• 文献检索
  • 文档翻译
  • 深度研究
  • 学术资讯
  • Suppr Zotero 插件Zotero 插件
  • 邀请有礼
  • 套餐&价格
  • 历史记录
应用&插件
Suppr Zotero 插件Zotero 插件浏览器插件Mac 客户端Windows 客户端微信小程序
定价
高级版会员购买积分包购买API积分包
服务
文献检索文档翻译深度研究API 文档MCP 服务
关于我们
关于 Suppr公司介绍联系我们用户协议隐私条款
关注我们

Suppr 超能文献

核心技术专利:CN118964589B侵权必究
粤ICP备2023148730 号-1Suppr @ 2026

文献检索

告别复杂PubMed语法,用中文像聊天一样搜索,搜遍4000万医学文献。AI智能推荐,让科研检索更轻松。

立即免费搜索

文件翻译

保留排版,准确专业,支持PDF/Word/PPT等文件格式,支持 12+语言互译。

免费翻译文档

深度研究

AI帮你快速写综述,25分钟生成高质量综述,智能提取关键信息,辅助科研写作。

立即免费体验

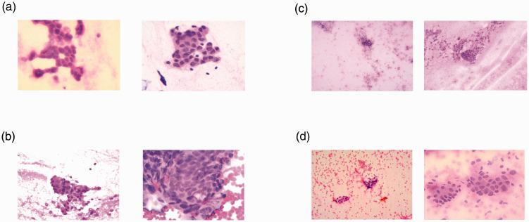
刷检细胞学在胆胰狭窄中的准确性:单中心队列研究。

Accuracy of brush cytology in biliopancreatic strictures: a single-center cohort study.

机构信息

Shulan (Hangzhou) Hospital Affiliated to Zhejiang Shuren University, Shulan International Medical College, Hangzhou, Zhejiang, P.R. China.

Division of Oncology, First Affiliated Hospital, Zhejiang University School of Medicine, Hangzhou, Zhejiang, P.R. China.

出版信息

J Int Med Res. 2021 Feb;49(2):300060520987771. doi: 10.1177/0300060520987771.

DOI:10.1177/0300060520987771
PMID:33557655
原文链接:https://pmc.ncbi.nlm.nih.gov/articles/PMC7876769/
Abstract

OBJECTIVE

False positive and negative results are associated with biliary tract cell brushing cytology during endoscopic retrograde cholangiopancreatography (ERCP). The causes are uncertain. The purpose of this study was to evaluate the accuracy of diagnoses made via cell brushing in our center, and to explore the factors influencing diagnosis.

METHODS

The clinical data of patients who underwent cell brushing at our center from January 2016 to August 2019 were retrospectively analyzed. These included age, gender, stricture location, thickness of the bile duct wall in the narrow segment, maximum diameter of the biliary duct above the stricture, number of cell brush smears, carbohydrate antigen 19-9, and carcinoembryonic antigen. Positive brush cytology results were compared with results of surgical histology or tumor biopsy as well as with the patient's clinical course.

RESULTS

Of the 48 patients who underwent cell brushing cytology, 27 (56.3%) had positive results. The sensitivity and specificity of biliary duct cell brushing was 79.4%, and 85.7%, respectively. None of the above-mentioned factors were associated with positive cytology brushing results.

CONCLUSIONS

Cell brushing cytology remains a reliable method for diagnosis of pancreaticobiliary malignancies.

摘要

目的

经内镜逆行胰胆管造影术(ERCP)期间胆管细胞刷检的假阳性和假阴性结果与胆管细胞刷检有关。其原因尚不确定。本研究的目的是评估我们中心通过细胞刷检做出的诊断的准确性,并探讨影响诊断的因素。

方法

回顾性分析了 2016 年 1 月至 2019 年 8 月在我院行细胞刷检的患者的临床资料,包括年龄、性别、狭窄部位、狭窄段胆管壁厚度、胆管上段最大直径、细胞刷涂片数、糖类抗原 19-9、癌胚抗原。阳性刷检结果与手术组织学或肿瘤活检结果以及患者的临床过程进行比较。

结果

48 例行胆管细胞刷检的患者中,27 例(56.3%)结果阳性。胆管细胞刷检的灵敏度和特异性分别为 79.4%和 85.7%。上述因素均与细胞学刷检阳性结果无关。

结论

细胞刷检仍然是诊断胰胆恶性肿瘤的可靠方法。

https://cdn.ncbi.nlm.nih.gov/pmc/blobs/b816/7876769/635a71fb3740/10.1177_0300060520987771-fig2.jpg
https://cdn.ncbi.nlm.nih.gov/pmc/blobs/b816/7876769/419aa2fb52bb/10.1177_0300060520987771-fig1.jpg
https://cdn.ncbi.nlm.nih.gov/pmc/blobs/b816/7876769/635a71fb3740/10.1177_0300060520987771-fig2.jpg
https://cdn.ncbi.nlm.nih.gov/pmc/blobs/b816/7876769/419aa2fb52bb/10.1177_0300060520987771-fig1.jpg
https://cdn.ncbi.nlm.nih.gov/pmc/blobs/b816/7876769/635a71fb3740/10.1177_0300060520987771-fig2.jpg

相似文献

1
Accuracy of brush cytology in biliopancreatic strictures: a single-center cohort study.刷检细胞学在胆胰狭窄中的准确性:单中心队列研究。
J Int Med Res. 2021 Feb;49(2):300060520987771. doi: 10.1177/0300060520987771.
2
Biliary Brush Cytology Revisited.胆道刷检细胞学再探讨。
Acta Cytol. 2016;60(2):167-72. doi: 10.1159/000446149. Epub 2016 May 25.
3
Monocentric study of bile aspiration associated with biliary brushing performed during endoscopic retrograde cholangiopancreatography in 239 patients with symptomatic biliary stricture.对239例有症状性胆管狭窄患者在经内镜逆行胰胆管造影术期间进行的胆汁抽吸与胆管刷检相关的单中心研究。
Cancer Cytopathol. 2016 May;124(5):330-9. doi: 10.1002/cncy.21667. Epub 2015 Dec 23.
4
Effect of single operator cholangioscopy on accuracy of bile duct cytology.单操作员胆管镜检查对胆管细胞学检查准确性的影响。
Diagn Cytopathol. 2020 Dec;48(12):1230-1236. doi: 10.1002/dc.24553. Epub 2020 Aug 8.
5
Comparison of brush and basket cytology in differential diagnosis of bile duct stricture at endoscopic retrograde cholangiopancreatography.内镜逆行胰胆管造影术中刷检与篮式细胞学检查在胆管狭窄鉴别诊断中的比较
Hepatobiliary Pancreat Dis Int. 2014 Dec;13(6):622-7. doi: 10.1016/s1499-3872(14)60311-8.
6
Diagnostic value of new biliary biopsy cannulae for malignant bile duct strictures via endoscopic retrograde cholangiopancreatography pathway.经内镜逆行胰胆管造影途径的新型胆胰管活检插管对恶性胆管狭窄的诊断价值。
Asian J Surg. 2024 Jan;47(1):471-476. doi: 10.1016/j.asjsur.2023.04.108. Epub 2023 May 2.
7
Investigation of Factors Affecting the Sensitivity of Bile Duct Brush Cytology.影响胆管刷检细胞学敏感性的因素研究
Intern Med. 2019 Feb 1;58(3):329-335. doi: 10.2169/internalmedicine.1551-18. Epub 2018 Aug 24.
8
Combining brushing cytology with simultaneous vacuum aspiration in suspicious biliopancreatic malignancies: A multicenter propensity score-matched study (with video).联合刷检细胞学与同期真空抽吸术在可疑的胆胰恶性肿瘤中的应用:一项多中心倾向性评分匹配研究(附视频)。
Dig Liver Dis. 2024 Apr;56(4):641-647. doi: 10.1016/j.dld.2023.09.006. Epub 2023 Sep 23.
9
Influence of stricture dilation and repeat brushing on the cancer detection rate of brush cytology in the evaluation of malignant biliary obstruction.在恶性胆管梗阻评估中,狭窄扩张及重复刷检对刷检细胞学癌症检出率的影响
Gastrointest Endosc. 2003 Aug;58(2):176-82. doi: 10.1067/mge.2003.345.
10
Brush Cytology Performance for the Assessment of Biliopancreatic Strictures.用于评估胆胰管狭窄的刷检细胞学检查效能
Acta Cytol. 2020;64(4):344-351. doi: 10.1159/000502791. Epub 2019 Sep 24.

引用本文的文献

1
Implementing Massive Parallel Sequencing into Biliary Samples Obtained through Endoscopic Retrograde Cholangiopancreatography for Diagnosing Malignant Bile Duct Strictures.经内镜逆行胰胆管造影术获取的胆汁样本中实施大规模平行测序,用于诊断恶性胆管狭窄。
Int J Mol Sci. 2024 Aug 30;25(17):9461. doi: 10.3390/ijms25179461.

本文引用的文献

1
Limited diagnostic accuracy and clinical impact of single-operator peroral cholangioscopy for indeterminate biliary strictures.单操作者经口胆管镜检查对不明原因胆管狭窄的诊断准确性和临床影响有限。
Endoscopy. 2020 Feb;52(2):90-91. doi: 10.1055/a-1079-3569. Epub 2020 Jan 28.
2
Endoscopic Ultrasound-Guided Fine Needle Aspiration and Endoscopic Retrograde Cholangiopancreatography-Based Tissue Sampling in Suspected Malignant Biliary Strictures: A Meta-Analysis of Same-Session Procedures.内镜超声引导下细针穿刺活检与基于内镜逆行胰胆管造影的组织取样在疑似恶性胆管狭窄中的应用:同期手术的荟萃分析
Clin Endosc. 2020 Jul;53(4):417-428. doi: 10.5946/ce.2019.053. Epub 2019 Nov 5.
3
EUS-FNA versus ERCP for tissue diagnosis of suspect malignant biliary strictures: a prospective comparative study.
超声内镜引导下细针穿刺活检与内镜逆行胰胆管造影用于可疑恶性胆管狭窄组织诊断的前瞻性对照研究
Endosc Int Open. 2018 Jun;6(6):E769-E777. doi: 10.1055/s-0043-123186. Epub 2018 Jun 5.
4
Diagnosis of Malignant Biliary Strictures: Conventional or Negative Pressure Brush Cytology?恶性胆管狭窄的诊断:传统刷检细胞学还是负压刷检细胞学?
Asian Pac J Cancer Prev. 2016 Oct 1;17(10):4563-4566. doi: 10.22034/apjcp.2016.17.10.4563.
5
Endoscopic retrograde cholangiopancreatography versus endoscopic ultrasound for tissue diagnosis of malignant biliary stricture: Systematic review and meta-analysis.内镜逆行胰胆管造影术与内镜超声检查用于恶性胆管狭窄组织诊断的比较:系统评价与荟萃分析
Endosc Ultrasound. 2018 Jan-Feb;7(1):10-19. doi: 10.4103/2303-9027.193597.
6
The impact of brush cytology from endoscopic retrograde cholangiopancreatography (ERCP) on patient management at a UK teaching hospital.内镜逆行胰胆管造影术(ERCP)刷检细胞学对英国一家教学医院患者管理的影响。
Frontline Gastroenterol. 2016 Apr;7(2):97-101. doi: 10.1136/flgastro-2015-100643. Epub 2015 Oct 29.
7
Diagnosis of bile duct cancer by bile cytology: usefulness of post-brushing biliary lavage fluid.通过胆汁细胞学诊断胆管癌:刷检后胆汁灌洗液的作用
Endosc Int Open. 2015 Aug;3(4):E323-8. doi: 10.1055/s-0034-1391666. Epub 2015 May 7.
8
Single-operator cholangioscopy and targeted biopsies in the diagnosis of indeterminate biliary strictures: a systematic review.单人操作胆管镜检查及靶向活检在诊断不明原因胆管狭窄中的应用:一项系统评价
Gastrointest Endosc. 2015 Oct;82(4):608-14.e2. doi: 10.1016/j.gie.2015.04.030. Epub 2015 Jun 10.
9
Strategies for improving diagnostic accuracy of biliary strictures.提高胆管狭窄诊断准确性的策略。
Cancer Cytopathol. 2015 Apr;123(4):244-52. doi: 10.1002/cncy.21509. Epub 2015 Jan 6.
10
Biliary brush cytology in the assessment of biliary strictures at a tertiary center in Iran.伊朗一家三级中心运用胆道刷检细胞学评估胆道狭窄情况
Asian Pac J Cancer Prev. 2011;12(10):2793-6.