Suppr超能文献

视神经周围炎及其与自身免疫性疾病的关联。

Optic Perineuritis and Its Association With Autoimmune Diseases.

作者信息

Li Hongyang, Zhou Hang, Sun Jiao, Wang Huihui, Wang Yanling, Wang Zhenchang, Li Jing

机构信息

Department of Ophthalmology, Beijing Friendship Hospital, Capital Medical University, Beijing, China.

Department of Rheumatology, Beijing Friendship Hospital, Capital Medical University, Beijing, China.

出版信息

Front Neurol. 2021 Jan 29;11:627077. doi: 10.3389/fneur.2020.627077. eCollection 2020.

Abstract

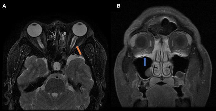
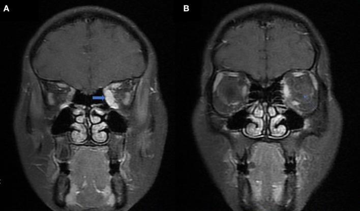
Optic perineuritis (OPN) is a special optic neuropathy that has a distinct etiology from neuromyelitis optica spectrum disorders (NMOSDs) or multiple sclerosis (MS)-related optic neuritis (ON). The mechanisms of how this inflammation developed and invaded the nerve sheath remain unknown. This study is aimed to analyze the etiology and different clinical characteristics of OPN in a Chinese patient population. Neuro-ophthalmological examination, orbit magnetic resonance imaging (MRI) and a series of blood samples were used in this retrospective observational cohort study to compare characteristics of OPN with idiopathic demyelination optic neuritis (IDON). Forty-four OPN cases (74 eyes) and 61 IDON cases (78 eyes) were analyzed. OPN cases included 33 cases (59 eyes) were associated with specific autoimmune diseases, 10 cases (13 eyes) were associated with infection diseases, 1 case was idiopathic disease. The causes of OPN with CTD were Graves' disease, Immunoglobulin G4-related disease (IgG-4 RD), granulomatosis with polyangiitis (GAP), systemic lupus erythematosus (SLE), Sarcoidosis, Rheumatoid arthritis, scleroderma, Behcet's disease, and gout. All patients received orbital MRI. Overall, 33 cases showed orbit fat infiltration. Specifically, nine cases with IgG-4 RD showed trigeminal nerve branch involvement, 12 cases with Graves' disease showed extraocular muscle belly enlargement, and 4 cases with GAP showed pterygopalatine fossa pseudotumor. Compared to IDON patients, OPN patients were older ( = 0.004) and more likely bilateral involvement 26 (78.79%) patients had bilateral involvement in OPN group vs. 17 (27.87%) in the IDON group ( < 0.001). Visual acuity scores using LogMAR testing was better in OPN patients compared to those with IDON, 0.55 ± 0.91 vs. 1.19 ± 1.24 ( < 0.001). Other ophthalmologic findings unique to the OPN group include 11 (33.33%) cases of ptosis, nine (27.27%) cases of diplopia, and 10 (30.30%) cases of exophthalmos, compared to zero cases of these conditions in the IDON group. Eight (13.11%) IDON patients also had multiple sclerosis (MS) and 7 (11.48%) patients had neuromyelitis which was significantly more than the zero patients in OPN group ( = 0.04). OPN had distinct etiologies and clinical characteristics from IDON and is more often associated with autoimmune diseases. Using OPN characteristics to diagnose autoimmune diseases should prove useful for clinicians when presented with patients that have multiorgan dysfunction that include ophthalmologic findings.

摘要

视神经周围炎(OPN)是一种特殊的视神经病变,其病因与视神经脊髓炎谱系障碍(NMOSD)或多发性硬化(MS)相关的视神经炎(ON)截然不同。这种炎症如何发展并侵犯神经鞘的机制尚不清楚。本研究旨在分析中国患者群体中OPN的病因及不同临床特征。在这项回顾性观察队列研究中,采用神经眼科检查、眼眶磁共振成像(MRI)和一系列血液样本,以比较OPN与特发性脱髓鞘性视神经炎(IDON)的特征。分析了44例OPN患者(74只眼)和61例IDON患者(78只眼)。OPN病例包括33例(59只眼)与特定自身免疫性疾病相关,10例(13只眼)与感染性疾病相关,1例为特发性疾病。与结缔组织病(CTD)相关的OPN病因包括格雷夫斯病、免疫球蛋白G4相关性疾病(IgG-4 RD)、肉芽肿性多血管炎(GAP)、系统性红斑狼疮(SLE)、结节病、类风湿关节炎、硬皮病、白塞病和痛风。所有患者均接受了眼眶MRI检查。总体而言,33例显示眼眶脂肪浸润。具体而言,9例IgG-4 RD患者显示三叉神经分支受累,12例格雷夫斯病患者显示眼外肌肌腹增大,4例GAP患者显示翼腭窝假瘤。与IDON患者相比,OPN患者年龄更大(P = 0.004),双侧受累的可能性更高,OPN组26例(78.79%)患者双侧受累,而IDON组为17例(27.87%)(P < 0.001)。使用LogMAR测试的视力评分在OPN患者中优于IDON患者,分别为0.55±0.91和1.19±1.24(P < 0.001)。OPN组特有的其他眼科表现包括11例(33.33%)上睑下垂、9例(27.27%)复视和10例(30.30%)眼球突出,而IDON组这些情况均为零例。8例(13.11%)IDON患者还患有多发性硬化(MS),7例(11.48%)患者患有视神经脊髓炎,这显著多于OPN组的零例患者(P = 0.04)。OPN与IDON有不同的病因和临床特征,且更常与自身免疫性疾病相关。当面对有多器官功能障碍并伴有眼科表现的患者时,利用OPN的特征来诊断自身免疫性疾病对临床医生应是有用的。

https://cdn.ncbi.nlm.nih.gov/pmc/blobs/e0e3/7880123/e4f2708b0f19/fneur-11-627077-g0001.jpg

文献AI研究员

20分钟写一篇综述,助力文献阅读效率提升50倍。

立即体验

用中文搜PubMed

大模型驱动的PubMed中文搜索引擎

马上搜索

文档翻译

学术文献翻译模型,支持多种主流文档格式。

立即体验