• 文献检索
  • 文档翻译
  • 深度研究
  • 学术资讯
  • Suppr Zotero 插件Zotero 插件
  • 邀请有礼
  • 套餐&价格
  • 历史记录
应用&插件
Suppr Zotero 插件Zotero 插件浏览器插件Mac 客户端Windows 客户端微信小程序
定价
高级版会员购买积分包购买API积分包
服务
文献检索文档翻译深度研究API 文档MCP 服务
关于我们
关于 Suppr公司介绍联系我们用户协议隐私条款
关注我们

Suppr 超能文献

核心技术专利:CN118964589B侵权必究
粤ICP备2023148730 号-1Suppr @ 2026

文献检索

告别复杂PubMed语法,用中文像聊天一样搜索,搜遍4000万医学文献。AI智能推荐,让科研检索更轻松。

立即免费搜索

文件翻译

保留排版,准确专业,支持PDF/Word/PPT等文件格式,支持 12+语言互译。

免费翻译文档

深度研究

AI帮你快速写综述,25分钟生成高质量综述,智能提取关键信息,辅助科研写作。

立即免费体验

上调与胃癌中的染色质重塑以及异种移植小鼠模型中的致瘤性诱导有关。

upregulation is associated with chromatin remodeling in gastric cancer and induction of tumorigenicity in a xenograft mouse model.

机构信息

Genome Editing Research Center, Korea Research Institute of Bioscience and Biotechnology, Daejeon 34141, Republic of Korea.

Personalized Genomic Medicine Research Center, Korea Research Institute of Bioscience and Biotechnology, Daejeon 34141, Republic of Korea.

出版信息

Oncol Rep. 2021 Apr;45(4). doi: 10.3892/or.2021.7993. Epub 2021 Mar 2.

DOI:10.3892/or.2021.7993
PMID:33649810
原文链接:https://pmc.ncbi.nlm.nih.gov/articles/PMC7934220/
Abstract

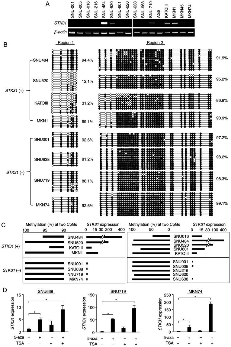
Pathological changes in the epigenetic landscape of chromatin are hallmarks of cancer. Our previous study showed that global methylation of promoters may increase or decrease during the transition from gastric mucosa to intestinal metaplasia (IM) to gastric cancer (GC). Here, CpG hypomethylation of the serine/threonine kinase promoter in IM and GC was detected in a reduced representation bisulfite sequencing database. hypomethylation, which resulted in its upregulation in 120 cases of primary GC, was confirmed. Using public genome‑wide histone modification data, upregulation of promoter activity was detected in primary GC but not in normal mucosae, suggesting that may be repressed in gastric mucosa but activated in GC as a consequence of hypomethylation‑associated chromatin remodeling. knockdown suppressed the proliferation, colony formation and migration activities of GC cells , whereas stable overexpression of STK31 promoted the proliferation, colony formation, and migration activities of GC cells and tumorigenesis in nude mice. Patients with GC in which was upregulated exhibited significantly shorter survival times in a combined cohort. Thus, activation of by chromatin remodeling may be associated with gastric carcinogenesis and also may help predict GC prognosis.

摘要

染色质表观遗传景观中的病理变化是癌症的标志。我们之前的研究表明,在从胃黏膜到肠上皮化生(IM)再到胃癌(GC)的转变过程中,启动子的整体甲基化可能增加或减少。在这里,在减少代表性亚硫酸氢盐测序数据库中检测到 IM 和 GC 中丝氨酸/苏氨酸激酶启动子的 CpG 低甲基化。在 120 例原发性 GC 中,其结果导致其上调,得到了证实。使用公共全基因组组蛋白修饰数据,在原发性 GC 中检测到 启动子活性的上调,但在正常黏膜中未检测到,这表明 在胃黏膜中可能受到抑制,但由于与低甲基化相关的染色质重塑,在 GC 中被激活。 STK31 的下调抑制了 GC 细胞的增殖、集落形成和迁移活性,而 STK31 的稳定过表达则促进了 GC 细胞的增殖、集落形成、迁移活性和裸鼠肿瘤的发生。在联合队列中,上调的 GC 患者的存活时间明显缩短。因此,染色质重塑激活可能与胃癌的发生有关,也可能有助于预测 GC 的预后。

https://cdn.ncbi.nlm.nih.gov/pmc/blobs/ab26/7934220/305a0867ce73/or-45-04-7993-g07.jpg
https://cdn.ncbi.nlm.nih.gov/pmc/blobs/ab26/7934220/a7bda8b8ade7/or-45-04-7993-g00.jpg
https://cdn.ncbi.nlm.nih.gov/pmc/blobs/ab26/7934220/2e75cddacb64/or-45-04-7993-g01.jpg
https://cdn.ncbi.nlm.nih.gov/pmc/blobs/ab26/7934220/b5374b961f0a/or-45-04-7993-g02.jpg
https://cdn.ncbi.nlm.nih.gov/pmc/blobs/ab26/7934220/6566f08adbad/or-45-04-7993-g03.jpg
https://cdn.ncbi.nlm.nih.gov/pmc/blobs/ab26/7934220/0a29a042f618/or-45-04-7993-g04.jpg
https://cdn.ncbi.nlm.nih.gov/pmc/blobs/ab26/7934220/7448df7fb9a8/or-45-04-7993-g05.jpg
https://cdn.ncbi.nlm.nih.gov/pmc/blobs/ab26/7934220/2c4114ba9933/or-45-04-7993-g06.jpg
https://cdn.ncbi.nlm.nih.gov/pmc/blobs/ab26/7934220/305a0867ce73/or-45-04-7993-g07.jpg
https://cdn.ncbi.nlm.nih.gov/pmc/blobs/ab26/7934220/a7bda8b8ade7/or-45-04-7993-g00.jpg
https://cdn.ncbi.nlm.nih.gov/pmc/blobs/ab26/7934220/2e75cddacb64/or-45-04-7993-g01.jpg
https://cdn.ncbi.nlm.nih.gov/pmc/blobs/ab26/7934220/b5374b961f0a/or-45-04-7993-g02.jpg
https://cdn.ncbi.nlm.nih.gov/pmc/blobs/ab26/7934220/6566f08adbad/or-45-04-7993-g03.jpg
https://cdn.ncbi.nlm.nih.gov/pmc/blobs/ab26/7934220/0a29a042f618/or-45-04-7993-g04.jpg
https://cdn.ncbi.nlm.nih.gov/pmc/blobs/ab26/7934220/7448df7fb9a8/or-45-04-7993-g05.jpg
https://cdn.ncbi.nlm.nih.gov/pmc/blobs/ab26/7934220/2c4114ba9933/or-45-04-7993-g06.jpg
https://cdn.ncbi.nlm.nih.gov/pmc/blobs/ab26/7934220/305a0867ce73/or-45-04-7993-g07.jpg

相似文献

1
upregulation is associated with chromatin remodeling in gastric cancer and induction of tumorigenicity in a xenograft mouse model.上调与胃癌中的染色质重塑以及异种移植小鼠模型中的致瘤性诱导有关。
Oncol Rep. 2021 Apr;45(4). doi: 10.3892/or.2021.7993. Epub 2021 Mar 2.
2
ONECUT2 upregulation is associated with CpG hypomethylation at promoter-proximal DNA in gastric cancer and triggers ACSL5.ONECUT2 的上调与胃癌启动子近端 DNA 的 CpG 低甲基化有关,并触发 ACSL5。
Int J Cancer. 2020 Jun 15;146(12):3354-3368. doi: 10.1002/ijc.32946. Epub 2020 Mar 20.
3
Connexin 32 and 43 promoter methylation in Helicobacter pylori-associated gastric tumorigenesis.幽门螺杆菌相关胃癌发生过程中连接蛋白32和43启动子甲基化
World J Gastroenterol. 2014 Sep 7;20(33):11770-9. doi: 10.3748/wjg.v20.i33.11770.
4
DNA hypomethylation promotes invasion and metastasis of gastric cancer cells by regulating the binding of SP1 to the CDCA3 promoter.DNA 低甲基化通过调节 SP1 与 CDCA3 启动子的结合促进胃癌细胞的侵袭和转移。
J Cell Biochem. 2020 Jan;121(1):142-151. doi: 10.1002/jcb.28993. Epub 2019 Jun 18.
5
Epigenetic inactivation of paired box gene 5, a novel tumor suppressor gene, through direct upregulation of p53 is associated with prognosis in gastric cancer patients.通过直接上调 p53 实现配对盒基因 5 的表观遗传失活,配对盒基因 5 是一种新的肿瘤抑制基因,与胃癌患者的预后相关。
Oncogene. 2012 Jul 19;31(29):3419-30. doi: 10.1038/onc.2011.511. Epub 2011 Nov 21.
6
Protein arginine methyltransferase 5-mediated epigenetic silencing of IRX1 contributes to tumorigenicity and metastasis of gastric cancer.蛋白精氨酸甲基转移酶 5 介导的 IRX1 表观遗传沉默促进胃癌的发生和转移。
Biochim Biophys Acta Mol Basis Dis. 2018 Sep;1864(9 Pt B):2835-2844. doi: 10.1016/j.bbadis.2018.05.015. Epub 2018 May 23.
7
BARX2 expression is downregulated by CpG island hypermethylation and is associated with suppressed cell proliferation and invasion of gastric cancer cells.BARX2 的表达受 CpG 岛甲基化抑制下调,与胃癌细胞增殖和侵袭受抑制有关。
Oncol Rep. 2020 Jun;43(6):1805-1818. doi: 10.3892/or.2020.7558. Epub 2020 Mar 22.
8
Serine/threonine kinases 31(STK31) may be a novel cellular target gene for the HPV16 oncogene E7 with potential as a DNA hypomethylation biomarker in cervical cancer.丝氨酸/苏氨酸激酶31(STK31)可能是HPV16癌基因E7的一个新型细胞靶基因,有潜力作为宫颈癌中DNA低甲基化生物标志物。
Virol J. 2016 Apr 5;13:60. doi: 10.1186/s12985-016-0515-5.
9
KRAB zinc-finger protein 382 regulates epithelial-mesenchymal transition and functions as a tumor suppressor, but is silenced by CpG methylation in gastric cancer.KRAZ 锌指蛋白 382 调节上皮-间充质转化并发挥肿瘤抑制作用,但在胃癌中因 CpG 甲基化而沉默。
Int J Oncol. 2018 Sep;53(3):961-972. doi: 10.3892/ijo.2018.4446. Epub 2018 Jun 19.
10
Down-regulation of dual-specificity phosphatase 5 in gastric cancer by promoter CpG island hypermethylation and its potential role in carcinogenesis.启动子 CpG 岛甲基化导致胃癌中双特异性磷酸酶 5 下调及其在癌变中的潜在作用。
Am J Pathol. 2013 Apr;182(4):1275-85. doi: 10.1016/j.ajpath.2013.01.004. Epub 2013 Feb 10.

引用本文的文献

1
STK31 drives tumor immune evasion through STAT3-IL-6 mediated CD8 T cell exhaustion.STK31通过STAT3-IL-6介导的CD8 T细胞耗竭驱动肿瘤免疫逃逸。
Oncogene. 2025 Jun;44(20):1452-1462. doi: 10.1038/s41388-024-03271-2. Epub 2025 Mar 1.
2
Uncovering a multitude of stage-specific splice variants and putative protein isoforms generated along mouse spermatogenesis.揭示了大量在小鼠精子发生过程中产生的阶段特异性剪接变体和推定的蛋白质同工型。
BMC Genomics. 2024 Mar 20;25(1):295. doi: 10.1186/s12864-024-10170-z.
3
Expression and prognostic potential of ribosome 18S RNA mA methyltransferase METTL5 in gastric cancer.

本文引用的文献

1
Whole genome MBD-seq and RRBS analyses reveal that hypermethylation of gastrointestinal hormone receptors is associated with gastric carcinogenesis.全基因组 MBD-seq 和 RRBS 分析显示,胃肠道激素受体的高甲基化与胃癌的发生有关。
Exp Mol Med. 2018 Dec 3;50(12):1-14. doi: 10.1038/s12276-018-0179-x.
2
Global cancer statistics 2018: GLOBOCAN estimates of incidence and mortality worldwide for 36 cancers in 185 countries.全球癌症统计数据 2018:GLOBOCAN 对全球 185 个国家/地区 36 种癌症的发病率和死亡率的估计。
CA Cancer J Clin. 2018 Nov;68(6):394-424. doi: 10.3322/caac.21492. Epub 2018 Sep 12.
3
Biomarkers of gastric cancer: Current topics and future perspective.
核糖体18S RNA mA甲基转移酶METTL5在胃癌中的表达及预后潜力
Cancer Cell Int. 2021 Oct 26;21(1):569. doi: 10.1186/s12935-021-02274-3.
胃癌的生物标志物:当前的研究热点和未来展望。
World J Gastroenterol. 2018 Jul 14;24(26):2818-2832. doi: 10.3748/wjg.v24.i26.2818.
4
Genomic and Epigenomic Profiling of High-Risk Intestinal Metaplasia Reveals Molecular Determinants of Progression to Gastric Cancer.高危肠上皮内瘤变的基因组和表观基因组分析揭示了胃癌进展的分子决定因素。
Cancer Cell. 2018 Jan 8;33(1):137-150.e5. doi: 10.1016/j.ccell.2017.11.018. Epub 2017 Dec 28.
5
Aberrant Promoter Hypomethylation in CLL: Does It Matter for Disease Development?慢性淋巴细胞白血病中的异常启动子低甲基化:它对疾病发展有影响吗?
Front Oncol. 2016 Aug 11;6:182. doi: 10.3389/fonc.2016.00182. eCollection 2016.
6
Follow-Up Study on CDX1 and CDX2 mRNA Expression in Noncancerous Gastric Mucosae After Helicobacter pylori Eradication.幽门螺杆菌根除后非癌性胃黏膜中CDX1和CDX2 mRNA表达的随访研究
Dig Dis Sci. 2016 Apr;61(4):1051-9. doi: 10.1007/s10620-016-4048-y. Epub 2016 Feb 3.
7
Transforming Cancer Prevention through Precision Medicine and Immune-oncology.通过精准医学和免疫肿瘤学转变癌症预防
Cancer Prev Res (Phila). 2016 Jan;9(1):2-10. doi: 10.1158/1940-6207.CAPR-15-0406.
8
Identification of cell-specific targets of sumoylation during mouse spermatogenesis.小鼠精子发生过程中SUMO化修饰的细胞特异性靶点的鉴定。
Reproduction. 2016 Feb;151(2):149-66. doi: 10.1530/REP-15-0239.
9
Expression of Activated Ras in Gastric Chief Cells of Mice Leads to the Full Spectrum of Metaplastic Lineage Transitions.小鼠胃主细胞中活化型Ras的表达导致化生谱系转变的全谱变化。
Gastroenterology. 2016 Apr;150(4):918-30.e13. doi: 10.1053/j.gastro.2015.11.049. Epub 2015 Dec 8.
10
Comprehensive molecular characterization of gastric adenocarcinoma.胃腺癌的全面分子特征分析。
Nature. 2014 Sep 11;513(7517):202-9. doi: 10.1038/nature13480. Epub 2014 Jul 23.