Department of Pulmonary and Critical Care Medicine, Hainan General Hospital, Hainan Affiliated Hospital of Hainan Medical University, Haikou, Hainan 570311, China.
Department of Pulmonary and Critical Care Medicine, Hainan General Hospital, Hainan Affiliated Hospital of Hainan Medical University, Haikou, Hainan, China.
Ther Adv Respir Dis. 2021 Jan-Dec;15:1753466620986390. doi: 10.1177/1753466620986390.
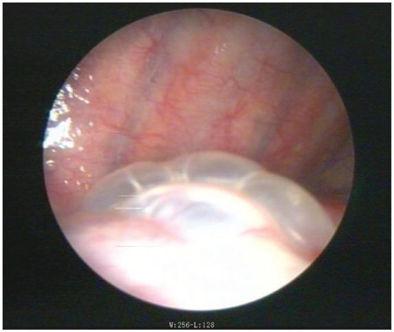
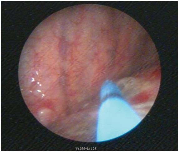
To evaluate the efficacy of medical thoracoscopy-assisted argon plasma coagulation in association with autologous blood pleurodesis in spontaneous pneumothorax.
Three male patients with spontaneous pneumothorax were treated; medical thoracoscopy-assisted argon plasma coagulation combined with autologous blood pleurodesis was conducted for all patients whose duration of the air leak exceeded 7 days. We systematically reviewed all of the relevant literature to analyze and sum up the treatments of secondary spontaneous pneumothorax.
The air leaks were all sealed and no recurrence of pneumothorax was reported. No complications of fever, bleeding, or signs of infection were observed during the process.
The authors believe that the combination of medical thoracoscopy-assisted argon plasma coagulation and autologous blood pleurodesis is safe and effective. However, due to the number of patients included in this uncontrolled case study, more cases will be collected in the future.
评估内科胸腔镜辅助下氩等离子体凝固联合自体血胸腔黏连术治疗自发性气胸的疗效。
3 例男性自发性气胸患者接受了治疗;所有漏气时间超过 7 天的患者均接受了内科胸腔镜辅助下氩等离子体凝固联合自体血胸腔黏连术。我们系统地回顾了所有相关文献,分析并总结了复发性自发性气胸的治疗方法。
所有患者的漏气均得到了封堵,且无气胸复发。在治疗过程中,未观察到发热、出血或感染迹象等并发症。
作者认为,内科胸腔镜辅助下氩等离子体凝固联合自体血胸腔黏连术是一种安全有效的治疗方法。然而,由于本非对照病例研究中纳入的患者数量较少,未来将收集更多的病例。