Kassimi Mariam, Guerroum Hind, Amriss Omar, Habi Jihane, Moutaouakil Kaoutar, Chikhaoui Nabil, Mahi Mohamed
Department of Radiology, Faculty of Medicine, Mohammed VI University of Health Sciences/Cheikh Khalifa International University Hospital, Casablanca, Morocco.
20 Aout Radiology Department of the Ibn Rochd of Casablanca University, Casablanca, Morocco.
BJR Case Rep. 2020 Oct 15;7(1):20200081. doi: 10.1259/bjrcr.20200081. eCollection 2021 Feb 1.
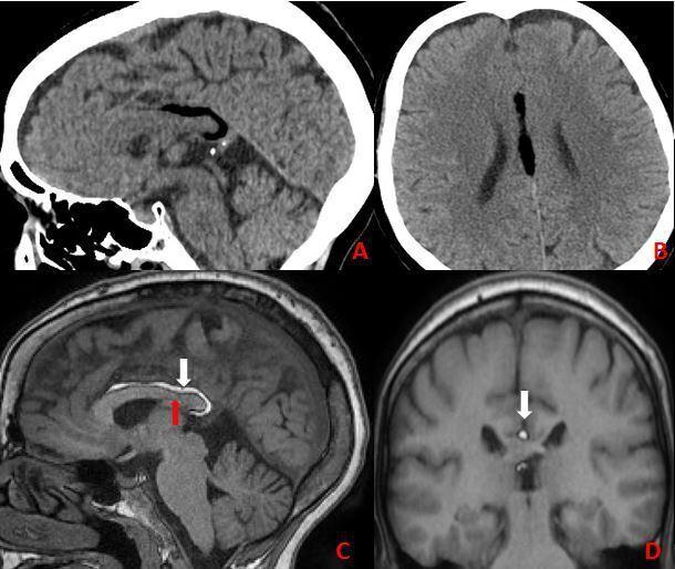
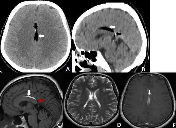
P lipomas are the most habitual location for an intracranial lipoma. They are fat-containing lesions arising from the interhemispheric fissure intimately related to the corpus callosum, which is often abnormal. They originate from aberrant differentiation of the persistent primitive meninx. Most Pericallosal lipomas are asymptomatic and come into clinical attention during neuroradiological investigations for other conditions. MRI is the modality of choice to characterize not only the extent of the lipoma but also the frequently associated agenesis/dysgenesis of the corpus callosum. Pericallosal lipomas can be divided into two groups: The Tubulonodular type and The curvilinear type. Curvilinear lipomas are less common than Tubulonodular. We report the clinical and radiological findings of curvilinear Pericallosal lipoma in two patients with corpus callosum abnormalities revealed incidentally during evaluation following trauma.
胼胝体脂肪瘤是颅内脂肪瘤最常见的部位。它们是起源于大脑半球间裂、与胼胝体密切相关的含脂肪病变,胼胝体常存在异常。它们起源于残留原始脑膜的异常分化。大多数胼胝体脂肪瘤无症状,在因其他疾病进行神经影像学检查时才引起临床关注。MRI不仅是确定脂肪瘤范围的首选检查方法,也是发现胼胝体常伴发的发育不全/发育异常的首选方法。胼胝体脂肪瘤可分为两组:管状结节型和曲线型。曲线型脂肪瘤比管状结节型少见。我们报告了两例在创伤后评估中偶然发现胼胝体异常的曲线型胼胝体脂肪瘤患者的临床和影像学表现。