• 文献检索
  • 文档翻译
  • 深度研究
  • 学术资讯
  • Suppr Zotero 插件Zotero 插件
  • 邀请有礼
  • 套餐&价格
  • 历史记录
应用&插件
Suppr Zotero 插件Zotero 插件浏览器插件Mac 客户端Windows 客户端微信小程序
定价
高级版会员购买积分包购买API积分包
服务
文献检索文档翻译深度研究API 文档MCP 服务
关于我们
关于 Suppr公司介绍联系我们用户协议隐私条款
关注我们

Suppr 超能文献

核心技术专利:CN118964589B侵权必究
粤ICP备2023148730 号-1Suppr @ 2026

文献检索

告别复杂PubMed语法,用中文像聊天一样搜索,搜遍4000万医学文献。AI智能推荐,让科研检索更轻松。

立即免费搜索

文件翻译

保留排版,准确专业,支持PDF/Word/PPT等文件格式,支持 12+语言互译。

免费翻译文档

深度研究

AI帮你快速写综述,25分钟生成高质量综述,智能提取关键信息,辅助科研写作。

立即免费体验

人半乳糖凝集素-1 和半乳糖凝集素-3 促进 感染。

Human galectin-1 and galectin-3 promote infection.

机构信息

Aix Marseille Univ, IRD, APHM, MEPHI , Marseille, France.

IHU-Méditerranée Infection , Marseille, France.

出版信息

Gut Microbes. 2021 Jan-Dec;13(1):1-15. doi: 10.1080/19490976.2021.1884515.

DOI:10.1080/19490976.2021.1884515
PMID:33573443
原文链接:https://pmc.ncbi.nlm.nih.gov/articles/PMC7889132/
Abstract

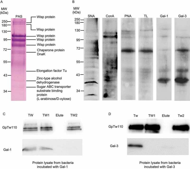
, is an actinobacterium that causes different infections in humans, including Whipple's disease. The bacterium infects and replicates in macrophages, leading to a Th2-biased immune response. Previous studies have shown that harbors complex surface glycoproteins with evidence of sialylation. However, the exact contribution of these glycoproteins for infection and survival remains obscure. To address this, we characterized the bacterial glycoprofile and evaluated the involvement of human β-galactoside-binding lectins, Galectin-1 (Gal-1) and Galectin-3 (Gal-3) which are highly expressed by macrophages as receptors for bacterial glycans. glycoproteins harbor different sugars including glucose, mannose, fucose, β-galactose and sialic acid. Mass spectrometry identification revealed that these glycoproteins were membrane- and virulence-associated glycoproteins. Most of these glycoproteins are highly sialylated and N-glycosylated while some of them are rich in poly-N-acetyllactosamine (Poly-LAcNAc) and bind Gal-1 and Gal-3. modulates the expression and cellular distribution of Gal-1 and Gal-3. Although both galectins promote infection by enhancing bacterial cell entry, only Gal-3 is required for optimal bacterial uptake. Finally, we found that serum levels of Gal-1 and Gal-3 were altered in patients with infections as compared to healthy individuals, suggesting that galectins are also involved . Among membrane-associated proteins, poly-LacNAc rich-glycoproteins promote infection through interaction with galectins. modulates the expression of Gal-1 and Gal-3 both and . Drugs interfering with galectin-glycan interactions may provide new avenues for the treatment and diagnosis of infections.

摘要

,是一种放线菌,可引起人类的不同感染,包括惠普尔氏病。该细菌感染并在巨噬细胞中复制,导致 Th2 偏向的免疫反应。以前的研究表明,含有具有唾液酸化证据的复杂表面糖蛋白。然而,这些糖蛋白对于感染和存活的确切贡献仍然不清楚。为了解决这个问题,我们对细菌糖组进行了表征,并评估了人类β-半乳糖苷结合凝集素 Galectin-1(Gal-1)和 Galectin-3(Gal-3)的参与,这些凝集素在巨噬细胞中作为细菌糖的受体高度表达。 糖蛋白含有不同的糖,包括葡萄糖、甘露糖、岩藻糖、β-半乳糖和唾液酸。质谱鉴定表明,这些糖蛋白是膜相关和毒力相关糖蛋白。这些糖蛋白中的大多数高度唾液酸化和 N-糖基化,而有些则富含多 N-乙酰乳糖胺(Poly-LAcNAc)并与 Gal-1 和 Gal-3 结合。 调节 Gal-1 和 Gal-3 的表达和细胞分布。尽管两种凝集素都通过增强细菌细胞进入来促进 感染,但只有 Gal-3 是最佳细菌摄取所必需的。最后,我们发现与健康个体相比,感染 患者的血清中 Gal-1 和 Gal-3 的水平发生了改变,这表明凝集素也参与其中。在 膜相关蛋白中,富含 Poly-LAcNAc 的糖蛋白通过与凝集素相互作用促进感染。 调节 Gal-1 和 Gal-3 的表达 两者都 。干扰凝集素-聚糖相互作用的药物可能为 感染的治疗和诊断提供新途径。

https://cdn.ncbi.nlm.nih.gov/pmc/blobs/3a5f/7889132/785b86cdbf10/KGMI_A_1884515_F0004_B.jpg
https://cdn.ncbi.nlm.nih.gov/pmc/blobs/3a5f/7889132/8ab2ab7ba091/KGMI_A_1884515_F0001_OC.jpg
https://cdn.ncbi.nlm.nih.gov/pmc/blobs/3a5f/7889132/a08fb91b61e9/KGMI_A_1884515_F0002_OC.jpg
https://cdn.ncbi.nlm.nih.gov/pmc/blobs/3a5f/7889132/d62863931baf/KGMI_A_1884515_F0003_B.jpg
https://cdn.ncbi.nlm.nih.gov/pmc/blobs/3a5f/7889132/785b86cdbf10/KGMI_A_1884515_F0004_B.jpg
https://cdn.ncbi.nlm.nih.gov/pmc/blobs/3a5f/7889132/8ab2ab7ba091/KGMI_A_1884515_F0001_OC.jpg
https://cdn.ncbi.nlm.nih.gov/pmc/blobs/3a5f/7889132/a08fb91b61e9/KGMI_A_1884515_F0002_OC.jpg
https://cdn.ncbi.nlm.nih.gov/pmc/blobs/3a5f/7889132/d62863931baf/KGMI_A_1884515_F0003_B.jpg
https://cdn.ncbi.nlm.nih.gov/pmc/blobs/3a5f/7889132/785b86cdbf10/KGMI_A_1884515_F0004_B.jpg

相似文献

1
Human galectin-1 and galectin-3 promote infection.人半乳糖凝集素-1 和半乳糖凝集素-3 促进 感染。
Gut Microbes. 2021 Jan-Dec;13(1):1-15. doi: 10.1080/19490976.2021.1884515.
2
Tropheryma whipplei glycosylation in the pathophysiologic profile of Whipple's disease.惠普尔病病理生理特征中的 Tropheryma whipplei 糖基化
J Infect Dis. 2009 Apr 1;199(7):1043-52. doi: 10.1086/597277.
3
Galectin-1, -2, and -3 exhibit differential recognition of sialylated glycans and blood group antigens.半乳糖凝集素-1、-2和-3对唾液酸化聚糖和血型抗原有不同的识别作用。
J Biol Chem. 2008 Apr 11;283(15):10109-23. doi: 10.1074/jbc.M709545200. Epub 2008 Jan 23.
4
Galectin binding to cells and glycoproteins with genetically modified glycosylation reveals galectin-glycan specificities in a natural context.半乳糖凝集素与经基因修饰糖基化的细胞和糖蛋白的结合,在自然环境中揭示了半乳糖凝集素-糖的特异性。
J Biol Chem. 2018 Dec 28;293(52):20249-20262. doi: 10.1074/jbc.RA118.004636. Epub 2018 Nov 1.
5
Type I interferon induction is detrimental during infection with the Whipple's disease bacterium, Tropheryma whipplei.Ⅰ型干扰素的诱导在感染 Whipple 病细菌,即屈螺酮体(Tropheryma whipplei)期间是有害的。
PLoS Pathog. 2010 Jan 15;6(1):e1000722. doi: 10.1371/journal.ppat.1000722.
6
Tropheryma whipplei, the Whipple's disease bacillus, induces macrophage apoptosis through the extrinsic pathway.热带口炎性腹泻棒状杆菌(Tropheryma whipplei),又称惠尔氏病杆菌,通过外在途径诱导巨噬细胞凋亡。
Cell Death Dis. 2010 Apr 8;1(4):e34. doi: 10.1038/cddis.2010.11.
7
Whipple's disease and Tropheryma whipplei infections: from bench to bedside.惠普尔病与惠普尔养障体感染:从基础到临床。
Lancet Infect Dis. 2022 Oct;22(10):e280-e291. doi: 10.1016/S1473-3099(22)00128-1. Epub 2022 Apr 12.
8
Tropheryma whipplei, the agent of Whipple's disease, affects the early to late phagosome transition and survives in a Rab5- and Rab7-positive compartment.惠普尔病的病原体惠普尔嗜组织菌,影响早期到晚期吞噬体的转变,并在Rab5和Rab7阳性区室中存活。
PLoS One. 2014 Feb 24;9(2):e89367. doi: 10.1371/journal.pone.0089367. eCollection 2014.
9
Global proteomic pattern of Tropheryma whipplei: a Whipple's disease bacterium.惠普尔氏放线杆菌的整体蛋白质组模式:一种引发惠普尔病的细菌
Proteomics. 2009 Mar;9(6):1593-616. doi: 10.1002/pmic.200700889.
10
New insights into Whipple's disease and Tropheryma whipplei infections.惠尔氏病和贪食密螺旋体感染的新见解。
Microbes Infect. 2010 Dec;12(14-15):1102-10. doi: 10.1016/j.micinf.2010.08.001. Epub 2010 Aug 11.

引用本文的文献

1
A Narrative Review on the Multifaceted Roles of Galectins in Host-Pathogen Interactions During Infection.半乳糖凝集素在感染过程中宿主-病原体相互作用中的多方面作用的叙述性综述
Int J Mol Sci. 2025 Jul 25;26(15):7216. doi: 10.3390/ijms26157216.
2
Galectin-1: A Traditionally Immunosuppressive Protein Displays Context-Dependent Capacities.半乳糖凝集素-1:一种传统上具有免疫抑制作用的蛋白,表现出与上下文相关的能力。
Int J Mol Sci. 2023 Mar 30;24(7):6501. doi: 10.3390/ijms24076501.
3
Elevated serum galectin-1 concentrations are associated with increased risks of mortality and acute kidney injury in critically ill patients.

本文引用的文献

1
Utilization of Galectins by Pathogens for Infection.病原体对半乳糖凝集素的利用与感染。
Front Immunol. 2020 Aug 19;11:1877. doi: 10.3389/fimmu.2020.01877. eCollection 2020.
2
Galectin-1 Facilitates Macrophage Reprogramming and Resolution of Inflammation Through IFN-β.半乳糖凝集素-1通过IFN-β促进巨噬细胞重编程和炎症消退。
Front Pharmacol. 2020 Jun 17;11:901. doi: 10.3389/fphar.2020.00901. eCollection 2020.
3
A potential role for Galectin-3 inhibitors in the treatment of COVID-19.半乳糖凝集素-3抑制剂在治疗新型冠状病毒肺炎中的潜在作用。
血清半乳糖凝集素-1 浓度升高与危重症患者的死亡率和急性肾损伤风险增加相关。
PLoS One. 2021 Sep 24;16(9):e0257558. doi: 10.1371/journal.pone.0257558. eCollection 2021.
PeerJ. 2020 Jun 15;8:e9392. doi: 10.7717/peerj.9392. eCollection 2020.
4
Oligosaccharide-dependent anti-inflammatory role of galectin-1 for macrophages in ulcerative colitis.半乳糖凝集素-1 对溃疡性结肠炎中巨噬细胞的寡糖依赖性抗炎作用。
J Gastroenterol Hepatol. 2020 Dec;35(12):2158-2169. doi: 10.1111/jgh.15097. Epub 2020 Jul 6.
5
Galectin-3 Identifies a Subset of Macrophages With a Potential Beneficial Role in Atherosclerosis.半乳糖凝集素-3 鉴定出动脉粥样硬化中具有潜在有益作用的巨噬细胞亚群。
Arterioscler Thromb Vasc Biol. 2020 Jun;40(6):1491-1509. doi: 10.1161/ATVBAHA.120.314252. Epub 2020 Apr 16.
6
Seronegative Arthritis and Whipple Disease: Risk of Misdiagnosis in the Era of Biologic Agents.血清阴性关节炎与惠普尔病:生物制剂时代的误诊风险
Case Rep Rheumatol. 2019 Oct 13;2019:3410468. doi: 10.1155/2019/3410468. eCollection 2019.
7
The Diverse Functional Roles of Elongation Factor Tu (EF-Tu) in Microbial Pathogenesis.延伸因子Tu(EF-Tu)在微生物致病机制中的多种功能作用
Front Microbiol. 2019 Oct 24;10:2351. doi: 10.3389/fmicb.2019.02351. eCollection 2019.
8
Galectin-1, -4, and -7 Were Associated with High Activity of Disease in Patients with Rheumatoid Arthritis.半乳糖凝集素-1、-4和-7与类风湿关节炎患者的高疾病活动度相关。
Autoimmune Dis. 2019 Jul 22;2019:3081621. doi: 10.1155/2019/3081621. eCollection 2019.
9
Fatal Whipple's disease with severe mental manifestations on relapse - case report and brief advances update.复发时伴有严重精神症状的致命性惠普尔病——病例报告及简要进展更新
Rom J Morphol Embryol. 2019;60(1):319-323.
10
Galectin-1 as an Emerging Mediator of Cardiovascular Inflammation: Mechanisms and Therapeutic Opportunities.半乳糖凝集素-1 作为心血管炎症的一种新的介质:机制和治疗机会。
Mediators Inflamm. 2018 Nov 5;2018:8696543. doi: 10.1155/2018/8696543. eCollection 2018.