Suppr超能文献

梅内特里耶样病伴发肉芽肿性胃炎、螺旋体病和利什曼病的指针犬:一例报告。

Ménétrier-like disease in a Pointer with concurrent granulomatous gastritis, helicobacteriosis and leishmaniosis: a case report.

机构信息

Department of Equine and Small Animal Medicine, Faculty of Veterinary Medicine, University of Helsinki, P.O. Box 57, FI-00014, Helsinki, Finland.

Department of Veterinary Biosciences, Faculty of Veterinary Medicine, University of Helsinki, P.O. Box 57, FI-00014, Helsinki, Finland.

出版信息

BMC Vet Res. 2021 Mar 2;17(1):98. doi: 10.1186/s12917-021-02802-3.

Abstract

BACKGROUND

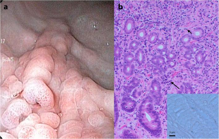
Ménétrier-like disease is a rare hypertrophic canine gastropathy, reported in only seven dogs. Clinical signs are vomiting, anorexia and weight loss. Macroscopically, giant cerebriform gastric mucosal folds are typically seen in the corpus and fundus of the stomach. Histopathologically, fundic mucous cell hyperplasia and loss of parietal and chief cells are typical.

CASE PRESENTATION

A nine-year-old spayed female Pointer had a history of intermittent vomiting, marked weight loss and hypoalbuminaemia. A gastroduodenoscopy was performed three times within three months with macroscopic changes remaining the same. The gastric mucosa of the corpus, fundus and proximal antrum was markedly irregular, with cerebriform mucosal folds. In the first gastric biopsies, histopathology revealed a moderate granulomatous gastritis, with a severe manifestation of Helicobacter-like organisms. Treatment for Helicobacter spp. decreased the vomiting slightly. The dog was diagnosed with concurrent leishmaniosis; the conventional anti-Leishmania treatment decreased the vomiting moderately, the hypoalbuminaemia resolved and the dog gained weight back to a normal body condition. Granulomatous gastritis was not present in the gastric biopsies after these treatments. The dog increased vomiting when palliative treatment (maropitant citrate, ondansetron and esomeprazole) was discontinued, and thus, full-thickness biopsies of the stomach were taken and Ménétrier-like disease was diagnosed. The affected area was too large to be surgically removed; thus, palliative treatment was reinstated. The dog remained clinically well 39 months after the first clinical presentation.

CONCLUSIONS

This is the first report of Ménétrier-like disease in a dog with a simultaneous manifestation of granulomatous gastritis, helicobacteriosis and leishmaniosis. The clinical signs decreased after treatment of helicobacteriosis and leishmaniosis, but vomiting remained probably as a sign of Ménétrier-like disease. Treatment options for dogs are surgical removal of the abnormal area or palliative treatment. In humans, promising results for a cure have been shown with cetuximab treatment, a human monoclonal antibody, but no canine antibody is commercially available yet. The dog here was doing well 39 months after first presentation, which is the longest reported survival time for Ménétrier-like disease with only palliative treatment in dogs. Full-thickness biopsies are preferred in macroscopic hypertrophic lesions of the stomach for better assessment of Ménétrier-like disease.

摘要

背景

Ménétrier 样疾病是一种罕见的犬肥厚性胃病,仅在 7 只狗中报道过。临床症状为呕吐、厌食和体重减轻。大体上,胃体和胃底部可见巨大的脑回状胃黏膜皱襞。组织病理学上,胃底粘膜炎细胞增生和壁细胞和主细胞缺失是典型的。

病例介绍

一只 9 岁已绝育的雌性 Pointer 犬间歇性呕吐、体重明显减轻和低白蛋白血症。在三个月内进行了三次胃镜检查,大体变化保持不变。胃体、胃底和近端胃窦的胃黏膜明显不规则,呈脑回状黏膜皱襞。在第一次胃活检中,组织病理学显示中度肉芽肿性胃炎,有严重的类似幽门螺杆菌样生物表现。针对幽门螺杆菌的治疗略有减少呕吐。该犬同时被诊断为利什曼病;常规的抗利什曼原虫治疗适度减少呕吐,低白蛋白血症得到解决,狗的体重恢复到正常身体状况。这些治疗后,胃活检中未发现肉芽肿性胃炎。当停止姑息治疗(马罗匹坦柠檬酸、昂丹司琼和埃索美拉唑)时,狗增加了呕吐,因此进行了胃全层活检,并诊断为 Ménétrier 样疾病。受影响的区域太大,无法手术切除;因此,重新进行姑息治疗。自首次临床症状出现以来,该犬 39 个月后仍保持临床良好状态。

结论

这是第一例犬同时表现为肉芽肿性胃炎、幽门螺杆菌感染和利什曼病的 Ménétrier 样疾病报告。在治疗幽门螺杆菌感染和利什曼病后,临床症状有所改善,但呕吐仍然存在,可能是 Ménétrier 样疾病的表现。犬的治疗选择是手术切除异常区域或姑息治疗。在人类中,已经显示出使用人单克隆抗体西妥昔单抗治疗的有希望的治愈结果,但目前还没有商业上可用的犬用抗体。该犬在首次就诊后 39 个月时状况良好,这是犬 Ménétrier 样疾病仅用姑息治疗的最长报告生存时间。在胃的大体肥厚性病变中,优选进行全层活检以更好地评估 Ménétrier 样疾病。

https://cdn.ncbi.nlm.nih.gov/pmc/blobs/d7f5/7923814/7b70db3f2e13/12917_2021_2802_Fig1_HTML.jpg

文献检索

告别复杂PubMed语法,用中文像聊天一样搜索,搜遍4000万医学文献。AI智能推荐,让科研检索更轻松。

立即免费搜索

文件翻译

保留排版,准确专业,支持PDF/Word/PPT等文件格式,支持 12+语言互译。

免费翻译文档

深度研究

AI帮你快速写综述,25分钟生成高质量综述,智能提取关键信息,辅助科研写作。

立即免费体验