Suppr超能文献

MRI 检测镰状细胞病患者的脑部异常。

MRI detection of brain abnormality in sickle cell disease.

机构信息

Developmental Neurosciences Section, UCL Great Ormond Street Institute of Child Health, London, UK.

出版信息

Expert Rev Hematol. 2021 May;14(5):473-491. doi: 10.1080/17474086.2021.1893687. Epub 2021 Jun 7.

Abstract

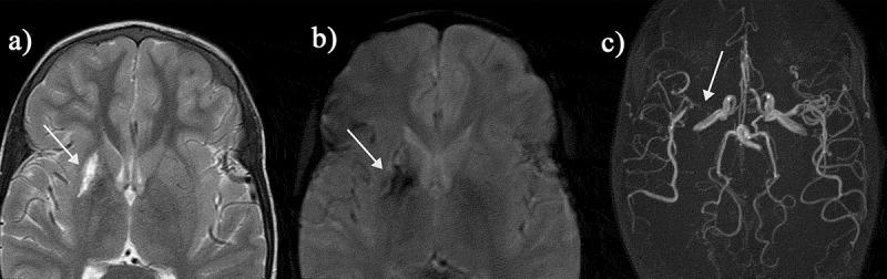
: Over the past decades, neuroimaging studies have clarified that a significant proportion of patients with sickle cell disease (SCD) have functionally significant brain abnormalities. Clinically, structural magnetic resonance imaging (MRI) sequences (T2, FLAIR, diffusion-weighted imaging) have been used by radiologists to diagnose chronic and acute cerebral infarction (both overt and clinically silent), while magnetic resonance angiography and venography have been used to diagnose arteriopathy and venous thrombosis. In research settings, imaging scientists are increasingly applying quantitative techniques to shine further light on underlying mechanisms.: From a June 2020 PubMed search of 'magnetic' or 'MRI' and 'sickle' over the previous 5 years, we selected manuscripts on T1-based morphometric analysis, diffusion tensor imaging, arterial spin labeling, T2-oximetry, quantitative susceptibility, and connectivity.: Quantitative MRI techniques are identifying structural and hemodynamic biomarkers associated with risk of neurological and neurocognitive complications. A growing body of evidence suggests that these biomarkers are sensitive to change with treatments, such as blood transfusion and hydroxyurea, indicating that they may hold promise as endpoints in future randomized clinical trials of novel approaches including hemoglobin F upregulation, reduction of polymerization, and gene therapy. With further validation, such techniques may eventually also improve neurological and neurocognitive risk stratification in this vulnerable population.

摘要

在过去的几十年中,神经影像学研究已经阐明,相当一部分镰状细胞病(SCD)患者存在功能上显著的大脑异常。临床上,放射科医生使用结构磁共振成像(MRI)序列(T2、FLAIR、弥散加权成像)来诊断慢性和急性脑梗死(显性和临床无症状),而磁共振血管造影和静脉造影则用于诊断血管病变和静脉血栓形成。在研究环境中,成像科学家越来越多地应用定量技术来进一步揭示潜在的机制。

从过去 5 年中在 PubMed 上以“magnetic”或“MRI”和“sickle”进行的 6 月 20 日搜索中,我们选择了关于 T1 基于形态计量分析、扩散张量成像、动脉自旋标记、T2 血氧定量法、定量磁化率和连通性的手稿。

定量 MRI 技术正在识别与神经和认知并发症风险相关的结构和血流动力学生物标志物。越来越多的证据表明,这些生物标志物对输血和羟基脲等治疗的变化敏感,这表明它们可能作为新型治疗方法(包括血红蛋白 F 上调、聚合减少和基因治疗)的未来随机临床试验的终点具有一定的潜力。随着进一步验证,这些技术最终可能也会改善该脆弱人群的神经和认知风险分层。

https://cdn.ncbi.nlm.nih.gov/pmc/blobs/6178/8315209/f9f661e2aad0/IERR_A_1893687_F0001_OC.jpg

文献AI研究员

20分钟写一篇综述,助力文献阅读效率提升50倍。

立即体验

用中文搜PubMed

大模型驱动的PubMed中文搜索引擎

马上搜索

文档翻译

学术文献翻译模型,支持多种主流文档格式。

立即体验