Suppr超能文献

壶腹大细胞神经内分泌癌的侵袭性临床病程。

Aggressive clinical course of large cell neuroendocrine carcinoma of the ampulla of Vater.

作者信息

Sonmez Recep Ercin, Buyuker Fatih, Girgin Rabia Burcin, Eren Turgut Tunc, Bas Gurhan, Alimoglu Orhan

机构信息

Department of General Surgery, Istanbul Medeniyet University Faculty of Medicine, Istanbul, Turkey.

Department of Pathology, Istanbul Medeniyet University Faculty of Medicine, Istanbul, Turkey.

出版信息

North Clin Istanb. 2019 Jul 11;8(1):97-100. doi: 10.14744/nci.2019.36002. eCollection 2021.

Abstract

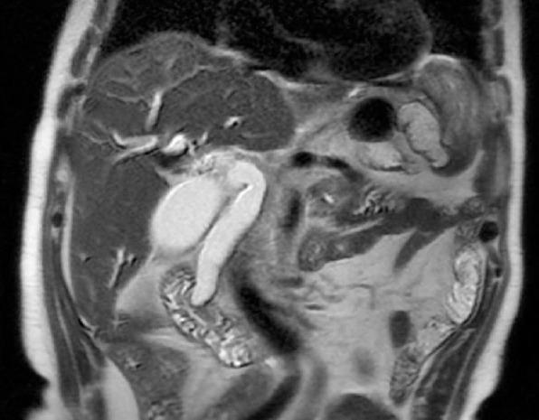
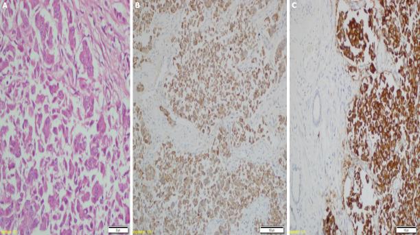
A 78-year-old male patient with a history of the right hemicolectomy due to the adenocarcinoma was admitted by the complaint of epigastric discomfort. Laboratory data showed an increase in liver biochemistries (aspartate aminotransferase (AST): 159 IU/L, alanine aminotransferase (ALT):235 IU/L, alkaline phosphatase (ALP): 350 IU/L, gamma-glutamyl transferase (GGT): 911 IU/L, total bilirubin: 1.55 mg/dl and direct bilirubin: 0.82 mg/dl). Endoscopic retrograde cholangiopancreatiography (ERCP) administered after the gastrointestinal (GI) upper endoscopy was compatible with the tumoral lesion, and biopsy confirmed 'neuroendocrine carcinoma'. Pylorus-preserving pancreaticoduodenectomy (PPPD) was performed with R0 resection. Pathologic evaluation revealed a 1,5 cm tumor of large cell neuroendocrine carcinoma (LCNEC). Five months later, biopsy of suspicious lesions in the liver was documented as 'high-grade neuroendocrine carcinoma metastasis'. He was referred to the oncology for chemotherapy, but, unfortunately, he expired three months later. Large cell neuroendocrine carcinoma (LCNECs) of the ampulla of Vater might have an aggressive clinical course despite radical resections involving lymph node dissections. Small tumor size and lymph node negativity are not reliable factors for this tumor type.

摘要

一名78岁男性患者,因腺癌行右半结肠切除术,因上腹部不适入院。实验室检查显示肝脏生化指标升高(天冬氨酸转氨酶(AST):159 IU/L,丙氨酸转氨酶(ALT):235 IU/L,碱性磷酸酶(ALP):350 IU/L,γ-谷氨酰转移酶(GGT):911 IU/L,总胆红素:1.55 mg/dl,直接胆红素:0.82 mg/dl)。上消化道内镜检查后进行的内镜逆行胰胆管造影(ERCP)与肿瘤病变相符,活检确诊为“神经内分泌癌”。行保留幽门的胰十二指肠切除术(PPPD),切缘R0。病理评估显示为1.5 cm大细胞神经内分泌癌(LCNEC)肿瘤。五个月后,肝脏可疑病变活检记录为“高级别神经内分泌癌转移”。他被转至肿瘤科进行化疗,但不幸的是,三个月后去世。尽管进行了包括淋巴结清扫在内的根治性切除,Vater壶腹大细胞神经内分泌癌(LCNEC)仍可能有侵袭性的临床病程。肿瘤体积小和淋巴结阴性对这种肿瘤类型来说并非可靠因素。

https://cdn.ncbi.nlm.nih.gov/pmc/blobs/5289/7881429/439aee322d01/NCI-8-97-g001.jpg

文献AI研究员

20分钟写一篇综述,助力文献阅读效率提升50倍。

立即体验

用中文搜PubMed

大模型驱动的PubMed中文搜索引擎

马上搜索

文档翻译

学术文献翻译模型,支持多种主流文档格式。

立即体验