Suppr超能文献

环状 RNA Calm4 通过 circ-Calm4/miR-124-3p/PDCD6 轴调节低氧诱导的肺动脉平滑肌细胞细胞焦亡。

Circular RNA Calm4 Regulates Hypoxia-Induced Pulmonary Arterial Smooth Muscle Cells Pyroptosis via the Circ-Calm4/miR-124-3p/PDCD6 Axis.

机构信息

Central Laboratory of Harbin Medical University, Daqing, China (Y.J., H.L., H.Y., J.Z., W.X., Y.L., S.H., C.M., X. Zheng, L.X., X. Zhao, D.Z.).

Department of Pharmacology, the State-Province Key Laboratories of Biomedicine-Pharmaceutics of China, Key Laboratory of Cardiovascular Research, Ministry of Education, College of Pharmacy, Harbin Medical University, China (Y.J., H.L., H.Y., J.Z., W.X., Y.L., S.H., C.M., X. Zheng, L.Z., X. Zhao, D.Z.).

出版信息

Arterioscler Thromb Vasc Biol. 2021 May 5;41(5):1675-1693. doi: 10.1161/ATVBAHA.120.315525. Epub 2021 Mar 4.

Abstract

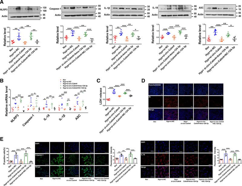
[Figure: see text].

摘要

[图:见正文]。

https://cdn.ncbi.nlm.nih.gov/pmc/blobs/ef2a/8057524/7f34050ed45d/atv-41-1675-g001.jpg

文献检索

告别复杂PubMed语法,用中文像聊天一样搜索,搜遍4000万医学文献。AI智能推荐,让科研检索更轻松。

立即免费搜索

文件翻译

保留排版,准确专业,支持PDF/Word/PPT等文件格式,支持 12+语言互译。

免费翻译文档

深度研究

AI帮你快速写综述,25分钟生成高质量综述,智能提取关键信息,辅助科研写作。

立即免费体验