Suppr超能文献

血性三尖瓣狭窄:咯血罕见病因的病例报告

Bloody tricuspid stenosis: case report of an uncommon cause of haemoptysis.

作者信息

Trombara Filippo, Bergonti Marco, Toscano Olga, Dalla Cia Alessia, Assanelli Emilio M, Polvani Gianluca, Bartorelli Antonio L

机构信息

Centro Cardiologico Monzino, IRCCS, Via Parea 4, 20138 Milan, Italy.

University of Milan, Via Festa del Perdono 7, 20122 Milan, Italy.

出版信息

Eur Heart J Case Rep. 2021 Jan 5;5(2):ytaa537. doi: 10.1093/ehjcr/ytaa537. eCollection 2021 Feb.

Abstract

BACKGROUND

Haemoptysis is usually caused by pulmonary and infectious diseases. In few cases, it has a cardiac cause, such as pulmonary embolism or mitral valve stenosis. Haemoptysis may be an uncommon symptom of prosthetic valve dysfunction, being related to elevated right heart pressures.

CASE SUMMARY

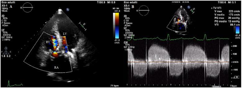
A 22-year-old woman from sub-Saharan Africa known for a triple valve replacement was hospitalized for dyspnoea and haemoptysis. A careful clinical evaluation excluded the most common causes of haemoptysis. Transthoracic echocardiogram showed normal biventricular function, normally functioning mechanical prosthetic aortic and mitral valves, and the biological tricuspid prosthesis showed an increased transvalvular gradient. Contrast chest computed tomography scan excluded pulmonary embolism and mechanical valve obstruction, but revealed marked systemic venous hypertension. Right heart catheterization confirmed increased right heart pressures and severe bioprosthetic tricuspid valve stenosis. The patient underwent a successful percutaneous tricuspid valve-in-valve replacement, with complete resolution of symptoms.

DISCUSSION

The increase in venous pressures due to bioprosthetic tricuspid stenosis caused veno-venous shunts: blood from the lower body was drained into the superior vena cava via the azygos vein. Increased pressure in the latter affected pressure in bronchial veins and arteries, leading to haemoptysis. Cardiac surgical reinterventions are associated with worse outcomes and higher mortality rates. Management of a degenerated prosthetic tricuspid valve is challenging and requires a multidisciplinary assessment. Transcatheter tricuspid valve replacement is becoming a feasible option in patients with prosthetic dysfunction. Based on evidence to date, tricuspid valve-in-valve replacement appears to be a safe, feasible, and effective alternative in selected young patients.

摘要

背景

咯血通常由肺部和感染性疾病引起。在少数情况下,咯血有心脏方面的病因,如肺栓塞或二尖瓣狭窄。咯血可能是人工瓣膜功能障碍的一种罕见症状,与右心压力升高有关。

病例摘要

一名来自撒哈拉以南非洲的22岁女性,因三尖瓣置换术而闻名,因呼吸困难和咯血住院。仔细的临床评估排除了咯血的最常见病因。经胸超声心动图显示双心室功能正常,机械人工主动脉瓣和二尖瓣功能正常,生物三尖瓣人工瓣膜显示跨瓣压差增加。胸部增强计算机断层扫描排除了肺栓塞和机械瓣膜梗阻,但显示有明显的体静脉高压。右心导管检查证实右心压力升高和严重的生物瓣三尖瓣狭窄。患者接受了成功的经皮三尖瓣瓣中瓣置换术,症状完全缓解。

讨论

生物瓣三尖瓣狭窄导致的静脉压力升高引起了静脉 - 静脉分流:来自下半身的血液通过奇静脉引流至上腔静脉。上腔静脉压力升高影响支气管静脉和动脉的压力,导致咯血。心脏外科再次干预与更差的预后和更高的死亡率相关。退化的人工三尖瓣的管理具有挑战性,需要多学科评估。经导管三尖瓣置换术正成为人工瓣膜功能障碍患者的一种可行选择。根据迄今为止的证据,三尖瓣瓣中瓣置换术在选定的年轻患者中似乎是一种安全、可行且有效的替代方法。

https://cdn.ncbi.nlm.nih.gov/pmc/blobs/2d7f/7873793/25ded91d6ec8/ytaa537f1.jpg

文献检索

告别复杂PubMed语法,用中文像聊天一样搜索,搜遍4000万医学文献。AI智能推荐,让科研检索更轻松。

立即免费搜索

文件翻译

保留排版,准确专业,支持PDF/Word/PPT等文件格式,支持 12+语言互译。

免费翻译文档

深度研究

AI帮你快速写综述,25分钟生成高质量综述,智能提取关键信息,辅助科研写作。

立即免费体验