Suppr超能文献

基于位置和脉络膜前动脉供血的运动相关区域脑动静脉畸形的分类。

Classification of brain arteriovenous malformations located in motor-related areas based on location and anterior choroidal artery feeding.

机构信息

Department of Neurosurgery, Beijing Tiantan Hospital, Capital Medical University, Beijing, China.

China National Clinical Research Center for Neurological Diseases, Beijing, China.

出版信息

Stroke Vasc Neurol. 2021 Sep;6(3):441-448. doi: 10.1136/svn-2020-000591. Epub 2021 Feb 16.

Abstract

OBJECTIVE

Surgical management of arteriovenous malformations (AVMs) involving motor cortex or fibre tracts (M-AVMs) is challenging. This study aimed to construct a classification system based on nidus locations and anterior choroidal artery (AChA) feeding to pre-surgically evaluate motor-related and seizure-related outcomes in patients undergoing resection of M-AVMs.

METHODS AND MATERIALS

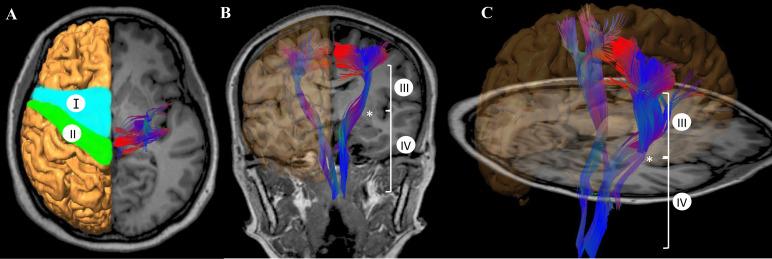
A total of 125 patients who underwent microsurgical resection of M-AVMs were retrospectively reviewed. Four subtypes were identified based on nidus location: (I) nidus involving the premotor area and/or supplementary motor areas; (II) nidus involving the precentral gyrus; (III) nidus involving the corticospinal tract (CST) and superior to the posterior limb of the internal capsule; (IV) nidus involving the CST at or inferior to the level of posterior limb of the internal capsule. In addition, we divided type IV into type IVa and type IVb according to the AChA feeding. Surgical-related motor deficit (MD) evaluations were performed 1 week (short-term) and 6 months (long-term) after surgery.

RESULTS

The type I patients exhibited the highest incidence (62.0%) of pre-surgical epilepsy among the four subtypes. Multivariate analysis showed that motor-related area subtypes (p=0.004) and diffuse nidus (p=0.014) were significantly associated with long-term MDs. Long-term MDs were significantly less frequent in type I than in the other types. Type IV patients acquired the highest proportion (four patients, 25.0%) of long-term poor outcomes (mRS >2). Type IVb patients showed a significantly higher incidence of post-surgical MDs than type IVa patients (p=0.041). The MDs of type III or IV patients required more recovery time. Of the 62 patients who had pre-surgical seizures, 90.3% (56/62) controlled their seizures well and reached Engel class I after surgery.

CONCLUSIONS

Combining the consideration of location and AChA feeding, the classification for M-AVMs is a useful approach for predicting post-surgical motor function and decision-making.

摘要

目的

涉及运动皮质或纤维束的动静脉畸形(AVM)的手术治疗极具挑战性。本研究旨在构建一种基于病灶位置和前脉络膜动脉(AChA)供血的分类系统,以在接受运动皮质区 AVM 切除术的患者术前评估与运动相关和与癫痫相关的结局。

方法和材料

回顾性分析了 125 例接受显微手术切除的 M-AVM 患者。根据病灶位置确定了 4 个亚型:(I)病灶累及运动前区和/或辅助运动区;(II)病灶累及中央前回;(III)病灶累及皮质脊髓束(CST)并位于内囊后肢上方;(IV)病灶累及 CST 并位于内囊后肢水平或下方。此外,我们根据 AChA 供血将 IV 型分为 IVa 型和 IVb 型。术后 1 周(短期)和 6 个月(长期)进行与手术相关的运动障碍(MD)评估。

结果

在 4 个亚型中,I 型患者术前癫痫发生率最高(62.0%)。多变量分析显示,与运动相关的区域亚型(p=0.004)和弥漫性病灶(p=0.014)与长期 MD 显著相关。与其他类型相比,I 型患者的长期 MD 明显较少。IV 型患者中(4 例,25.0%)长期预后不良(mRS >2)的比例最高。IVb 型患者术后 MD 的发生率明显高于 IVa 型患者(p=0.041)。III 型或 IV 型患者的 MD 需要更长的恢复时间。在 62 例有术前癫痫的患者中,90.3%(56/62)术后癫痫得到很好控制,达到 Engel Ⅰ级。

结论

综合考虑病灶位置和 AChA 供血,M-AVM 的分类是一种预测术后运动功能和决策的有用方法。

https://cdn.ncbi.nlm.nih.gov/pmc/blobs/77ed/8485233/c694176d6489/svn-2020-000591f01.jpg

文献检索

告别复杂PubMed语法,用中文像聊天一样搜索,搜遍4000万医学文献。AI智能推荐,让科研检索更轻松。

立即免费搜索

文件翻译

保留排版,准确专业,支持PDF/Word/PPT等文件格式,支持 12+语言互译。

免费翻译文档

深度研究

AI帮你快速写综述,25分钟生成高质量综述,智能提取关键信息,辅助科研写作。

立即免费体验