Laboratory of Veterinary Anatomy, Department of Veterinary Medicine, School of Veterinary Medicine, Rakuno Gakuen University, Ebetsu, Hokkaido 069-8501, Japan.
Laboratory of Anatomy, Department of Basic Veterinary Science, Faculty of Veterinary Medicine, Hokkaido University, Sapporo, Hokkaido, Japan
Biol Open. 2021 Feb 19;10(2):bio058230. doi: 10.1242/bio.058230.
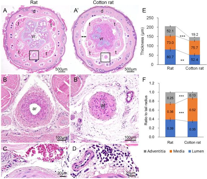
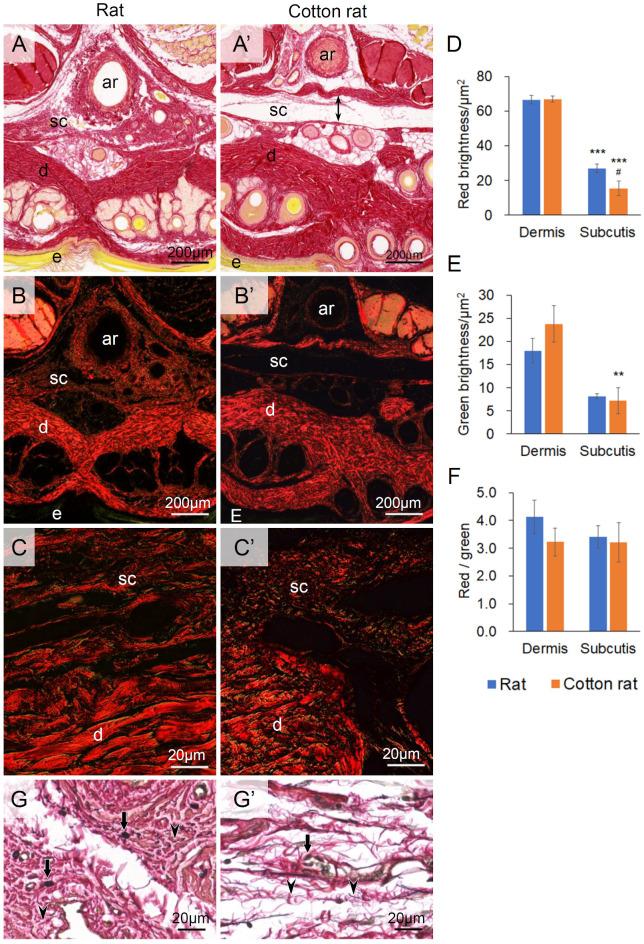
Caudal autotomy in rodents is an evolutionarily acquired phenomenon enabling escape from predators, by discarding the tail skin after traumatic injuries. The histological mechanisms underlying caudal autotomy seem to differ among species. Cotton rats (), which are important laboratory rodents for human infectious diseases, possess a fragile tail. In this study, we compared the tail histology of cotton rats with that of laboratory rats (), which have no fragility on their tail, to elucidate the process of rodent caudal autotomy. First, the cotton rats developed a false autotomy characterized by loss of the tail sheath with the caudal vertebrae remaining without tail regeneration. Second, we found the fracture plane was continuous from the interscale of the tail epidermis to the dermis, which was lined with an alignment of E-cadherin cells. Third, we found an obvious cleavage plane between the dermis and subjacent tissues of the cotton-rat tail, where the subcutis was composed of looser, finer, and fragmented collagen fibers compared with those of the rat. Additionally, the cotton-rat tail was easily torn, with minimum bleeding. The median coccygeal artery of the cotton rat had a thick smooth muscle layer, and its lumen was filled with the peeled intima with fibrin coagulation, which might be associated with reduced bleeding following caudal autotomy. Taken together, we reveal the unique histological features of the tail relating to the caudal autotomy process in the cotton rat, and provide novel insights to help clarify the rodent caudal autotomy mechanism.
啮齿动物的尾部自切是一种进化获得的现象,通过在创伤后丢弃尾部皮肤来逃避捕食者。尾部自切的组织学机制似乎因物种而异。棉鼠()是用于人类传染病研究的重要实验动物,它们的尾巴很脆弱。在这项研究中,我们比较了棉鼠和实验大鼠()的尾巴组织学,后者的尾巴没有脆弱性,以阐明啮齿动物尾部自切的过程。首先,棉鼠出现了一种假自切的现象,表现为尾鞘的丢失,而尾骨没有再生。其次,我们发现骨折面从尾巴表皮的鳞片之间连续到真皮,真皮上排列着一连串的 E-钙黏蛋白细胞。第三,我们发现棉鼠尾巴的真皮和下方组织之间有一个明显的分裂面,其中皮下组织由较松散、较细和碎片化的胶原纤维组成,与大鼠的胶原纤维不同。此外,棉鼠的尾巴很容易撕裂,出血很少。棉鼠的尾骨正中动脉有一层厚厚的平滑肌层,其管腔充满了剥脱的内膜和纤维蛋白凝块,这可能与尾部自切后出血减少有关。综上所述,我们揭示了棉鼠尾部自切过程中与尾部相关的独特组织学特征,为阐明啮齿动物尾部自切机制提供了新的见解。