Hospital Oftalmológico Dr. Pedro Lagleyze, Buenos Aires, Argentina.
Eye Department, University of Oslo, Oslo, Norway.
Arq Bras Oftalmol. 2021 May-Jun;84(3):275-278. doi: 10.5935/0004-2749.20210041.
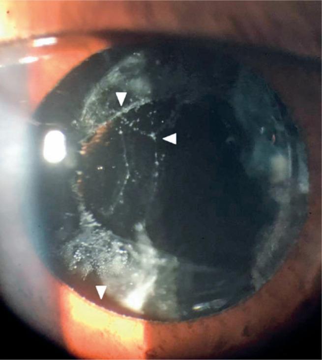
Pseudoexfoliation syndrome is more frequent in people aged >50 yeears, and its prevalence increases with age. Few reports have described cases in younger patients, all with a history of ocular surgery, especially iris resection. Herein, we describe the case of a 27-year old man with bilateral advanced glaucoma and pseudoexfoliation material in OS. He had undergone cataract surgeries OU and a penetrating keratoplasty OD during childhood. Currently, he presented with an intraocular pressure of 40 mmHg OU. The OS showed a white flaky material in the pupillary rim and anterior capsule and a Sampaolesi line as a gonioscopic finding. Trabeculectomy was performed OU, and intraocular pressure control was achieved. Unlike other previously reported cases, this patient did not present any apparent iris manipulation in the affected eye. However, he did undergo an iridectomy in the contralateral eye. This is also the first case to be accompanied by bilateral glaucoma at the time of detection of the pseudoexfoliation material.
假性剥脱综合征在 >50 岁的人群中更为常见,其患病率随年龄增长而增加。很少有报道描述年轻患者的病例,所有患者均有眼部手术史,尤其是虹膜切除术。在此,我们描述了一例 27 岁男性的双眼晚期青光眼和假性剥脱物质。他在儿童时期接受了双眼白内障手术和右眼穿透性角膜移植术。目前,他的双眼眼压均为 40mmHg。右眼瞳孔缘和前囊有白色片状物质,房角镜下可见 Sampaolesi 线。双眼均行小梁切除术,眼压得到控制。与其他先前报道的病例不同,该患者在受影响的眼中没有明显的虹膜操作。然而,他在对侧眼确实进行了虹膜切除术。这也是首例在发现假性剥脱物质时伴有双侧青光眼的病例。