Suppr超能文献

G蛋白偶联受体激酶6启动子的特性揭示了一个功能性的CREB结合位点。

Characterization of the G protein-coupled receptor kinase 6 promoter reveals a functional CREB binding site.

作者信息

Stegen Maike, Engler Andrea, Ochsenfarth Crista, Manthey Iris, Peters Jürgen, Siffert Winfried, Frey Ulrich H

机构信息

Department of Anaesthesiology and Intensive Care Medicine, Essen University Hospital and University of Duisburg-Essen, Essen, Germany.

Department of Anaesthesiology, Operative Intensive Care Medicine, Pain and Palliative Medicine, Marien Hospital Herne, Ruhr-University Bochum, Bochum, Germany.

出版信息

PLoS One. 2021 Feb 18;16(2):e0247087. doi: 10.1371/journal.pone.0247087. eCollection 2021.

Abstract

BACKGROUND

G protein-coupled receptor kinase 6 (GRK6) is part of the G protein-coupled receptor kinase family, whose members act as key regulators of seven-transmembrane receptor signalling. GRK6 seems to play a role in regulation of inflammatory processes, but mechanisms of transcriptional regulation of GRK6 expression in inflammatory cell lines have not been characterized. Protein kinase C (PKC) signalling is also involved in inflammatory regulation and an impact of PKC activation on GRK6 protein expression was described previously. Thus, the aim of this study was to 1) characterize the GRK6 promoter, and 2) investigate a potential influence of PKC on GRK6 expression.

METHODS

Five deletion constructs of the GRK6 promoter were cloned. After transient transfection into a human T cell line, promoter activity was assessed using luciferase reporter gene assays. Putative transcription factor binding sites were identified, mutated, and binding was investigated using electrophoretic mobility shift assays (EMSA). Following stimulation with a PKC activator, GRK6 expression on mRNA and protein levels was assessed by reverse transcriptase qPCR and Western blots.

RESULTS

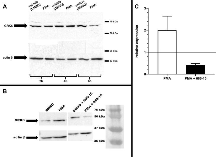
Investigation of the GRK6 promoter revealed a putative cAMP responsive element (CRE), whose mutation led to decreased promoter activity (p = 0.0006). Functionality of the CRE binding protein (CREB) binding site was verified in EMSA blots. Stimulation with a PKC activator resulted in decreased GRK6 promoter activity (p = 0.0027), mRNA (p = 0.04) and protein expression.

CONCLUSION

We characterized the human GRK6 promoter and identified promoter activity to be influenced by a CREB binding site. PKC might be one determinant contributing to altered GRK6 expression.

摘要

背景

G蛋白偶联受体激酶6(GRK6)是G蛋白偶联受体激酶家族的一员,该家族成员是七跨膜受体信号传导的关键调节因子。GRK6似乎在炎症过程的调节中发挥作用,但炎症细胞系中GRK6表达的转录调控机制尚未明确。蛋白激酶C(PKC)信号传导也参与炎症调节,先前已有研究描述PKC激活对GRK6蛋白表达的影响。因此,本研究的目的是:1)鉴定GRK6启动子;2)研究PKC对GRK6表达的潜在影响。

方法

克隆GRK6启动子的五个缺失构建体。将其瞬时转染到人T细胞系后,使用荧光素酶报告基因测定法评估启动子活性。鉴定推定的转录因子结合位点,进行突变,并使用电泳迁移率变动分析(EMSA)研究结合情况。用PKC激活剂刺激后,通过逆转录定量PCR和蛋白质印迹法评估GRK6在mRNA和蛋白质水平上的表达。

结果

对GRK6启动子的研究揭示了一个推定的环磷酸腺苷反应元件(CRE),其突变导致启动子活性降低(p = 0.0006)。在EMSA印迹中验证了CRE结合蛋白(CREB)结合位点的功能。用PKC激活剂刺激导致GRK6启动子活性降低(p = 0.0027)、mRNA(p = 0.04)和蛋白质表达降低。

结论

我们鉴定了人GRK6启动子,并确定启动子活性受CREB结合位点的影响。PKC可能是导致GRK6表达改变的一个决定因素。

https://cdn.ncbi.nlm.nih.gov/pmc/blobs/f15e/7891717/01558b76e81e/pone.0247087.g001.jpg

文献AI研究员

20分钟写一篇综述,助力文献阅读效率提升50倍。

立即体验

用中文搜PubMed

大模型驱动的PubMed中文搜索引擎

马上搜索

文档翻译

学术文献翻译模型,支持多种主流文档格式。

立即体验