Suppr超能文献

Gallbladder lymphoma detected by F-fluorodeoxyglucose positron emission tomography.

作者信息

So Alvin, Sheldon James, Kua Hock

机构信息

Monash Imaging, Monash Health, Victoria, 3168, Australia.

Monash Pathology, Monash Health, Clayton, Victoria, 3168, Australia.

出版信息

World J Nucl Med. 2020 Sep 14;19(4):428-431. doi: 10.4103/wjnm.WJNM_19_20. eCollection 2020 Oct-Dec.

Abstract

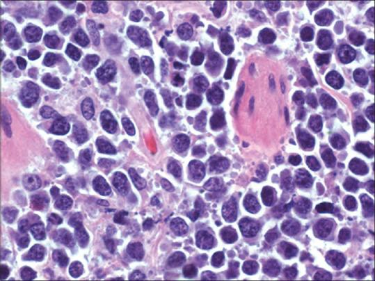
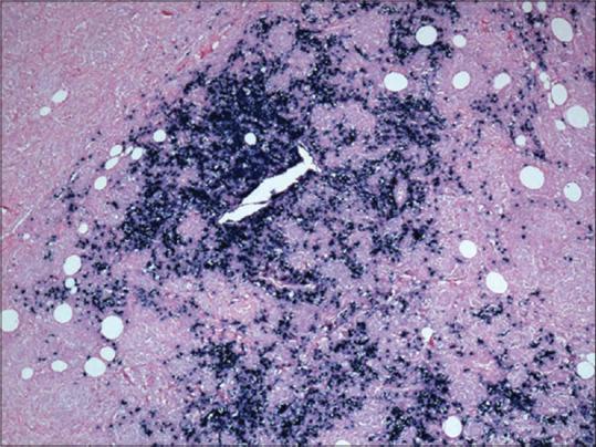
Gallbladder involvement in lymphoma is rare, with only a few cases reported in the literature, predominately in the pre positron emission tomography (PET) era. F-fluorodeoxyglucose (F-FDG) PET/computed tomography (CT) has now become the modality of choice in the staging of lymphoma. We report a case of gallbladder involvement by high-grade B-cell lymphoma detected by PET/CT.

摘要
https://cdn.ncbi.nlm.nih.gov/pmc/blobs/e5db/7875035/b119c0ae8521/WJNM-19-428-g001.jpg

相似文献

1
Gallbladder lymphoma detected by F-fluorodeoxyglucose positron emission tomography.
World J Nucl Med. 2020 Sep 14;19(4):428-431. doi: 10.4103/wjnm.WJNM_19_20. eCollection 2020 Oct-Dec.
3
More advantages in detecting bone and soft tissue metastases from prostate cancer using F-PSMA PET/CT.
Hell J Nucl Med. 2019 Jan-Apr;22(1):6-9. doi: 10.1967/s002449910952. Epub 2019 Mar 7.
8
Diagnostic accuracy of fluorine-18-fluorodeoxyglucose positron emission tomography in gallbladder cancer: A meta-analysis.
World J Gastroenterol. 2015 Oct 28;21(40):11481-8. doi: 10.3748/wjg.v21.i40.11481.

引用本文的文献

1
A comprehensive exploration of gallbladder health: from common to rare imaging findings.
Abdom Radiol (NY). 2025 Jan;50(1):131-151. doi: 10.1007/s00261-024-04431-4. Epub 2024 Jul 2.
2
Primary hepatopancreatobiliary lymphoma: Pathogenesis, diagnosis, and management.
Front Oncol. 2022 Aug 30;12:951062. doi: 10.3389/fonc.2022.951062. eCollection 2022.

本文引用的文献

1
PET/CT in Lymphoma: Current Overview and Future Directions.
Semin Nucl Med. 2018 Jan;48(1):76-81. doi: 10.1053/j.semnuclmed.2017.09.007. Epub 2017 Oct 2.
2
Primary Non-Hodgkin's Lymphoma of the Gallbladder: A Population-based Analysis.
Anticancer Res. 2017 May;37(5):2581-2586. doi: 10.21873/anticanres.11602.
3
Primary gallbladder lymphoma presenting as a polyp.
BMJ Case Rep. 2014 May 5;2014:bcr2013202715. doi: 10.1136/bcr-2013-202715.
4
The role of PET-CT in patients with incidental gallbladder cancer.
HPB (Oxford). 2009 Nov;11(7):585-91. doi: 10.1111/j.1477-2574.2009.00104.x.
6
Primary malignant lymphoma of the gallbladder: a case report and literature review.
Br J Radiol. 2009 Jan;82(973):e15-9. doi: 10.1259/bjr/30768802.
7
Primary non-Hodgkin's lymphoma of the gallbladder.
AJR Am J Roentgenol. 2005 Mar;184(3 Suppl):S86-7. doi: 10.2214/ajr.184.3_supplement.01840s86.
8
CT of Hodgkin's lymphoma limited to the gallbladder.
Abdom Imaging. 1996 May-Jun;21(3):238-9. doi: 10.1007/s002619900054.

文献AI研究员

20分钟写一篇综述,助力文献阅读效率提升50倍。

立即体验

用中文搜PubMed

大模型驱动的PubMed中文搜索引擎

马上搜索

文档翻译

学术文献翻译模型,支持多种主流文档格式。

立即体验