Betancourt-Del Campo Hector, Jerjes-Sanchez Carlos, Castillo-Perez Mauricio, López-de la Garza Hector, Paredes-Vázquez José Gildardo, Flores-Sayavedra Yoezer Z, Moreno-Abril Hoyos Francisco, Ibarra-Flores Marcos
Tecnologico de Monterrey, Escuela de Medicina y Ciencias de la Salud. Monterrey, Nuevo Leon, Mexico.
Instituto de Cardiología y Medicina Vascular, TecSalud, San Pedro Garza García, Nuevo Leon, Mexico.
Eur Heart J Case Rep. 2020 Dec 13;4(6):1-8. doi: 10.1093/ehjcr/ytaa448. eCollection 2020 Dec.
From asymptomatic patients to severe acute respiratory distress syndrome, COVID-19 has a wide range of clinical presentations, and venous thromboembolism has emerged as a critical and frequent complication.
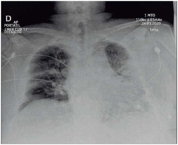
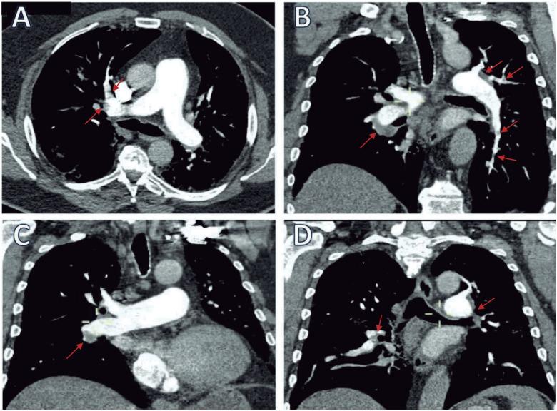
We present a case of a 69-year-old man with a clinical presentation of massive-like pulmonary embolism (PE) overlapping with severe COVID-19 pneumonia. The diagnosis was made based on hypotension, severe oxygen desaturation (33%), and right ventricular dysfunction (RVD). We used alteplase and low-molecular-weight heparin, obtaining immediate clinical improvement. Also, we identified an extremely elevated D-dimer (31.2 mcg/mL), and computed tomography pulmonary angiography (CTPA) revealed an unexpected low thrombus burden and a crazy-paving pattern. Considering this, we decided to discontinue the alteplase. Therefore, the mechanisms of pulmonary hypertension and RVD could be multifactorial. Despite the patient's respiratory status worsening and ongoing mechanical ventilation, biomarkers kept lowering to normal ranges. It appears a favourable outcome was related to early PE diagnosis and a multimodal therapeutic approach.
Physicians in the ER should be warned about extremely high D-dimer measurements and severe oxygen desaturation as possible markers of severe COVID-19 pneumonia in patients with high-clinical suspicion of PE. Although ESC guidelines recommend immediate reperfusion in cardiogenic shock secondary to PE, we suggest initial CTPA in patients with high-clinical suspicion of severe COVID-19.
从无症状患者到重症急性呼吸窘迫综合征,新型冠状病毒肺炎(COVID-19)有广泛的临床表现,静脉血栓栓塞已成为一种关键且常见的并发症。
我们报告一例69岁男性患者,临床表现为类似大面积肺栓塞(PE)并伴有重症COVID-19肺炎。根据低血压、严重氧饱和度下降(33%)和右心室功能障碍(RVD)做出诊断。我们使用了阿替普酶和低分子肝素,临床症状立即得到改善。此外,我们发现D-二聚体极度升高(31.2 mcg/mL),计算机断层扫描肺动脉造影(CTPA)显示血栓负荷意外较低且有铺路石样表现。考虑到这一点,我们决定停用阿替普酶。因此,肺动脉高压和RVD的机制可能是多因素的。尽管患者呼吸状况恶化且持续进行机械通气,但生物标志物持续降至正常范围。良好的预后似乎与早期PE诊断和多模式治疗方法有关。
对于临床高度怀疑PE的患者,急诊医生应警惕极高的D-二聚体测量值和严重的氧饱和度下降,它们可能是重症COVID-19肺炎的标志物。尽管欧洲心脏病学会(ESC)指南建议对PE继发的心源性休克立即进行再灌注治疗,但我们建议对临床高度怀疑重症COVID-19的患者首先进行CTPA检查。