• 文献检索
  • 文档翻译
  • 深度研究
  • 学术资讯
  • Suppr Zotero 插件Zotero 插件
  • 邀请有礼
  • 套餐&价格
  • 历史记录
应用&插件
Suppr Zotero 插件Zotero 插件浏览器插件Mac 客户端Windows 客户端微信小程序
定价
高级版会员购买积分包购买API积分包
服务
文献检索文档翻译深度研究API 文档MCP 服务
关于我们
关于 Suppr公司介绍联系我们用户协议隐私条款
关注我们

Suppr 超能文献

核心技术专利:CN118964589B侵权必究
粤ICP备2023148730 号-1Suppr @ 2026

文献检索

告别复杂PubMed语法,用中文像聊天一样搜索,搜遍4000万医学文献。AI智能推荐,让科研检索更轻松。

立即免费搜索

文件翻译

保留排版,准确专业,支持PDF/Word/PPT等文件格式,支持 12+语言互译。

免费翻译文档

深度研究

AI帮你快速写综述,25分钟生成高质量综述,智能提取关键信息,辅助科研写作。

立即免费体验

外侧滑车延长截骨术。

Lateral trochlear lengthening osteotomy.

机构信息

Department of Orthopaedics and Traumatology, University Hospital of Basel, Spitalstrasse 21, 4031, Basel, Switzerland.

Department of Clinical Research, University of Basel, Schanzenstrasse 55, 4056, Basel, Switzerland.

出版信息

Arch Orthop Trauma Surg. 2021 Oct;141(10):1721-1730. doi: 10.1007/s00402-020-03736-5. Epub 2021 Feb 24.

DOI:10.1007/s00402-020-03736-5
PMID:33625541
原文链接:https://pmc.ncbi.nlm.nih.gov/articles/PMC8437866/
Abstract

INTRODUCTION

The purpose of this study was to describe the indications and technical aspects as well as evaluate the clinical and functional outcome of lengthening osteotomy of the lateral trochlear ridge in patients with patellofemoral pain and/or patella instability and presence of trochlear dysplasia Dejour type A or lack of Dejour type dysplasia and short lateral articular trochlea.

MATERIALS AND METHODS

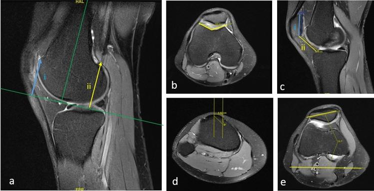
Six consecutive adult patients were treated with a lateral trochlear lengthening osteotomy. Five patients received a concomitant medial patellofemoral ligament reconstruction. Three patients had prior patella stabilization surgeries. Trochlea dysplasia (Dejour classification), Caton-Dechamps index, tibial tubercle trochlear groove (TT-TG) distance, patellar tilt and lateral condylar index were measured in preoperative MRIs. Clinical and functional evaluation included the Kujala Anterior Knee Pain Scale, the Lysholm Knee Score, the Tegner Activity Score, a subjective evaluation form and isokinetic muscle strength.

RESULTS

Four patients had a Dejour type A dysplasia, two patients had no dysplasia. The mean (range) Caton-Dechamps index was 1.09 (0.95-1.16), TT-TG distance 10.9 mm (9.2-15.6 mm), patellar tilt 15° (4-32°) and lateral condylar index 82.0% (74-90%). One patient was lost to follow up, all others were followed for 2-5 years. All patients were satisfied with the clinical outcome. The Lysholm score increased from 55 (37-79) to 89 (76-100), the Tegner activity score from 3.6 (2-6) to 5.6 (5-7). The Kujala score postoperative was 90 (75-96). Some but not all patients had full strength recovery compared to the contralateral leg.

CONCLUSION

We recommend measuring the lateral condylar index and considering the indication of a lateral trochlear lengthening osteotomy as an additional or isolated procedure in selected patients with trochlear dysplasia Dejour type A or lack of dysplasia and short lateral articular trochlea depending on the extent of the patellar instability.

LEVEL OF EVIDENCE

Level IV, Case Series.

TRIAL REGISTRATION NUMBER

NCT04378491, clinicaltrials.gov, May 7, 2020.

摘要

引言

本研究旨在描述外侧滑车嵴延长截骨术的适应证和技术要点,并评估其治疗髌股疼痛和/或髌骨不稳定伴滑车发育不良 Dejour 型 A 或无 Dejour 型发育不良且滑车外侧关节面短小患者的临床和功能效果。

材料与方法

对 6 例连续成年患者进行外侧滑车延长截骨术治疗。5 例患者同时行内侧髌股韧带重建术。3 例患者曾行髌骨稳定手术。术前 MRI 测量滑车发育不良(Dejour 分类)、Caton-Dechamps 指数、胫骨结节滑车沟(TT-TG)距离、髌骨倾斜角和外侧髁指数。临床和功能评估包括 Kujala 膝关节前痛量表、Lysholm 膝关节评分、Tegner 活动评分、主观评估表和等速肌力测试。

结果

4 例患者存在 Dejour 型 A 发育不良,2 例患者无发育不良。Caton-Dechamps 指数平均(范围)为 1.09(0.95-1.16),TT-TG 距离 10.9mm(9.2-15.6mm),髌骨倾斜角 15°(4-32°),外侧髁指数 82.0%(74-90%)。1 例患者失访,其余患者随访 2-5 年。所有患者对临床效果均满意。Lysholm 评分从 55(37-79)增加至 89(76-100),Tegner 活动评分从 3.6(2-6)增加至 5.6(5-7)。术后 Kujala 评分 90(75-96)。与对侧相比,虽然部分患者但并非所有患者的肌力完全恢复。

结论

我们建议在 Dejour 型 A 滑车发育不良或无发育不良且滑车外侧关节面短小的患者中,根据髌骨不稳定的程度,将外侧滑车延长截骨术作为附加或单独的手术,测量外侧髁指数并考虑其适应证。

证据水平

IV 级,病例系列研究。

临床试验注册号

NCT04378491,clinicaltrials.gov,2020 年 5 月 7 日。

https://cdn.ncbi.nlm.nih.gov/pmc/blobs/8b0d/8437866/2aab593f2109/402_2020_3736_Fig7_HTML.jpg
https://cdn.ncbi.nlm.nih.gov/pmc/blobs/8b0d/8437866/7463fbcecb40/402_2020_3736_Fig1_HTML.jpg
https://cdn.ncbi.nlm.nih.gov/pmc/blobs/8b0d/8437866/d3810264fd9d/402_2020_3736_Fig2_HTML.jpg
https://cdn.ncbi.nlm.nih.gov/pmc/blobs/8b0d/8437866/f5dadb6d8404/402_2020_3736_Fig3_HTML.jpg
https://cdn.ncbi.nlm.nih.gov/pmc/blobs/8b0d/8437866/9a23111adbda/402_2020_3736_Fig4_HTML.jpg
https://cdn.ncbi.nlm.nih.gov/pmc/blobs/8b0d/8437866/5f8e37ce7855/402_2020_3736_Fig5_HTML.jpg
https://cdn.ncbi.nlm.nih.gov/pmc/blobs/8b0d/8437866/c066bba35de5/402_2020_3736_Fig6_HTML.jpg
https://cdn.ncbi.nlm.nih.gov/pmc/blobs/8b0d/8437866/2aab593f2109/402_2020_3736_Fig7_HTML.jpg
https://cdn.ncbi.nlm.nih.gov/pmc/blobs/8b0d/8437866/7463fbcecb40/402_2020_3736_Fig1_HTML.jpg
https://cdn.ncbi.nlm.nih.gov/pmc/blobs/8b0d/8437866/d3810264fd9d/402_2020_3736_Fig2_HTML.jpg
https://cdn.ncbi.nlm.nih.gov/pmc/blobs/8b0d/8437866/f5dadb6d8404/402_2020_3736_Fig3_HTML.jpg
https://cdn.ncbi.nlm.nih.gov/pmc/blobs/8b0d/8437866/9a23111adbda/402_2020_3736_Fig4_HTML.jpg
https://cdn.ncbi.nlm.nih.gov/pmc/blobs/8b0d/8437866/5f8e37ce7855/402_2020_3736_Fig5_HTML.jpg
https://cdn.ncbi.nlm.nih.gov/pmc/blobs/8b0d/8437866/c066bba35de5/402_2020_3736_Fig6_HTML.jpg
https://cdn.ncbi.nlm.nih.gov/pmc/blobs/8b0d/8437866/2aab593f2109/402_2020_3736_Fig7_HTML.jpg

相似文献

1
Lateral trochlear lengthening osteotomy.外侧滑车延长截骨术。
Arch Orthop Trauma Surg. 2021 Oct;141(10):1721-1730. doi: 10.1007/s00402-020-03736-5. Epub 2021 Feb 24.
2
Patellar Instability髌骨不稳定
3
Clinical Outcomes After Isolated Medial Patellofemoral Ligament Reconstruction for Patellar Instability Among Patients With Trochlear Dysplasia.滑车发育不良患者髌股不稳行孤立内侧髌股韧带重建术后的临床结果。
Am J Sports Med. 2018 Mar;46(4):883-889. doi: 10.1177/0363546517745625. Epub 2018 Jan 3.
4
Clinical outcomes and predictive factors for failure with MPFL reconstruction combined with tibial tubercle osteotomy and lateral retinacular release for recurrent patellar instability.MPFL 重建联合胫骨结节截骨和外侧支持带松解治疗复发性髌骨不稳定的临床疗效及失败的预测因素。
BMC Musculoskelet Disord. 2021 Jul 21;22(1):632. doi: 10.1186/s12891-021-04508-x.
5
Derotational distal femur osteotomy combined with medial patellofemoral ligament reconstruction yields satisfactory results in recurrent patellar dislocation with excessive femoral anteversion angle and trochlear dysplasia.旋转远端股骨截骨术联合内侧髌股韧带重建术治疗伴有股骨前倾角过大和滑车发育不良的复发性髌骨脱位,可获得满意的效果。
Knee Surg Sports Traumatol Arthrosc. 2023 Oct;31(10):4347-4354. doi: 10.1007/s00167-023-07476-y. Epub 2023 Jun 20.
6
Functional testing and return to sport following stabilization surgery for recurrent lateral patellar instability in competitive athletes.运动员复发性外侧髌股不稳行稳定手术后的功能测试和重返运动。
Knee Surg Sports Traumatol Arthrosc. 2018 Mar;26(3):711-718. doi: 10.1007/s00167-016-4409-2. Epub 2016 Dec 27.
7
Isolated Medial Patellofemoral Ligament Reconstruction for Patellar Instability Regardless of Tibial Tubercle-Trochlear Groove Distance and Patellar Height: Outcomes at 1 and 2 Years.孤立性内侧髌股韧带重建治疗髌骨不稳:与胫骨结节-滑车沟间距和髌骨高度无关的结果:1 年和 2 年随访。
Am J Sports Med. 2019 May;47(6):1331-1337. doi: 10.1177/0363546519835800. Epub 2019 Apr 15.
8
Does degree of trochlear dysplasia and position of femoral tunnel influence outcome after medial patellofemoral ligament reconstruction?滑车发育不良程度和股骨隧道位置是否影响内侧髌股韧带重建后的疗效?
Am J Sports Med. 2014 Mar;42(3):716-22. doi: 10.1177/0363546513518413. Epub 2014 Jan 23.
9
Combined Tibial Tubercle Osteotomy and Medial Patellofemoral Ligament Reconstruction for Recurrent Lateral Patellar Instability in Patients With Multiple Anatomic Risk Factors.合并胫骨结节截骨术和内侧髌股韧带重建治疗伴有多种解剖学危险因素的复发性外侧髌股不稳
Arthroscopy. 2018 Aug;34(8):2420-2426.e3. doi: 10.1016/j.arthro.2018.02.049. Epub 2018 May 19.
10
Isolated Medial Patellofemoral Ligament Reconstruction for Recurrent Patellar Instability Regardless of Tibial Tubercle-Trochlear Groove Distance and Patellar Height: Minimum 5-Year Outcomes.孤立性内侧髌股韧带重建治疗复发性髌骨不稳定:无论胫骨结节-滑车沟间距和髌骨高度如何,至少 5 年的结果。
Am J Sports Med. 2024 Jul;52(9):2196-2204. doi: 10.1177/03635465241260039.

引用本文的文献

1
Evaluating the reliability of the lateral femoral condyle measuring methods by different modalities for patients with lateral patellar dislocation.评估不同影像学方法测量外侧髌骨脱位患者外侧股骨髁的可靠性。
BMC Musculoskelet Disord. 2024 May 18;25(1):388. doi: 10.1186/s12891-024-07495-x.

本文引用的文献

1
Relationships between Hamstrings-to-Quadriceps Ratio and Variables Describing Countermovement and Drop Jumps.腘绳肌与股四头肌比率与描述反向运动和下蹲跳变量之间的关系。
Appl Bionics Biomech. 2019 Jun 2;2019:4505481. doi: 10.1155/2019/4505481. eCollection 2019.
2
Trochleoplasty procedures show complication rates similar to other patellar-stabilizing procedures.滑车成形术的并发症发生率与其他稳定髌骨的手术相似。
Knee Surg Sports Traumatol Arthrosc. 2018 Sep;26(9):2841-2857. doi: 10.1007/s00167-017-4766-5. Epub 2017 Dec 5.
3
Limb Symmetry Indexes Can Overestimate Knee Function After Anterior Cruciate Ligament Injury.
肢体对称指数可能高估前交叉韧带损伤后的膝关节功能。
J Orthop Sports Phys Ther. 2017 May;47(5):334-338. doi: 10.2519/jospt.2017.7285. Epub 2017 Mar 29.
4
EXAMINATION OF THE PATELLOFEMORAL JOINT.髌股关节检查
Int J Sports Phys Ther. 2016 Dec;11(6):831-853.
5
Trochleoplasty as a Solitary Treatment for Recurrent Patellar Dislocation Results in Good Clinical Outcome in Adolescents.滑车成形术作为复发性髌骨脱位的单一治疗方法,在青少年中取得了良好的临床效果。
Am J Sports Med. 2016 Nov;44(11):2855-2863. doi: 10.1177/0363546516652894. Epub 2016 Jul 19.
6
Current concepts on trochleoplasty procedures for the surgical treatment of trochlear dysplasia.用于治疗滑车发育不良的滑车成形术的当前概念。
Knee Surg Sports Traumatol Arthrosc. 2014 Oct;22(10):2531-9. doi: 10.1007/s00167-014-3013-6. Epub 2014 Apr 22.
7
The incidence of trochlear dysplasia in anterior cruciate ligament tears.前交叉韧带撕裂中滑车发育不良的发生率。
Int Orthop. 2014 Jun;38(6):1269-75. doi: 10.1007/s00264-014-2291-4. Epub 2014 Feb 11.
8
Patellar instability with increased knee flexion due to lateral femoral condyle distal dysplasia: a report of two cases.因股骨外侧髁远端发育异常导致膝关节屈曲增加的髌骨不稳定:两例报告
Knee. 2012 Mar;19(2):140-3. doi: 10.1016/j.knee.2010.12.003. Epub 2011 Mar 25.
9
The lateral condyle index: a new index for assessing the length of the lateral articular trochlea as predisposing factor for patellar instability.外侧髁指数:评估外侧关节滑车长度的新指标,作为髌股关节不稳定的易患因素。
Int Orthop. 2011 Sep;35(9):1327-31. doi: 10.1007/s00264-010-1142-1. Epub 2010 Nov 11.
10
A systematised MRI approach to evaluating the patellofemoral joint.一种系统的 MRI 评估髌股关节的方法。
Skeletal Radiol. 2011 Apr;40(4):375-87. doi: 10.1007/s00256-010-0909-1. Epub 2010 Mar 10.