distress syndrome-associated Coronavirus-2 (SARS-CoV-2) has affected millions around the world. In pregnancy the dangers to the mother and fetus are still being explored. SARS-CoV2 can potentially compromise maternal and neonatal outcomes and this may be dependent on the pregnancy stage during which the infection occurs.

OBJECTIVE

The present study was done to find the histopathological alterations in the placenta of SARS-CoV-2 positive pregnancies with either no symptoms or mild coronavirus disease (COVID)-19 related symptoms and its association with neonatal outcomes.

STUDY DESIGN

This was a prospective analytical study. Twenty seven asymptomatic or mildly symptomatic SARS-CoV-2 positive pregnant women with a singleton pregnancy delivered between 1 July 2020 and 15 September 2020, were included as cases. An equal number of SARS-CoV-2 negative singleton pregnancies matched for maternal and gestational age during the same period were included as controls. After delivery the histopathological examination of the placenta of these women was done and the findings recorded on a predesigned proforma based on the Amsterdam consensus criteria for evidence of maternal and fetal vascular malperfusion changes.

RESULTS

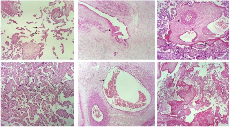
The baseline characteristics were comparable between the cases and controls. The following features of maternal vascular malperfusion (MVM) were significantly higher in the placentae of COVID-19 positive pregnancies: retroplacental hematomas (RPH), accelerated villous maturation (AVM), distal villous hyperplasia (DVH), atherosis, fibrinoid necrosis, mural hypertrophy of membrane arterioles (MHMA), vessel ectasia and persistence of intramural endovascular trophoblast (PIEVT). Fetal vascular malperfusion (FVM) significantly associated with the positive pregnancies were chorioangiosis, thrombosis of the fetal chorionic plate (TFCP), intramural fibrin deposition (IMFD) and vascular ectasia. Additionally, perivillous fibrin deposition was also significantly higher in the placentae of cases. The percentage of spontaneously delivered women was comparable in the two groups. The sex and weight of the newborn and the number of live births were comparable between the two groups.

CONCLUSIONS

Asymptomatic or mildly symptomatic SARS-CoV-2 positive pregnant women, with otherwise uncomplicated pregnancies, show evidence of placental injury at a microscopic level. Similar findings have been demonstrated in other studies too. This placental injury apparently does not lead to poor pregnancy outcomes. The extent of this injury in symptomatic cases of COVID-19 pregnancies and its consequences on the outcomes need to be analysed.

摘要

背景

严重急性呼吸窘迫综合征相关冠状病毒-2(SARS-CoV-2)的大流行已经影响了全球数百万人。在妊娠期间,母婴的危险仍在探索之中。SARS-CoV2 可能会危及母婴和新生儿的结局,而这可能取决于感染发生时的妊娠阶段。

目的

本研究旨在探讨 SARS-CoV-2 阳性孕妇中无症状或轻度冠状病毒病(COVID-19)相关症状的胎盘组织病理学改变及其与新生儿结局的关系。

研究设计

这是一项前瞻性分析研究。2020 年 7 月 1 日至 2020 年 9 月 15 日期间,27 名无症状或轻度 SARS-CoV-2 阳性孕妇分娩单胎,作为病例纳入研究。同期选择了 27 名 SARS-CoV-2 阴性、单胎、年龄匹配的孕妇作为对照。分娩后,对这些孕妇的胎盘进行组织病理学检查,并根据阿姆斯特丹母婴血管灌注不良证据的共识标准,记录胎盘组织病理学检查结果。

结果

病例组和对照组的基线特征无差异。COVID-19 阳性孕妇胎盘的以下母体血管灌注不良(MVM)特征明显更高:胎盘后血肿(RPH)、绒毛加速成熟(AVM)、绒毛远端增生(DVH)、动脉粥样硬化、纤维蛋白坏死、膜动脉中膜肥厚(MHMA)、血管扩张和血管内滋养细胞(PIEVT)残留。与 COVID-19 阳性孕妇显著相关的胎儿血管灌注不良(FVM)为绒毛膜绒毛血管扩张、胎儿绒毛板血栓形成(TFCP)、血管内纤维蛋白沉积(IMFD)和血管扩张。此外,胎盘绒毛周围纤维蛋白沉积也明显较高。两组中自然分娩的妇女比例相似。两组新生儿的性别、体重和活产数无差异。

结论

无症状或轻度 SARS-CoV-2 阳性孕妇,妊娠无其他并发症,胎盘有微观损伤的证据。其他研究也有类似发现。这种胎盘损伤显然不会导致不良的妊娠结局。需要分析 COVID-19 孕妇症状严重程度的胎盘损伤程度及其对结局的影响。

https://cdn.ncbi.nlm.nih.gov/pmc/blobs/2939/7845516/4a029ef82bfd/gr1_lrg.jpg

文献检索

告别复杂PubMed语法,用中文像聊天一样搜索,搜遍4000万医学文献。AI智能推荐,让科研检索更轻松。

立即免费搜索

文件翻译

保留排版,准确专业,支持PDF/Word/PPT等文件格式,支持 12+语言互译。

免费翻译文档

深度研究

AI帮你快速写综述,25分钟生成高质量综述,智能提取关键信息,辅助科研写作。

立即免费体验