• 文献检索
  • 文档翻译
  • 深度研究
  • 学术资讯
  • Suppr Zotero 插件Zotero 插件
  • 邀请有礼
  • 套餐&价格
  • 历史记录
应用&插件
Suppr Zotero 插件Zotero 插件浏览器插件Mac 客户端Windows 客户端微信小程序
定价
高级版会员购买积分包购买API积分包
服务
文献检索文档翻译深度研究API 文档MCP 服务
关于我们
关于 Suppr公司介绍联系我们用户协议隐私条款
关注我们

Suppr 超能文献

核心技术专利:CN118964589B侵权必究
粤ICP备2023148730 号-1Suppr @ 2026

文献检索

告别复杂PubMed语法,用中文像聊天一样搜索,搜遍4000万医学文献。AI智能推荐,让科研检索更轻松。

立即免费搜索

文件翻译

保留排版,准确专业,支持PDF/Word/PPT等文件格式,支持 12+语言互译。

免费翻译文档

深度研究

AI帮你快速写综述,25分钟生成高质量综述,智能提取关键信息,辅助科研写作。

立即免费体验

分娩情况下硬膜外麻醉后迟发性脑神经麻痹与Chiari I型畸形

Delayed Cranial Nerve Palsies and Chiari Type I Malformation After Epidural Anesthesia in the Setting of Childbirth.

作者信息

Caruso James P, Aoun Salah G, Kabangu Jean-Luc K, Ogunkua Olutoyosi, Bagley Carlos A

机构信息

Neurosurgery, University of Texas Southwestern Medical Center, Dallas, USA.

Anesthesiology, University of Texas Southwestern Medical Center, Dallas, USA.

出版信息

Cureus. 2021 Jan 23;13(1):e12871. doi: 10.7759/cureus.12871.

DOI:10.7759/cureus.12871
PMID:33633900
原文链接:https://pmc.ncbi.nlm.nih.gov/articles/PMC7899279/
Abstract

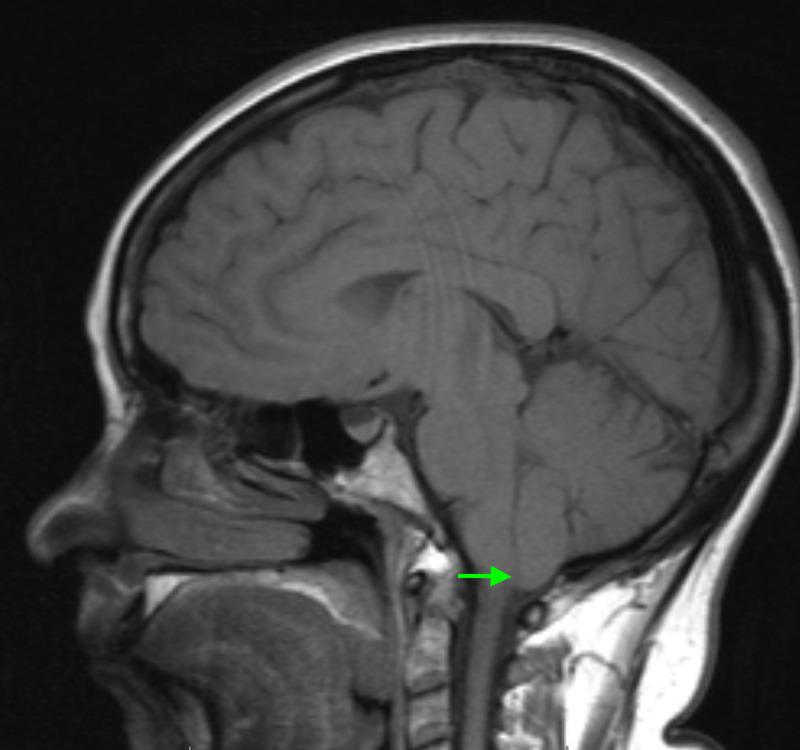
Epidural analgesia is an efficient method of controlling pain and has a wide spectrum of therapeutic and diagnostic applications. Potential complications may occur in a delayed fashion, can remain undiagnosed, and can be a source of significant morbidity. We present a 37-year-old woman presented with severe spontaneous occipital headaches, diplopia, and dizziness that occurred spontaneously six weeks after giving birth. Her primary method of pain control during labor was epidural analgesia. Her neurologic exam revealed a cranial nerve six palsy with ptosis, and her brain MRI demonstrated a Chiari I malformation which had not been previously diagnosed. CT myelography of the lumbar spine revealed extradural contrast extravasation within the interspinous soft tissue at L1-L2, which was the site of her prior epidural procedure. She underwent epidural blood patch administration, and her cranial nerve palsy resolved along with all of her other symptoms. The development of concurrent Chiari I malformation and cranial nerve palsy after epidural anesthesia is an exceptionally rare occurrence. Neurologic complications after epidural anesthesia are likely under-reported, since patients are often lost to follow-up or have subtle neurologic signs which can easily be missed. This frequently delayed presentation emphasizes the importance of patient education and the necessity of a detailed neurological exam when symptoms occur.

摘要

硬膜外镇痛是一种有效的疼痛控制方法,具有广泛的治疗和诊断应用。潜在并发症可能延迟出现,可能未被诊断出来,并且可能是严重发病的根源。我们报告一名37岁女性,在产后六周出现严重的自发性枕部头痛、复视和头晕。她分娩期间的主要疼痛控制方法是硬膜外镇痛。她的神经系统检查显示有动眼神经麻痹伴上睑下垂,脑部磁共振成像显示有I型Chiari畸形,此前未被诊断出。腰椎CT脊髓造影显示L1-L2棘突间软组织内硬膜外造影剂外渗,这是她之前硬膜外操作的部位。她接受了硬膜外血贴治疗,动眼神经麻痹以及其他所有症状均得到缓解。硬膜外麻醉后并发I型Chiari畸形和动眼神经麻痹极为罕见。硬膜外麻醉后的神经系统并发症可能报告不足,因为患者常常失访或有轻微的神经系统体征,很容易被漏诊。这种经常延迟出现的情况强调了患者教育的重要性以及出现症状时进行详细神经系统检查的必要性。

https://cdn.ncbi.nlm.nih.gov/pmc/blobs/34ef/7899279/53a622d282a2/cureus-0013-00000012871-i03.jpg
https://cdn.ncbi.nlm.nih.gov/pmc/blobs/34ef/7899279/5743f74dd2d1/cureus-0013-00000012871-i01.jpg
https://cdn.ncbi.nlm.nih.gov/pmc/blobs/34ef/7899279/02229bb141f0/cureus-0013-00000012871-i02.jpg
https://cdn.ncbi.nlm.nih.gov/pmc/blobs/34ef/7899279/53a622d282a2/cureus-0013-00000012871-i03.jpg
https://cdn.ncbi.nlm.nih.gov/pmc/blobs/34ef/7899279/5743f74dd2d1/cureus-0013-00000012871-i01.jpg
https://cdn.ncbi.nlm.nih.gov/pmc/blobs/34ef/7899279/02229bb141f0/cureus-0013-00000012871-i02.jpg
https://cdn.ncbi.nlm.nih.gov/pmc/blobs/34ef/7899279/53a622d282a2/cureus-0013-00000012871-i03.jpg

相似文献

1
Delayed Cranial Nerve Palsies and Chiari Type I Malformation After Epidural Anesthesia in the Setting of Childbirth.分娩情况下硬膜外麻醉后迟发性脑神经麻痹与Chiari I型畸形
Cureus. 2021 Jan 23;13(1):e12871. doi: 10.7759/cureus.12871.
2
Cranial Nerve Six Palsy After Vaginal Delivery with Epidural Anesthesia: A Case Report.硬膜外麻醉下阴道分娩后出现的第六颅神经麻痹:一例报告
J Emerg Med. 2024 Mar;66(3):e338-e340. doi: 10.1016/j.jemermed.2023.11.006. Epub 2023 Nov 20.
3
Delayed Retroclival and Cervical Spinal Subdural Hematoma Complicated by Preexisting Chiari Malformation in Adult Trauma Patient.成人创伤患者中迟发性斜坡后及颈段脊髓硬膜下血肿合并先天性小脑扁桃体下疝畸形
World Neurosurg. 2017 Sep;105:1039.e1-1039.e5. doi: 10.1016/j.wneu.2017.06.114. Epub 2017 Jun 21.
4
Horner's syndrome and trigeminal nerve palsy after lumbar epidural analgesia for labor and delivery.分娩时腰段硬膜外镇痛后出现霍纳综合征和三叉神经麻痹。
J Clin Anesth. 2002 Nov;14(7):532-4. doi: 10.1016/s0952-8180(02)00406-3.
5
Bilateral abducens palsies and facial weakness as initial manifestations of a Chiari 1 malformation.双侧展神经麻痹和面肌无力作为Chiari 1畸形的初始表现。
Optom Vis Sci. 2007 Oct;84(10):936-40. doi: 10.1097/OPX.0b013e318157c6c6.
6
Interventional spinal procedures in the presence of a Chiari malformation: a potential contraindication.存在Chiari畸形时的介入性脊柱手术:一种潜在的禁忌证。
Am J Phys Med Rehabil. 2014 Aug;93(8):714-8. doi: 10.1097/PHM.0000000000000099.
7
Oculomotor Nerve Palsy in the Emergency Department: A Complication of Epidural Injection.急诊科动眼神经麻痹:硬膜外注射的并发症。
J Emerg Med. 2020 Feb;58(2):e67-e69. doi: 10.1016/j.jemermed.2019.10.009. Epub 2019 Nov 18.
8
Cranial nerve palsy following central neuraxial block in obstetrics - a review of the literature and analysis of 43 case reports.产科中枢神经轴索阻滞术后的颅神经麻痹——文献综述及43例病例报告分析
Int J Obstet Anesth. 2017 May;31:13-26. doi: 10.1016/j.ijoa.2017.02.003. Epub 2017 Feb 20.
9
Vocal Cord Palsy as a Complication of Epidural Anaesthesia.声带麻痹作为硬膜外麻醉的一种并发症
Case Rep Otolaryngol. 2018 Oct 25;2018:6543656. doi: 10.1155/2018/6543656. eCollection 2018.
10
Case report: epidural blood patch in the treatment of abducens palsy after a dural puncture.病例报告:硬膜外血贴治疗硬膜穿刺后外展神经麻痹
Can J Anaesth. 2007 Feb;54(2):146-50. doi: 10.1007/BF03022012.

引用本文的文献

1
A child with unilateral abducens nerve palsy and neurovascular compression in Chiari malformation type 1 resolved with posterior fossa decompression: illustrative case.一名患有单侧展神经麻痹且存在 Chiari 1 型畸形神经血管压迫的儿童经后颅窝减压后症状缓解:病例说明
J Neurosurg Case Lessons. 2024 May 6;7(19). doi: 10.3171/CASE23539.

本文引用的文献

1
Cranial nerve palsy following central neuraxial block in obstetrics - a review of the literature and analysis of 43 case reports.产科中枢神经轴索阻滞术后的颅神经麻痹——文献综述及43例病例报告分析
Int J Obstet Anesth. 2017 May;31:13-26. doi: 10.1016/j.ijoa.2017.02.003. Epub 2017 Feb 20.
2
CSF hypotension: A review of its manifestations, investigation and management.脑脊液低压:其临床表现、检查与管理综述
J Clin Neurosci. 2016 Dec;34:39-43. doi: 10.1016/j.jocn.2016.07.002. Epub 2016 Aug 4.
3
Cranial nerve VI palsy after dural-arachnoid puncture.
硬脑膜-蛛网膜穿刺后第六颅神经麻痹。
Anesth Analg. 2015 Mar;120(3):644-646. doi: 10.1213/ANE.0000000000000587.
4
Incidence of cerebellar tonsillar ectopia in idiopathic intracranial hypertension: a mimic of the Chiari I malformation.特发性颅内高压中小脑扁桃体异位的发生率:Chiari I 畸形的一种类似表现。
AJNR Am J Neuroradiol. 2012 Nov;33(10):1901-6. doi: 10.3174/ajnr.A3068. Epub 2012 Jun 21.
5
Delayed subdural haematoma complicated by abducens nerve palsy and cortical vein thrombosis after obstetric epidural anaesthesia.产科硬膜外麻醉后迟发性硬膜下血肿并发展神经麻痹和皮质静脉血栓形成
Br J Anaesth. 2012 Apr;108(4):705-6. doi: 10.1093/bja/aes089.
6
Paresis of cranial nerve VI (N. abducens) after thoracic dural perforation.第六颅神经(展神经)麻痹后胸椎硬脑膜穿孔。
Minerva Anestesiol. 2010 Dec;76(12):1085-7. Epub 2010 Sep 13.
7
Trigeminal nerve and facial nerve palsy after combined spinal-epidural anesthesia for cesarean section.三叉神经和面神经麻痹后联合脊髓-硬膜外麻醉剖宫产。
J Clin Anesth. 2010 Feb;22(1):56-8. doi: 10.1016/j.jclinane.2009.01.016.
8
Hypoglossal nerve palsy, trigeminal nerve palsy and Horner's syndrome in association with epidural block.舌下神经麻痹、三叉神经麻痹及霍纳综合征与硬膜外阻滞相关。
Int J Obstet Anesth. 2009 Apr;18(2):191-2. doi: 10.1016/j.ijoa.2008.12.002. Epub 2009 Feb 5.
9
Trigeminal nerve palsy and Horner's syndrome following epidural analgesia for labor: a subdural block?分娩硬膜外镇痛后出现三叉神经麻痹和霍纳综合征:硬膜下阻滞?
Int J Obstet Anesth. 2007 Apr;16(2):180-2. doi: 10.1016/j.ijoa.2006.07.007. Epub 2007 Jan 30.
10
Horner's syndrome and trigeminal nerve palsy following epidural analgesia for labor.分娩硬膜外镇痛后出现霍纳综合征和三叉神经麻痹。
J Am Board Fam Med. 2006 Sep-Oct;19(5):521-3. doi: 10.3122/jabfm.19.5.521.