• 文献检索
  • 文档翻译
  • 深度研究
  • 学术资讯
  • Suppr Zotero 插件Zotero 插件
  • 邀请有礼
  • 套餐&价格
  • 历史记录
应用&插件
Suppr Zotero 插件Zotero 插件浏览器插件Mac 客户端Windows 客户端微信小程序
定价
高级版会员购买积分包购买API积分包
服务
文献检索文档翻译深度研究API 文档MCP 服务
关于我们
关于 Suppr公司介绍联系我们用户协议隐私条款
关注我们

Suppr 超能文献

核心技术专利:CN118964589B侵权必究
粤ICP备2023148730 号-1Suppr @ 2026

文献检索

告别复杂PubMed语法,用中文像聊天一样搜索,搜遍4000万医学文献。AI智能推荐,让科研检索更轻松。

立即免费搜索

文件翻译

保留排版,准确专业,支持PDF/Word/PPT等文件格式,支持 12+语言互译。

免费翻译文档

深度研究

AI帮你快速写综述,25分钟生成高质量综述,智能提取关键信息,辅助科研写作。

立即免费体验

amatuximab 阻断间皮素可抑制细胞侵袭性,增强吉西他滨敏感性,并调节间皮素阳性胰腺癌细胞中的肿瘤干细胞特性。

Mesothelin blockage by Amatuximab suppresses cell invasiveness, enhances gemcitabine sensitivity and regulates cancer cell stemness in mesothelin-positive pancreatic cancer cells.

机构信息

Department of Gastroenterological Surgery I, Hokkaido University Graduate School of Medicine, North 15, West 7, Kita-Ku, Sapporo, Hokkaido, 060-8638, Japan.

Department of Surgery, National Defense Medical College, Namiki 3-2, Tokorozawa, Saitama, 359-8513, Japan.

出版信息

BMC Cancer. 2021 Feb 26;21(1):200. doi: 10.1186/s12885-020-07722-3.

DOI:10.1186/s12885-020-07722-3
PMID:33637083
原文链接:https://pmc.ncbi.nlm.nih.gov/articles/PMC7912898/
Abstract

BACKGROUND

Mesothelin is a 40-kDa glycoprotein that is highly overexpressed in various types of cancers, however molecular mechanism of mesothelin has not been well-known. Amatuximab is a chimeric monoclonal IgG1/k antibody targeting mesothelin. We recently demonstrated that the combine therapy of Amatuximab and gemcitabine was effective for peritonitis of pancreatic cancer in mouse model.

METHODS

We discover the role and potential mechanism of mesothelin blockage by Amatuximab in human pancreatic cells both expressing high or low level of mesothelin in vitro experiment and peritonitis mouse model of pancreatic cancer.

RESULTS

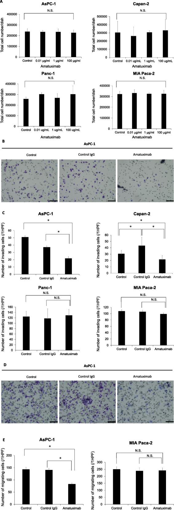
Mesothelin blockage by Amatuximab lead to suppression of invasiveness and migration capacity in AsPC-1 and Capan-2 (high mesothelin expression) and reduce levels of pMET expression. The combination of Amatuximab and gemcitabine suppressed proliferation of AsPC-1 and Capan-2 more strongly than gemcitabine alone. These phenomena were not observed in Panc-1 and MIA Paca-2 (Mesothelin low expression). We previously demonstrated that Amatuximab reduced the peritoneal mass in mouse AsPC-1 peritonitis model and induced sherbet-like cancer cell aggregates, which were vanished by gemcitabine. In this study, we showed that the cancer stem cell related molecule such as ALDH1, CD44, c-MET, as well as proliferation related molecules, were suppressed in sherbet-like aggregates, but once sherbet-like aggregates attached to peritoneum, they expressed these molecules strongly without the morphological changes.

CONCLUSIONS

Our work suggested that Amatuximab inhibits the adhesion of cancer cells to peritoneum and suppresses the stemness and viability of those, that lead to enhance the sensitivity for gemcitabine.

摘要

背景

间皮素是一种 40kDa 的糖蛋白,在多种类型的癌症中高度过表达,但间皮素的分子机制尚未被很好地了解。Amatuximab 是一种针对间皮素的嵌合单克隆 IgG1/k 抗体。我们最近证明,Amatuximab 联合吉西他滨治疗胰腺癌腹膜炎在小鼠模型中是有效的。

方法

我们在体外实验和胰腺癌腹膜炎小鼠模型中发现了 Amatuximab 阻断间皮素在高或低表达间皮素的人胰腺细胞中的作用和潜在机制。

结果

Amatuximab 阻断间皮素导致 AsPC-1 和 Capan-2(高间皮素表达)侵袭和迁移能力的抑制,并降低 pMET 表达水平。Amatuximab 和吉西他滨的联合使用比单独使用吉西他滨更能抑制 AsPC-1 和 Capan-2 的增殖。这些现象在 Panc-1 和 MIA Paca-2(间皮素低表达)中没有观察到。我们之前证明,Amatuximab 减少了小鼠 AsPC-1 腹膜炎模型中的腹膜肿块,并诱导了雪葩状癌细胞聚集,这些聚集被吉西他滨消除。在这项研究中,我们表明,癌症干细胞相关分子,如 ALDH1、CD44、c-MET 以及增殖相关分子,在雪葩状聚集物中被抑制,但一旦雪葩状聚集物附着在腹膜上,它们就会强烈表达这些分子,而没有形态变化。

结论

我们的工作表明,Amatuximab 抑制癌细胞与腹膜的黏附,并抑制这些细胞的干性和活力,从而增强对吉西他滨的敏感性。

https://cdn.ncbi.nlm.nih.gov/pmc/blobs/5cf2/7912898/d231e5b657e2/12885_2020_7722_Fig7_HTML.jpg
https://cdn.ncbi.nlm.nih.gov/pmc/blobs/5cf2/7912898/c43b3abf53ff/12885_2020_7722_Fig1_HTML.jpg
https://cdn.ncbi.nlm.nih.gov/pmc/blobs/5cf2/7912898/564afce4362d/12885_2020_7722_Fig2_HTML.jpg
https://cdn.ncbi.nlm.nih.gov/pmc/blobs/5cf2/7912898/d297f73366dc/12885_2020_7722_Fig3_HTML.jpg
https://cdn.ncbi.nlm.nih.gov/pmc/blobs/5cf2/7912898/a8a4fa7a986b/12885_2020_7722_Fig4_HTML.jpg
https://cdn.ncbi.nlm.nih.gov/pmc/blobs/5cf2/7912898/f44c033f455c/12885_2020_7722_Fig5a_HTML.jpg
https://cdn.ncbi.nlm.nih.gov/pmc/blobs/5cf2/7912898/ad08fc828cd5/12885_2020_7722_Fig6_HTML.jpg
https://cdn.ncbi.nlm.nih.gov/pmc/blobs/5cf2/7912898/d231e5b657e2/12885_2020_7722_Fig7_HTML.jpg
https://cdn.ncbi.nlm.nih.gov/pmc/blobs/5cf2/7912898/c43b3abf53ff/12885_2020_7722_Fig1_HTML.jpg
https://cdn.ncbi.nlm.nih.gov/pmc/blobs/5cf2/7912898/564afce4362d/12885_2020_7722_Fig2_HTML.jpg
https://cdn.ncbi.nlm.nih.gov/pmc/blobs/5cf2/7912898/d297f73366dc/12885_2020_7722_Fig3_HTML.jpg
https://cdn.ncbi.nlm.nih.gov/pmc/blobs/5cf2/7912898/a8a4fa7a986b/12885_2020_7722_Fig4_HTML.jpg
https://cdn.ncbi.nlm.nih.gov/pmc/blobs/5cf2/7912898/f44c033f455c/12885_2020_7722_Fig5a_HTML.jpg
https://cdn.ncbi.nlm.nih.gov/pmc/blobs/5cf2/7912898/ad08fc828cd5/12885_2020_7722_Fig6_HTML.jpg
https://cdn.ncbi.nlm.nih.gov/pmc/blobs/5cf2/7912898/d231e5b657e2/12885_2020_7722_Fig7_HTML.jpg

相似文献

1
Mesothelin blockage by Amatuximab suppresses cell invasiveness, enhances gemcitabine sensitivity and regulates cancer cell stemness in mesothelin-positive pancreatic cancer cells.amatuximab 阻断间皮素可抑制细胞侵袭性,增强吉西他滨敏感性,并调节间皮素阳性胰腺癌细胞中的肿瘤干细胞特性。
BMC Cancer. 2021 Feb 26;21(1):200. doi: 10.1186/s12885-020-07722-3.
2
Early administration of amatuximab, a chimeric high-affinity anti-mesothelin monoclonal antibody, suppresses liver metastasis of mesothelin-expressing pancreatic cancer cells and enhances gemcitabine sensitivity in a xenograft mouse model.早期给予amatuximab(一种嵌合型高亲和力抗间皮素单克隆抗体)治疗可抑制间皮素表达的胰腺癌细胞的肝转移,并增强异种移植小鼠模型中吉西他滨的敏感性。
Invest New Drugs. 2021 Oct;39(5):1256-1266. doi: 10.1007/s10637-021-01118-1. Epub 2021 Apr 27.
3
Curaxin CBL0137 eradicates drug resistant cancer stem cells and potentiates efficacy of gemcitabine in preclinical models of pancreatic cancer.Curaxin CBL0137可根除耐药性癌症干细胞,并增强吉西他滨在胰腺癌临床前模型中的疗效。
Oncotarget. 2014 Nov 30;5(22):11038-53. doi: 10.18632/oncotarget.2701.
4
The anti-mesothelin monoclonal antibody amatuximab enhances the anti-tumor effect of gemcitabine against mesothelin-high expressing pancreatic cancer cells in a peritoneal metastasis mouse model.抗间皮素单克隆抗体阿马妥昔单抗在腹膜转移小鼠模型中增强了吉西他滨对间皮素高表达胰腺癌细胞的抗肿瘤作用。
Oncotarget. 2018 Sep 18;9(73):33844-33852. doi: 10.18632/oncotarget.26117.
5
A combination of DR5 agonistic monoclonal antibody with gemcitabine targets pancreatic cancer stem cells and results in long-term disease control in human pancreatic cancer model.DR5 激动型单克隆抗体联合吉西他滨靶向胰腺癌干细胞,可长期控制人胰腺癌模型中的疾病。
Mol Cancer Ther. 2010 Sep;9(9):2582-92. doi: 10.1158/1535-7163.MCT-10-0370. Epub 2010 Jul 26.
6
Aspirin counteracts cancer stem cell features, desmoplasia and gemcitabine resistance in pancreatic cancer.阿司匹林可对抗胰腺癌中的癌症干细胞特征、促结缔组织增生反应和吉西他滨耐药性。
Oncotarget. 2015 Apr 30;6(12):9999-10015. doi: 10.18632/oncotarget.3171.
7
Intracellular KRAS-specific antibody enhances the anti-tumor efficacy of gemcitabine in pancreatic cancer by inducing endosomal escape.细胞内KRAS特异性抗体通过诱导内体逃逸增强吉西他滨在胰腺癌中的抗肿瘤疗效。
Cancer Lett. 2021 Jun 1;507:97-111. doi: 10.1016/j.canlet.2021.03.015. Epub 2021 Mar 17.
8
MicroRNA-34a Alleviates Gemcitabine Resistance in Pancreatic Cancer by Repression of Cancer Stem Cell Renewal.miR-34a 通过抑制肿瘤干细胞更新缓解胰腺癌对吉西他滨的耐药性
Pancreas. 2021 Oct 1;50(9):1260-1266. doi: 10.1097/MPA.0000000000001920.
9
A humanized anti-IGF-1R monoclonal antibody (R1507) and/or metformin enhance gemcitabine-induced apoptosis in pancreatic cancer cells.一种人源化抗 IGF-1R 单克隆抗体(R1507)和/或二甲双胍增强吉西他滨诱导的胰腺癌细胞凋亡。
Oncol Rep. 2012 Mar;27(3):867-72. doi: 10.3892/or.2011.1597. Epub 2011 Dec 20.
10
Ursolic acid inhibits the growth of human pancreatic cancer and enhances the antitumor potential of gemcitabine in an orthotopic mouse model through suppression of the inflammatory microenvironment.熊果酸通过抑制炎症微环境,在原位小鼠模型中抑制人胰腺癌的生长并增强吉西他滨的抗肿瘤潜力。
Oncotarget. 2016 Mar 15;7(11):13182-96. doi: 10.18632/oncotarget.7537.

引用本文的文献

1
Mesothelin-Associated Anti-Senescence Through P53 in Pancreatic Ductal Adenocarcinoma.间皮素通过p53在胰腺导管腺癌中发挥抗衰老作用。
Cancers (Basel). 2025 Jun 19;17(12):2058. doi: 10.3390/cancers17122058.
2
Advancing pancreatic cancer therapy by mesothelin-specific nanobody conjugation.通过间皮素特异性纳米抗体偶联推进胰腺癌治疗
Mol Cancer. 2025 Apr 24;24(1):124. doi: 10.1186/s12943-025-02325-7.
3
Targeting Mesothelin Enhances Personalized Neoantigen Vaccine Induced Antitumor Immune Response in Orthotopic Pancreatic Cancer Mouse Models.

本文引用的文献

1
The anti-mesothelin monoclonal antibody amatuximab enhances the anti-tumor effect of gemcitabine against mesothelin-high expressing pancreatic cancer cells in a peritoneal metastasis mouse model.抗间皮素单克隆抗体阿马妥昔单抗在腹膜转移小鼠模型中增强了吉西他滨对间皮素高表达胰腺癌细胞的抗肿瘤作用。
Oncotarget. 2018 Sep 18;9(73):33844-33852. doi: 10.18632/oncotarget.26117.
2
Mesothelial cells facilitate cancer stem‑like properties in spheroids of ovarian cancer cells.间皮细胞促进了卵巢癌细胞球体中的癌症干细胞样特性。
Oncol Rep. 2018 Oct;40(4):2105-2114. doi: 10.3892/or.2018.6605. Epub 2018 Jul 27.
3
Inhibition of the MEK/ERK pathway augments nab-paclitaxel-based chemotherapy effects in preclinical models of pancreatic cancer.
靶向间皮素可增强原位胰腺癌小鼠模型中个性化新抗原疫苗诱导的抗肿瘤免疫反应。
Adv Sci (Weinh). 2025 Mar;12(12):e2407976. doi: 10.1002/advs.202407976. Epub 2025 Jan 31.
4
A humanized anti-MSLN×4-1BB bispecific antibody exhibits potent antitumour activity through 4-1BB signaling activation and fc function without systemic toxicity.一种人源化抗间皮素×4-1BB双特异性抗体通过激活4-1BB信号传导和Fc功能展现出强大的抗肿瘤活性,且无全身毒性。
J Transl Med. 2025 Jan 13;23(1):53. doi: 10.1186/s12967-025-06107-z.
5
Deciphering fatty acid biosynthesis-driven molecular subtypes in pancreatic ductal adenocarcinoma with prognostic insights.解析胰腺导管腺癌中脂肪酸生物合成驱动的分子亚型,并提供预后见解。
Cell Oncol (Dordr). 2024 Aug;47(4):1475-1491. doi: 10.1007/s13402-024-00953-7. Epub 2024 May 16.
6
MSLN induced EMT, cancer stem cell traits and chemotherapy resistance of pancreatic cancer cells.间皮素诱导胰腺癌细胞发生上皮-间质转化、癌症干细胞特性及化疗耐药。
Heliyon. 2024 Apr 7;10(8):e29210. doi: 10.1016/j.heliyon.2024.e29210. eCollection 2024 Apr 30.
7
Mechanisms underlying the changes in acetaldehyde dehydrogenase 1 in cholangiocarcinoma.胆管癌中乙醛脱氢酶1变化的潜在机制。
J Cancer. 2023 Sep 25;14(17):3203-3213. doi: 10.7150/jca.86967. eCollection 2023.
8
Identification of a chemoresistance-related prognostic gene signature by comprehensive analysis and experimental validation in pancreatic cancer.通过综合分析和实验验证在胰腺癌中鉴定与化疗耐药相关的预后基因特征
Front Oncol. 2023 May 12;13:1132424. doi: 10.3389/fonc.2023.1132424. eCollection 2023.
9
Characterization of Mesothelin Glycosylation in Pancreatic Cancer: Decreased Core Fucosylated Glycoforms in Pancreatic Cancer Patients' Sera.胰腺癌中间皮素糖基化的特征:胰腺癌患者血清中核心岩藻糖基化糖型减少
Biomedicines. 2022 Aug 10;10(8):1942. doi: 10.3390/biomedicines10081942.
10
The Inhibitory Effects of Anti-ERC/Mesothelin Antibody 22A31 on Colorectal Adenocarcinoma Cells, within a Mouse Xenograft Model.抗ERC/间皮素抗体22A31在小鼠异种移植模型中对大肠腺癌细胞的抑制作用
Cancers (Basel). 2022 Apr 28;14(9):2198. doi: 10.3390/cancers14092198.
在胰腺癌临床前模型中,抑制MEK/ERK信号通路可增强基于纳米白蛋白结合型紫杉醇的化疗效果。
Oncotarget. 2017 Dec 25;9(4):5274-5286. doi: 10.18632/oncotarget.23684. eCollection 2018 Jan 12.
4
Pancreatic Adenocarcinoma, Version 2.2017, NCCN Clinical Practice Guidelines in Oncology.《胰腺导管腺癌临床实践指南(2017 年第 2 版)》,NCCN 肿瘤学临床实践指南。
J Natl Compr Canc Netw. 2017 Aug;15(8):1028-1061. doi: 10.6004/jnccn.2017.0131.
5
Mesothelin promotes epithelial-to-mesenchymal transition and tumorigenicity of human lung cancer and mesothelioma cells.间皮素促进人肺癌和间皮瘤细胞的上皮-间质转化及致瘤性。
Mol Cancer. 2017 Mar 14;16(1):63. doi: 10.1186/s12943-017-0633-8.
6
The expression of cancer stem cell markers in human colorectal carcinoma cells in a microenvironment dependent manner.癌症干细胞标志物在人结肠癌细胞中以微环境依赖的方式表达。
Biochem Biophys Res Commun. 2017 Mar 18;484(4):726-733. doi: 10.1016/j.bbrc.2017.01.111. Epub 2017 Feb 4.
7
Adjuvant chemotherapy of S-1 versus gemcitabine for resected pancreatic cancer: a phase 3, open-label, randomised, non-inferiority trial (JASPAC 01).替吉奥对比吉西他滨用于可切除胰腺癌的辅助化疗:一项 III 期、开放标签、随机、非劣效性试验(JASPAC 01)。
Lancet. 2016 Jul 16;388(10041):248-57. doi: 10.1016/S0140-6736(16)30583-9. Epub 2016 Jun 2.
8
Clinical impacts of mesothelin expression in gastrointestinal carcinomas.间皮素在胃肠道癌中的表达的临床影响
World J Gastrointest Pathophysiol. 2016 May 15;7(2):218-22. doi: 10.4291/wjgp.v7.i2.218.
9
Pancreatic cancer.胰腺癌。
Nat Rev Dis Primers. 2016 Apr 21;2:16022. doi: 10.1038/nrdp.2016.22.
10
Mesothelin-Targeted CARs: Driving T Cells to Solid Tumors.靶向间皮素的嵌合抗原受体:驱动T细胞作用于实体瘤。
Cancer Discov. 2016 Feb;6(2):133-46. doi: 10.1158/2159-8290.CD-15-0583. Epub 2015 Oct 26.