• 文献检索
  • 文档翻译
  • 深度研究
  • 学术资讯
  • Suppr Zotero 插件Zotero 插件
  • 邀请有礼
  • 套餐&价格
  • 历史记录
应用&插件
Suppr Zotero 插件Zotero 插件浏览器插件Mac 客户端Windows 客户端微信小程序
定价
高级版会员购买积分包购买API积分包
服务
文献检索文档翻译深度研究API 文档MCP 服务
关于我们
关于 Suppr公司介绍联系我们用户协议隐私条款
关注我们

Suppr 超能文献

核心技术专利:CN118964589B侵权必究
粤ICP备2023148730 号-1Suppr @ 2026

文献检索

告别复杂PubMed语法,用中文像聊天一样搜索,搜遍4000万医学文献。AI智能推荐,让科研检索更轻松。

立即免费搜索

文件翻译

保留排版,准确专业,支持PDF/Word/PPT等文件格式,支持 12+语言互译。

免费翻译文档

深度研究

AI帮你快速写综述,25分钟生成高质量综述,智能提取关键信息,辅助科研写作。

立即免费体验

蛇床子素通过抑制血管平滑肌细胞增殖以及下调细胞周期蛋白D1/细胞周期蛋白依赖性激酶4(Cyclin D1/CDK4)和细胞周期蛋白E1/细胞周期蛋白依赖性激酶2(Cyclin E1/CDK2)的表达来减轻球囊诱导的动脉壁损伤中的内膜增生。

Osthole Alleviates Neointimal Hyperplasia in Balloon-Induced Arterial Wall Injury by Suppressing Vascular Smooth Muscle Cell Proliferation and Downregulating Cyclin D1/CDK4 and Cyclin E1/CDK2 Expression.

作者信息

Li Yi-Qi, Li Ye-Li, Li Xiao-Tong, Lv Jun-Yuan, Gao Yang, Li Wen-Na, Gong Qi-Hai, Yang Dan-Li

机构信息

Joint International Research Laboratory of Ethnomedicine of Ministry of Education, Key Laboratory of Basic Pharmacology of the Ministry of Education, The Key Laboratory of Basic Pharmacology of Guizhou Province, Department of Pharmacology, School of Pharmacy, Zunyi Medical University, Zunyi, China.

Department of Pharmacology, Zhuhai Campus of Zunyi Medical University, Zhuhai, China.

出版信息

Front Physiol. 2021 Jan 26;11:514494. doi: 10.3389/fphys.2020.514494. eCollection 2020.

DOI:10.3389/fphys.2020.514494
PMID:33574763
原文链接:https://pmc.ncbi.nlm.nih.gov/articles/PMC7870719/
Abstract

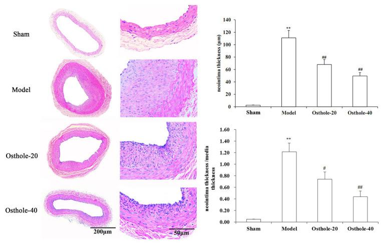
Percutaneous coronary intervention (PCI) is the most widely used therapy for treating ischemic heart disease. However, intimal hyperplasia and restenosis usually occur within months after angioplasty. Modern pharmacological researchers have proven that osthole, the major active coumarin of (L.) Cusson, exerts potent antiproliferative effects in lung cancer cells, the human laryngeal cancer cell line RK33 and TE671 medulloblastoma cells, and its mechanism of action is related to cell cycle arrest. The goal of the present study was to observe the effect of osthole on vascular smooth muscle cell (VSMC) proliferation using platelet-derived growth factor-BB (PDGF-BB)-stimulated VSMCs isolated from rats and vascular balloon injury as models to further elucidate the molecular mechanisms underlying this activity. We detected the relative number of VSMCs by the MTT assay and EdU staining and examined cell cycle progression by flow cytometry. To more deeply probe the mechanisms, the protein expression levels of PCNA, the cyclin D1/CDK4 complex and the cyclin E1/CDK2 complex in balloon-treated rat carotid arteries and the mRNA and protein expression levels of the cyclin D1/CDK4 and cyclin E1/CDK2 complexes in VSMCs were detected by real-time RT-PCR and western blotting. The data showed that osthole significantly inhibited the proliferation of VSMCs induced by PDGF-BB. Furthermore, osthole caused apparent VSMC cycle arrest early in G0/G1 phase and decreased the expression of cyclin D1/CDK4 and cyclin E1/CDK2. Our results demonstrate that osthole can significantly inhibit PDGF-BB-induced VSMC proliferation and that its regulatory effects on cell cycle progression and proliferation may be related to the downregulation of cyclin D1/CDK4 and cyclin E1/CDK2 expression as well as the prevention of cell cycle progression from G0/G1 phase to S phase. The abovementioned mechanism may be responsible for the alleviation of neointimal hyperplasia in balloon-induced arterial wall injury by osthole.

摘要

经皮冠状动脉介入治疗(PCI)是治疗缺血性心脏病应用最广泛的疗法。然而,内膜增生和再狭窄通常会在血管成形术后数月内发生。现代药理研究人员已证实,蛇床子素(蛇床的主要活性香豆素)对肺癌细胞、人喉癌细胞系RK33和TE671髓母细胞瘤细胞具有强大的抗增殖作用,其作用机制与细胞周期阻滞有关。本研究的目的是使用从大鼠分离的血小板衍生生长因子-BB(PDGF-BB)刺激的血管平滑肌细胞(VSMC)和血管球囊损伤作为模型,观察蛇床子素对VSMC增殖的影响,以进一步阐明其作用的分子机制。我们通过MTT法和EdU染色检测VSMC的相对数量,并通过流式细胞术检测细胞周期进程。为了更深入地探究机制,通过实时RT-PCR和蛋白质印迹法检测球囊处理的大鼠颈动脉中PCNA、细胞周期蛋白D1/细胞周期蛋白依赖性激酶4(CDK4)复合物和细胞周期蛋白E1/细胞周期蛋白依赖性激酶2(CDK2)复合物的蛋白质表达水平,以及VSMC中细胞周期蛋白D1/CDK4和细胞周期蛋白E1/CDK2复合物的mRNA和蛋白质表达水平。数据显示,蛇床子素显著抑制PDGF-BB诱导的VSMC增殖。此外,蛇床子素使VSMC在G0/G1期早期明显停滞,并降低细胞周期蛋白D1/CDK4和细胞周期蛋白E1/CDK2的表达。我们的结果表明,蛇床子素可显著抑制PDGF-BB诱导的VSMC增殖,其对细胞周期进程和增殖的调节作用可能与细胞周期蛋白D1/CDK4和细胞周期蛋白E1/CDK2表达的下调以及阻止细胞周期从G0/G1期进入S期有关。上述机制可能是蛇床子素减轻球囊诱导的动脉壁损伤中新生内膜增生的原因。

https://cdn.ncbi.nlm.nih.gov/pmc/blobs/7fa0/7870719/d14700231670/fphys-11-514494-g007.jpg
https://cdn.ncbi.nlm.nih.gov/pmc/blobs/7fa0/7870719/c9fda4b89762/fphys-11-514494-g001.jpg
https://cdn.ncbi.nlm.nih.gov/pmc/blobs/7fa0/7870719/9c419efa527f/fphys-11-514494-g002.jpg
https://cdn.ncbi.nlm.nih.gov/pmc/blobs/7fa0/7870719/b5061662a608/fphys-11-514494-g003.jpg
https://cdn.ncbi.nlm.nih.gov/pmc/blobs/7fa0/7870719/ee9fbb0eb2e4/fphys-11-514494-g004.jpg
https://cdn.ncbi.nlm.nih.gov/pmc/blobs/7fa0/7870719/35294ff5f8ed/fphys-11-514494-g005.jpg
https://cdn.ncbi.nlm.nih.gov/pmc/blobs/7fa0/7870719/14da3e63d0d0/fphys-11-514494-g006.jpg
https://cdn.ncbi.nlm.nih.gov/pmc/blobs/7fa0/7870719/d14700231670/fphys-11-514494-g007.jpg
https://cdn.ncbi.nlm.nih.gov/pmc/blobs/7fa0/7870719/c9fda4b89762/fphys-11-514494-g001.jpg
https://cdn.ncbi.nlm.nih.gov/pmc/blobs/7fa0/7870719/9c419efa527f/fphys-11-514494-g002.jpg
https://cdn.ncbi.nlm.nih.gov/pmc/blobs/7fa0/7870719/b5061662a608/fphys-11-514494-g003.jpg
https://cdn.ncbi.nlm.nih.gov/pmc/blobs/7fa0/7870719/ee9fbb0eb2e4/fphys-11-514494-g004.jpg
https://cdn.ncbi.nlm.nih.gov/pmc/blobs/7fa0/7870719/35294ff5f8ed/fphys-11-514494-g005.jpg
https://cdn.ncbi.nlm.nih.gov/pmc/blobs/7fa0/7870719/14da3e63d0d0/fphys-11-514494-g006.jpg
https://cdn.ncbi.nlm.nih.gov/pmc/blobs/7fa0/7870719/d14700231670/fphys-11-514494-g007.jpg

相似文献

1
Osthole Alleviates Neointimal Hyperplasia in Balloon-Induced Arterial Wall Injury by Suppressing Vascular Smooth Muscle Cell Proliferation and Downregulating Cyclin D1/CDK4 and Cyclin E1/CDK2 Expression.蛇床子素通过抑制血管平滑肌细胞增殖以及下调细胞周期蛋白D1/细胞周期蛋白依赖性激酶4(Cyclin D1/CDK4)和细胞周期蛋白E1/细胞周期蛋白依赖性激酶2(Cyclin E1/CDK2)的表达来减轻球囊诱导的动脉壁损伤中的内膜增生。
Front Physiol. 2021 Jan 26;11:514494. doi: 10.3389/fphys.2020.514494. eCollection 2020.
2
Osthole inhibits cell proliferation by regulating the TGF-β1/Smad/p38 signaling pathways in pulmonary arterial smooth muscle cells.蛇床子素通过调节肺动脉平滑肌细胞中的 TGF-β1/Smad/p38 信号通路抑制细胞增殖。
Biomed Pharmacother. 2020 Jan;121:109640. doi: 10.1016/j.biopha.2019.109640. Epub 2019 Nov 25.
3
Gambogic acid induces G0/G1 cell cycle arrest and cell migration inhibition via suppressing PDGF receptor β tyrosine phosphorylation and Rac1 activity in rat aortic smooth muscle cells.藤黄酸通过抑制大鼠主动脉平滑肌细胞 PDGF 受体 β 酪氨酸磷酸化和 Rac1 活性诱导 G0/G1 细胞周期停滞和细胞迁移抑制。
J Atheroscler Thromb. 2010 Sep 30;17(9):901-13. doi: 10.5551/jat.3491. Epub 2010 Jun 11.
4
Compound K, an intestinal metabolite of ginsenosides, inhibits PDGF-BB-induced VSMC proliferation and migration through G1 arrest and attenuates neointimal hyperplasia after arterial injury.化合物 K 是人参皂苷的肠道代谢物,可通过 G1 期阻滞抑制 PDGF-BB 诱导的 VSMC 增殖和迁移,并减轻动脉损伤后的内膜增生。
Atherosclerosis. 2013 May;228(1):53-60. doi: 10.1016/j.atherosclerosis.2013.02.002. Epub 2013 Feb 18.
5
[Effect of astaxanthin on vascular smooth muscle cells proliferation induced by platelet derived growth factor-BB].虾青素对血小板衍生生长因子-BB诱导的血管平滑肌细胞增殖的影响
Zhonghua Yi Xue Za Zhi. 2016 Jul 5;96(25):2031-5. doi: 10.3760/cma.j.issn.0376-2491.2016.25.015.
6
Baicalin inhibits PDGF-BB-stimulated vascular smooth muscle cell proliferation through suppressing PDGFRβ-ERK signaling and increase in p27 accumulation and prevents injury-induced neointimal hyperplasia.黄芩苷通过抑制 PDGFRβ-ERK 信号通路和增加 p27 积累来抑制 PDGF-BB 刺激的血管平滑肌细胞增殖,并预防损伤诱导的新生内膜增生。
Cell Res. 2010 Nov;20(11):1252-62. doi: 10.1038/cr.2010.111. Epub 2010 Jul 27.
7
Tylophorine reduces protein biosynthesis and rapidly decreases cyclin D1, inhibiting vascular smooth muscle cell proliferation in vitro and in organ culture.千里光菲灵碱减少蛋白质生物合成并迅速降低细胞周期蛋白 D1,从而抑制血管平滑肌细胞在体外和器官培养中的增殖。
Phytomedicine. 2019 Jul;60:152938. doi: 10.1016/j.phymed.2019.152938. Epub 2019 Apr 23.
8
Osthole inhibits intimal hyperplasia by regulating the NF-κB and TGF-β1/Smad2 signalling pathways in the rat carotid artery after balloon injury.蛇床子素通过调控大鼠颈总动脉球囊损伤后 NF-κB 和 TGF-β1/Smad2 信号通路抑制内膜增生。
Eur J Pharmacol. 2017 Sep 15;811:232-239. doi: 10.1016/j.ejphar.2017.06.025. Epub 2017 Jun 23.
9
2,3,4',5-Tetrahydroxystilbene-2-O-β-d-glucoside inhibits platelet-derived growth factor-induced proliferation of vascular smooth muscle cells by regulating the cell cycle.2,3,4',5-四羟基二苯乙烯-2-O-β-D-葡萄糖苷通过调节细胞周期抑制血小板衍生生长因子诱导的血管平滑肌细胞增殖。
Clin Exp Pharmacol Physiol. 2011 May;38(5):307-13. doi: 10.1111/j.1440-1681.2011.05502.x.
10
RhoA/ROCK signaling regulates smooth muscle phenotypic modulation and vascular remodeling via the JNK pathway and vimentin cytoskeleton.RhoA/ROCK 信号通路通过 JNK 通路和波形蛋白细胞骨架调节平滑肌表型调节和血管重塑。
Pharmacol Res. 2018 Jul;133:201-212. doi: 10.1016/j.phrs.2018.05.011. Epub 2018 May 20.

引用本文的文献

1
Yohimbine Inhibits PDGF-Induced Vascular Smooth Muscle Cell Proliferation and Migration via FOXO3a Factor.育亨宾通过 FOXO3a 因子抑制 PDGF 诱导的血管平滑肌细胞增殖和迁移。
Int J Mol Sci. 2024 Jun 24;25(13):6899. doi: 10.3390/ijms25136899.
2
Yohimbine, an α2-Adrenoceptor Antagonist, Suppresses PDGF-BB-Stimulated Vascular Smooth Muscle Cell Proliferation by Downregulating the PLCγ1 Signaling Pathway.育亨宾,一种 α2-肾上腺素受体拮抗剂,通过下调 PLCγ1 信号通路抑制 PDGF-BB 刺激的血管平滑肌细胞增殖。
Int J Mol Sci. 2022 Jul 21;23(14):8049. doi: 10.3390/ijms23148049.
3
Icariside II Restores Vascular Smooth Muscle Cell Contractile Phenotype by Enhancing the Focal Adhesion Signaling Pathway in the Rat Vascular Remodeling Model.

本文引用的文献

1
Nucleolin promotes Ang II-induced phenotypic transformation of vascular smooth muscle cells by regulating EGF and PDGF-BB.核仁素通过调节 EGF 和 PDGF-BB 促进血管平滑肌细胞 Ang II 诱导的表型转化。
J Cell Mol Med. 2020 Jan;24(2):1917-1933. doi: 10.1111/jcmm.14888. Epub 2020 Jan 1.
2
Osthole inhibits cell proliferation by regulating the TGF-β1/Smad/p38 signaling pathways in pulmonary arterial smooth muscle cells.蛇床子素通过调节肺动脉平滑肌细胞中的 TGF-β1/Smad/p38 信号通路抑制细胞增殖。
Biomed Pharmacother. 2020 Jan;121:109640. doi: 10.1016/j.biopha.2019.109640. Epub 2019 Nov 25.
3
Atorvastatin Calcium Inhibits PDGF-ββ-Induced Proliferation and Migration of VSMCs Through the G0/G1 Cell Cycle Arrest and Suppression of Activated PDGFRβ-PI3K-Akt Signaling Cascade.
淫羊藿苷II通过增强大鼠血管重塑模型中的粘着斑信号通路来恢复血管平滑肌细胞的收缩表型。
Front Pharmacol. 2022 Jun 13;13:897615. doi: 10.3389/fphar.2022.897615. eCollection 2022.
阿托伐他汀钙通过G0/G1期细胞周期阻滞和抑制活化的血小板衍生生长因子受体β-磷脂酰肌醇3-激酶-蛋白激酶B信号级联反应,抑制血小板衍生生长因子-ββ诱导的血管平滑肌细胞增殖和迁移。
Cell Physiol Biochem. 2017;44(1):215-228. doi: 10.1159/000484648. Epub 2017 Nov 9.
4
Osthole inhibits intimal hyperplasia by regulating the NF-κB and TGF-β1/Smad2 signalling pathways in the rat carotid artery after balloon injury.蛇床子素通过调控大鼠颈总动脉球囊损伤后 NF-κB 和 TGF-β1/Smad2 信号通路抑制内膜增生。
Eur J Pharmacol. 2017 Sep 15;811:232-239. doi: 10.1016/j.ejphar.2017.06.025. Epub 2017 Jun 23.
5
The roles and regulation of the actin cytoskeleton, intermediate filaments and microtubules in smooth muscle cell migration.肌动蛋白细胞骨架、中间丝和微管在平滑肌细胞迁移中的作用及调控
Respir Res. 2017 Apr 8;18(1):54. doi: 10.1186/s12931-017-0544-7.
6
Evodiamine inhibits PDGF‑BB‑induced proliferation of rat vascular smooth muscle cells through the suppression of cell cycle progression and oxidative stress.吴茱萸碱通过抑制细胞周期进程和氧化应激来抑制血小板衍生生长因子BB诱导的大鼠血管平滑肌细胞增殖。
Mol Med Rep. 2016 Nov;14(5):4551-4558. doi: 10.3892/mmr.2016.5798. Epub 2016 Oct 5.
7
ClC-3 Chloride Channel Proteins Regulate the Cell Cycle by Up-regulating cyclin D1-CDK4/6 through Suppressing p21/p27 Expression in Nasopharyngeal Carcinoma Cells.氯离子通道蛋白ClC-3通过抑制鼻咽癌细胞中p21/p27的表达上调细胞周期蛋白D1-CDK4/6来调控细胞周期。
Sci Rep. 2016 Jul 25;6:30276. doi: 10.1038/srep30276.
8
A crosstalk between TGF-β/Smad3 and Wnt/β-catenin pathways promotes vascular smooth muscle cell proliferation.转化生长因子-β/ Smad3与Wnt/β-连环蛋白信号通路之间的相互作用促进血管平滑肌细胞增殖。
Cell Signal. 2016 May;28(5):498-505. doi: 10.1016/j.cellsig.2016.02.011. Epub 2016 Feb 19.
9
Roles of Cx43 and AKAP95 in ovarian cancer tissues in G1/S phase.Cx43和AKAP95在G1/S期卵巢癌组织中的作用。
Int J Clin Exp Pathol. 2015 Nov 1;8(11):14315-24. eCollection 2015.
10
Osthole ameliorates acute myocardial infarction in rats by decreasing the expression of inflammatory-related cytokines, diminishing MMP-2 expression and activating p-ERK.蛇床子素通过降低炎症相关细胞因子的表达、减少基质金属蛋白酶-2(MMP-2)的表达并激活磷酸化细胞外信号调节激酶(p-ERK)来改善大鼠急性心肌梗死。
Int J Mol Med. 2016 Jan;37(1):207-16. doi: 10.3892/ijmm.2015.2402. Epub 2015 Nov 4.