Suppr超能文献

在一名患有三级甲状旁腺功能亢进的慢性肾脏病患者中,通过锝- sestamibi单光子发射计算机断层扫描/计算机断层扫描闪烁显像检测到同时存在多个甲状旁腺腺瘤和癌的罕见影像学表现。

Rare Imaging Findings of Concomitant Presence of Multiple Parathyroid Adenomas and Carcinoma in a Chronic Kidney Disease Patient with Tertiary Hyperparathyroidism Detected on Tc-Sestamibi Single-Photon-Emission Computed Tomography/Computed Tomography Scintigraphy.

作者信息

Malipedda Suneelkumar, Kamaleshwaran Koramadai Karuppusamy, Muthusamy Dhiwakar, Veerasamy Mangalakumar, Soundararajan Arun Pandiyan, Jayaraj Arnold Vasumathi

机构信息

Department of Nuclear Medicine, PET/CT and Radionuclide Therapy, Kovai Medical Center and Hospital Limited, Coimbatore, Tamil Nadu, India.

Department of Head and Neck Surgery, Kovai Medical Center and Hospital Limited, Coimbatore, Tamil Nadu, India.

出版信息

Indian J Nucl Med. 2020 Oct-Dec;35(4):333-335. doi: 10.4103/ijnm.IJNM_100_20. Epub 2020 Oct 21.

Abstract

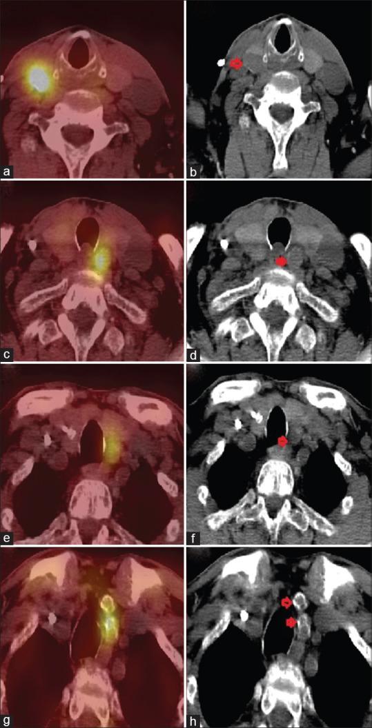
Parathyroid carcinoma (PC) is a rare endocrine carcinoma. It is one of the rare causes for primary hyperparathyroidism. It is very uncommon in individuals with secondary or tertiary hyperparathyroidism. We report a rare case of 53-year-old male, a known case of chronic kidney disease on dialysis, who presented with fatigue and muscle cramps. Lab reports revealed elevated parathyroid hormone (PTH) and serum calcium levels. Tc-Sestamibi single-photon-emission computed tomography/computed tomography scintigraphy showed 4 foci of increased tracer uptake with retention, suggestive of parathyroid adenomas, including two ectopic foci in the mediastinum. At surgery, the enlarged bilateral superior, left inferior parathyroid gland, and two calcified left superior mediastinal lesions were removed. Histopathology revealed parathyroid adenomas in the right superior, left inferior, supernumerary ectopic left superior mediastinum lesion and PC in the left superior parathyroid lesion. Intraoperative serum PTH became normal, and the patient is asymptomatic now.

摘要

甲状旁腺癌(PC)是一种罕见的内分泌癌。它是原发性甲状旁腺功能亢进的罕见病因之一。在继发性或三发性甲状旁腺功能亢进患者中极为罕见。我们报告一例罕见病例,一名53岁男性,已知为接受透析的慢性肾病患者,出现疲劳和肌肉痉挛症状。实验室报告显示甲状旁腺激素(PTH)和血清钙水平升高。锝- sestamibi单光子发射计算机断层扫描/计算机断层扫描闪烁显像显示4个放射性示踪剂摄取增加并滞留的病灶,提示甲状旁腺腺瘤,包括纵隔内两个异位病灶。手术中,切除了双侧增大的上甲状旁腺、左下甲状旁腺以及两个钙化的左上纵隔病变。组织病理学显示右上甲状旁腺、左下甲状旁腺、额外的异位左上纵隔病变为甲状旁腺腺瘤,左上甲状旁腺病变为甲状旁腺癌。术中血清PTH恢复正常,患者目前无症状。

https://cdn.ncbi.nlm.nih.gov/pmc/blobs/e7c9/7905269/508fba49491f/IJNM-35-333-g001.jpg

文献AI研究员

20分钟写一篇综述,助力文献阅读效率提升50倍。

立即体验

用中文搜PubMed

大模型驱动的PubMed中文搜索引擎

马上搜索

文档翻译

学术文献翻译模型,支持多种主流文档格式。

立即体验