• 文献检索
  • 文档翻译
  • 深度研究
  • 学术资讯
  • Suppr Zotero 插件Zotero 插件
  • 邀请有礼
  • 套餐&价格
  • 历史记录
应用&插件
Suppr Zotero 插件Zotero 插件浏览器插件Mac 客户端Windows 客户端微信小程序
定价
高级版会员购买积分包购买API积分包
服务
文献检索文档翻译深度研究API 文档MCP 服务
关于我们
关于 Suppr公司介绍联系我们用户协议隐私条款
关注我们

Suppr 超能文献

核心技术专利:CN118964589B侵权必究
粤ICP备2023148730 号-1Suppr @ 2026

文献检索

告别复杂PubMed语法,用中文像聊天一样搜索,搜遍4000万医学文献。AI智能推荐,让科研检索更轻松。

立即免费搜索

文件翻译

保留排版,准确专业,支持PDF/Word/PPT等文件格式,支持 12+语言互译。

免费翻译文档

深度研究

AI帮你快速写综述,25分钟生成高质量综述,智能提取关键信息,辅助科研写作。

立即免费体验

一名接受内镜下成功解除梗阻治疗的婴儿的阻塞性粪块

Obstructive Fecalomas in an Infant Treated with Successful Endoscopic Disimpaction.

作者信息

Kanai Risa, Nakaya Kengo, Fukumoto Koji, Yamoto Masaya, Miyake Hiromu, Nomura Akiyoshi, Yamada Susumu, Makino Akihiro, Iwafuchi Hideto, Urushihara Naoto

机构信息

Department of Pediatric Surgery, Shizuoka Children's Hospital, Address: 860, Urushiyama Aoi-ku Shizuoka-shi, Shizuoka 420-8660, Japan.

Department of Pathology, Shizuoka Children's Hospital, Address: 860, Urushiyama Aoi-ku Shizuoka-shi, Shizuoka 420-8660, Japan.

出版信息

Case Rep Pediatr. 2021 Feb 2;2021:8815907. doi: 10.1155/2021/8815907. eCollection 2021.

DOI:10.1155/2021/8815907
PMID:33623720
原文链接:https://pmc.ncbi.nlm.nih.gov/articles/PMC7875629/
Abstract

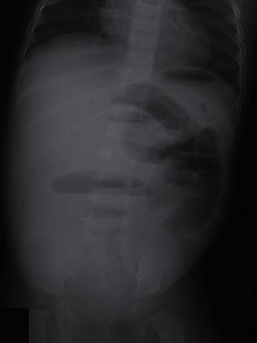
A fecaloma is a mass of accumulated feces with a consistency much harder than that of a fecal impaction. It is most frequently observed in the rectum and sigmoid area, and associated complications include colonic obstruction, ulceration, bleeding, and perforation. A one-year-old, previously healthy boy with no history of chronic constipation was admitted because of vomiting and abdominal distension. An abdominal computed tomography scan showed small and large bowel distension due to multiple obstructive fecalomas in the transverse colon. As the fecalomas could not be resolved by laxatives, enemas, or colonic lavage, endoscopic disimpaction under general anesthesia was attempted. Repeatedly shaving the fecalomas with biopsy forceps finally resulted in gradual fragmentation with subsequent passage. Gastrointestinal food allergy was later suggested as the cause because eosinophilic infiltration was found in a biopsy specimen of the colon wall. Endoscopic disimpaction is an effective treatment approach for addressing fecalomas to avoid more invasive surgical intervention.

摘要

粪石是一团积聚的粪便,其硬度远高于粪块嵌塞。它最常出现在直肠和乙状结肠区域,相关并发症包括结肠梗阻、溃疡、出血和穿孔。一名一岁的既往健康男孩,无慢性便秘病史,因呕吐和腹胀入院。腹部计算机断层扫描显示,由于横结肠内多个阻塞性粪石,小肠和大肠均有扩张。由于泻药、灌肠或结肠灌洗均无法清除粪石,因此尝试在全身麻醉下进行内镜下解除粪石嵌塞。用活检钳反复刮除粪石最终使其逐渐破碎并随后排出。后来结肠壁活检标本中发现嗜酸性粒细胞浸润,提示存在胃肠道食物过敏。内镜下解除粪石嵌塞是一种有效的治疗方法,可避免更具侵入性的手术干预。

https://cdn.ncbi.nlm.nih.gov/pmc/blobs/266c/7875629/a90a94520abd/CRIPE2021-8815907.005.jpg
https://cdn.ncbi.nlm.nih.gov/pmc/blobs/266c/7875629/01062799ffd4/CRIPE2021-8815907.001.jpg
https://cdn.ncbi.nlm.nih.gov/pmc/blobs/266c/7875629/8bbd7c7b5ed6/CRIPE2021-8815907.002.jpg
https://cdn.ncbi.nlm.nih.gov/pmc/blobs/266c/7875629/05681d013a61/CRIPE2021-8815907.003.jpg
https://cdn.ncbi.nlm.nih.gov/pmc/blobs/266c/7875629/1861e027282b/CRIPE2021-8815907.004.jpg
https://cdn.ncbi.nlm.nih.gov/pmc/blobs/266c/7875629/a90a94520abd/CRIPE2021-8815907.005.jpg
https://cdn.ncbi.nlm.nih.gov/pmc/blobs/266c/7875629/01062799ffd4/CRIPE2021-8815907.001.jpg
https://cdn.ncbi.nlm.nih.gov/pmc/blobs/266c/7875629/8bbd7c7b5ed6/CRIPE2021-8815907.002.jpg
https://cdn.ncbi.nlm.nih.gov/pmc/blobs/266c/7875629/05681d013a61/CRIPE2021-8815907.003.jpg
https://cdn.ncbi.nlm.nih.gov/pmc/blobs/266c/7875629/1861e027282b/CRIPE2021-8815907.004.jpg
https://cdn.ncbi.nlm.nih.gov/pmc/blobs/266c/7875629/a90a94520abd/CRIPE2021-8815907.005.jpg

相似文献

1
Obstructive Fecalomas in an Infant Treated with Successful Endoscopic Disimpaction.一名接受内镜下成功解除梗阻治疗的婴儿的阻塞性粪块
Case Rep Pediatr. 2021 Feb 2;2021:8815907. doi: 10.1155/2021/8815907. eCollection 2021.
2
[Successful Removal of Hard Sigmoid Fecaloma Using Endoscopic Cola Injection].[经内镜可乐注射成功清除乙状结肠硬粪石]
Korean J Gastroenterol. 2015 Jul;66(1):46-9. doi: 10.4166/kjg.2015.66.1.46.
3
Ileal Fecaloma Presenting with Small Bowel Obstruction.以小肠梗阻为表现的回肠粪块瘤
Pediatr Gastroenterol Hepatol Nutr. 2015 Sep;18(3):193-6. doi: 10.5223/pghn.2015.18.3.193. Epub 2015 Sep 25.
4
A case of giant fecaloma in a 24-year-old woman.一名24岁女性患巨大粪石症的病例。
Georgian Med News. 2015 Mar(240):11-4.
5
Huge fecaloma in a rectum ampulla resolved with conservative treatment using a carbonated soft drink.直肠壶腹内的巨大粪块通过饮用碳酸软饮料的保守治疗得以解决。
Rev Esp Enferm Dig. 2023 Nov;115(11):654-655. doi: 10.17235/reed.2023.9531/2023.
6
Ileal fecalomas causing small bowel obstruction: A case report.回肠粪石导致小肠梗阻:一例报告
Int J Surg Case Rep. 2021 Aug;85:106256. doi: 10.1016/j.ijscr.2021.106256. Epub 2021 Jul 30.
7
Cecal fecaloma due to intestinal tuberculosis: endoscopic treatment.肠结核所致盲肠粪块瘤:内镜治疗
Clin Endosc. 2012 Jun;45(2):174-6. doi: 10.5946/ce.2012.45.2.174. Epub 2012 Jun 30.
8
Rare case of fecaloma requiring endoscopic intervention in a 24-year-old female.一名24岁女性患粪块瘤需内镜干预的罕见病例。
J Surg Case Rep. 2024 Jul 8;2024(7):rjae438. doi: 10.1093/jscr/rjae438. eCollection 2024 Jul.
9
[Suspected free air--a case report of a patient with a huge fecaloma].[疑似气腹——一例巨大粪块瘤患者的病例报告]
Harefuah. 2009 Dec;148(12):815-7, 856, 855.
10
Cecal fecaloma: A rare cause of right lower quadrant pain.盲肠粪瘤:右下象限疼痛的罕见原因。
Eur J Radiol Open. 2019 Apr 4;6:136-138. doi: 10.1016/j.ejro.2019.03.006. eCollection 2019.

本文引用的文献

1
An Obstructing Fecal Bezoar in a Patient with Scleroderma with Successful Colonoscopic Disimpaction.一名硬皮病患者的阻塞性粪石,经结肠镜成功解除嵌塞
ACG Case Rep J. 2019 Apr 11;6(4):e00059. doi: 10.14309/crj.0000000000000059. eCollection 2019 Apr.
2
Cecal fecaloma: A rare cause of right lower quadrant pain.盲肠粪瘤:右下象限疼痛的罕见原因。
Eur J Radiol Open. 2019 Apr 4;6:136-138. doi: 10.1016/j.ejro.2019.03.006. eCollection 2019.
3
A Case of a Giant Fecaloma.
Clin Gastroenterol Hepatol. 2018 Apr;16(4):e48. doi: 10.1016/j.cgh.2017.08.004. Epub 2017 Aug 10.
4
Successful endoscopic fragmentation of large hardened fecaloma using jumbo forceps.使用大型活检钳成功进行内镜下大型硬结粪石碎裂术。
World J Gastrointest Endosc. 2017 Feb 16;9(2):91-94. doi: 10.4253/wjge.v9.i2.91.
5
Giant Fecaloma Causing Small Bowel Obstruction: Case Report and Review of the Literature.巨大粪石导致小肠梗阻:病例报告及文献综述
Bull Emerg Trauma. 2015 Apr;3(2):70-2.
6
Ileal Fecaloma Presenting with Small Bowel Obstruction.以小肠梗阻为表现的回肠粪块瘤
Pediatr Gastroenterol Hepatol Nutr. 2015 Sep;18(3):193-6. doi: 10.5223/pghn.2015.18.3.193. Epub 2015 Sep 25.
7
Can Fecaloma be Dissolved by Cola Injection in a Similar Way to Bezoars?粪石能否像胃石一样通过可乐注射溶解?
Intest Res. 2014 Oct;12(4):333-4. doi: 10.5217/ir.2014.12.4.333. Epub 2014 Oct 27.
8
Acute Urinary Retention in a 47-month-old Girl Caused by the Giant Fecaloma.巨大粪块导致47个月大女童急性尿潴留
Pediatr Gastroenterol Hepatol Nutr. 2013 Sep;16(3):200-5. doi: 10.5223/pghn.2013.16.3.200. Epub 2013 Sep 30.
9
Cecal fecaloma due to intestinal tuberculosis: endoscopic treatment.肠结核所致盲肠粪块瘤:内镜治疗
Clin Endosc. 2012 Jun;45(2):174-6. doi: 10.5946/ce.2012.45.2.174. Epub 2012 Jun 30.
10
Four distinct subtypes of non-IgE-mediated gastrointestinal food allergies in neonates and infants, distinguished by their initial symptoms.新生儿和婴儿非IgE介导的胃肠道食物过敏的四种不同亚型,以其初始症状区分。
J Allergy Clin Immunol. 2011 Mar;127(3):685-8.e1-8. doi: 10.1016/j.jaci.2011.01.019.