Suppr超能文献

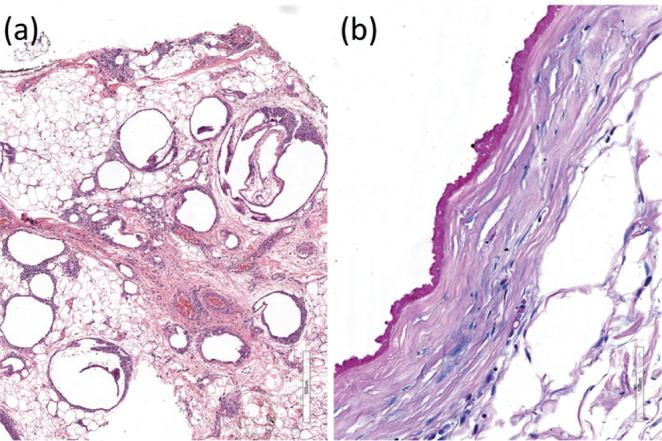
Nodules on the Thigh after Brown Recluse Spider Venom Bite: A Quiz.

作者信息

Dal Bello Giacomo, Schena Donatella, Colato Chiara, Girolomoni Giampiero

机构信息

Section of Dermatology, Department of Medicine, University of Verona, IT-37126 Verona, Italy. E-mail:

出版信息

Acta Derm Venereol. 2021 Feb 16;101(2):adv00400. doi: 10.2340/00015555-3767.

Abstract
摘要
https://cdn.ncbi.nlm.nih.gov/pmc/blobs/4d95/9366681/98116a740140/ActaDV-101-2-1048-g001.jpg

文献检索

告别复杂PubMed语法,用中文像聊天一样搜索,搜遍4000万医学文献。AI智能推荐,让科研检索更轻松。

立即免费搜索

文件翻译

保留排版,准确专业,支持PDF/Word/PPT等文件格式,支持 12+语言互译。

免费翻译文档

深度研究

AI帮你快速写综述,25分钟生成高质量综述,智能提取关键信息,辅助科研写作。

立即免费体验