Suppr超能文献

放射治疗计划研究,旨在探讨免疫疗法联合消融放射外科治疗超高剂量(ICARUS)的可行性。

Radiation treatment planning study to investigate feasibility of delivering Immunotherapy in Combination with Ablative Radiosurgery to Ultra-High DoSes (ICARUS).

机构信息

Department of Radiation and Cellular Oncology, The University of Chicago Medicine, Chicago, IL, USA.

Department of Medicine, Division of Hematology/Oncology, University of Pittsburgh and UPMC Hillman Cancer Center, Pittsburgh, PA, USA.

出版信息

J Appl Clin Med Phys. 2021 Mar;22(3):196-206. doi: 10.1002/acm2.13204. Epub 2021 Feb 24.

Abstract

PURPOSE

Immune checkpoint inhibitors improve survival in metastatic diseases for some cancers. Multisite SBRT with pembrolizumab (SBRT + Pembro) was shown to be safe with promising local control using biologically effective doses (BEDs) = 95-120 Gy. Increased BED may improve response rate; however, SBRT doses are limited by surrounding organs at risk (OARs). The purpose of this work was to develop and validate methods for safe delivery of ultra-high doses of radiation (BED  > 300) to be used in future clinical trials.

METHODS AND MATERIALS

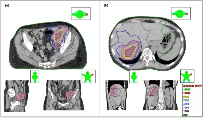
The radiation plans from 15 patients enrolled on a phase I trial of SBRT + pembro were reanalyzed. Metastatic disease sites included liver (8/15), inguinal region (1/15), pelvis (2/15), lung (1/15), abdomen (1/15), spleen (1/15), and groin (1/15). Gross tumor volumes (GTVs) ranged from 80 to 708 cc. Following the same methodology used in the Phase I trial on which these patients were treated, GTVs > 65 cc were contracted to a 65 cc subvolume (SubGTV) resulting in only a portion of the GTV receiving prescription dose. Volumetric modulated arc therapy (VMAT) was used to plan treatments BED  = 360 Gy. Plans utilizing both 6FFF and 10FFF beams were compared to clinical plans delivering BED  = 112.50 Gy. The target primary goal was V100% > 95% with a secondary goal of V70% > 99% and OAR objectives per the trial. To demonstrate feasibility, plans were delivered to a diode array phantom and evaluated for fidelity using gamma analysis.

RESULTS

All 30 plans met the secondary coverage goal and satisfied all OAR constraints. The primary goal was achieved in 12/15 of the 6FFF plans and 13/15 of the 10FFF plans. Average gamma analysis passing rate using criteria of 3% dose difference and 3, 2, and 1 mm were 99.1   1.0%, 98.5   1.6%, and 95.1   3.8%, respectively.

CONCLUSION

Novel VMAT planning approaches with clinical treatment planning software and linear accelerators prove capable of delivering radiation doses in excess of 360 Gy BED to tumor subvolumes, while maintaining safe OAR doses.

摘要

目的

免疫检查点抑制剂可提高某些癌症转移疾病的生存率。已经证明,使用生物有效剂量(BED)= 95-120 Gy 的多站点立体定向放疗(SBRT)联合培布利珠单抗(SBRT+Pembro)是安全的,并且局部控制效果有很大的希望。增加 BED 可能会提高反应率;但是,SBRT 剂量受到周围危及器官(OARs)的限制。这项工作的目的是开发和验证安全输送超高剂量辐射(BED>300)的方法,以用于未来的临床试验。

方法与材料

重新分析了 15 名参加 SBRT+Pembro Ⅰ期试验的患者的放射治疗计划。转移性疾病部位包括肝脏(8/15)、腹股沟区(1/15)、骨盆(2/15)、肺(1/15)、腹部(1/15)、脾脏(1/15)和腹股沟(1/15)。大体肿瘤体积(GTV)范围为 80 至 708 cc。根据这些患者接受治疗的Ⅰ期试验相同的方法,将 GTV>65 cc 的肿瘤收缩到 65 cc 的子体积(SubGTV),仅使部分 GTV 接收处方剂量。使用容积调制弧形治疗(VMAT)计划治疗 BED=360 Gy。比较了使用 6FFF 和 10FFF 射线的计划与临床计划 BED=112.50 Gy。目标主要目标是 V100%>95%,次要目标是 V70%>99%,并且符合试验的 OAR 目标。为了证明可行性,将计划传输到二极管阵列体模,并使用伽马分析进行准确性评估。

结果

所有 30 个计划均满足次要覆盖目标,并满足所有 OAR 限制。6FFF 计划中有 12/15 个计划和 10FFF 计划中有 13/15 个计划达到了主要目标。使用 3%剂量差异和 3、2 和 1 mm 的标准进行伽马分析的平均通过率分别为 99.1 1.0%、98.5 1.6%和 95.1 3.8%。

结论

新型 VMAT 计划方法与临床治疗计划软件和直线加速器相结合,能够将超过 360 Gy BED 的剂量输送到肿瘤子体积,同时保持安全的 OAR 剂量。

https://cdn.ncbi.nlm.nih.gov/pmc/blobs/a6a2/7984482/933ccbfb7092/ACM2-22-196-g003.jpg

文献AI研究员

20分钟写一篇综述,助力文献阅读效率提升50倍。

立即体验

用中文搜PubMed

大模型驱动的PubMed中文搜索引擎

马上搜索

文档翻译

学术文献翻译模型,支持多种主流文档格式。

立即体验