• 文献检索
  • 文档翻译
  • 深度研究
  • 学术资讯
  • Suppr Zotero 插件Zotero 插件
  • 邀请有礼
  • 套餐&价格
  • 历史记录
应用&插件
Suppr Zotero 插件Zotero 插件浏览器插件Mac 客户端Windows 客户端微信小程序
定价
高级版会员购买积分包购买API积分包
服务
文献检索文档翻译深度研究API 文档MCP 服务
关于我们
关于 Suppr公司介绍联系我们用户协议隐私条款
关注我们

Suppr 超能文献

核心技术专利:CN118964589B侵权必究
粤ICP备2023148730 号-1Suppr @ 2026

文献检索

告别复杂PubMed语法,用中文像聊天一样搜索,搜遍4000万医学文献。AI智能推荐,让科研检索更轻松。

立即免费搜索

文件翻译

保留排版,准确专业,支持PDF/Word/PPT等文件格式,支持 12+语言互译。

免费翻译文档

深度研究

AI帮你快速写综述,25分钟生成高质量综述,智能提取关键信息,辅助科研写作。

立即免费体验

纵隔血管瘤酷似浸润性肿瘤生长:一例报告。

Mediastinal hemangioma mimicking an invasive tumor growth: A case report.

作者信息

Yobita Shogo, Iizuka Shuhei, Otsuki Yoshiro, Nakamura Toru

机构信息

Departments of General Thoracic Surgery and Pathology, Seirei Hamamatsu General Hospital, 2-12-12, Sumiyoshi, Nakaku, Hamamatsu-city, Shizuoka, 430-8558, Japan.

出版信息

Int J Surg Case Rep. 2021 Mar;80:105674. doi: 10.1016/j.ijscr.2021.105674. Epub 2021 Feb 23.

DOI:10.1016/j.ijscr.2021.105674
PMID:33662913
原文链接:https://pmc.ncbi.nlm.nih.gov/articles/PMC7930558/
Abstract

INTRODUCTION AND IMPORTANCE

Mediastinal hemangiomas are a rare entity frequently developing in the anterior mediastinum. They may exhibit an infiltrating appearance into the surrounding tissue, and extensive surgery is often required despite its benign nature. We report a case of a mediastinal hemangioma mimicking an invasive tumor growth requiring a combined resection of the lung and diaphragm.

CASE PRESENTATION

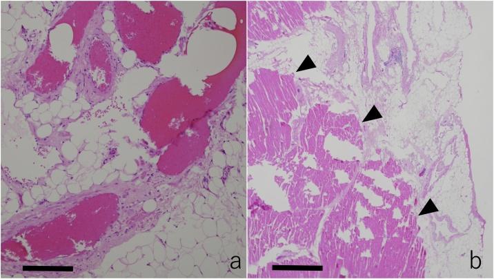
An asymptomatic 73 year-old-man presented with a 50 mm-sized mass on his chest radiography. A combined resection of the mediastinal mass with the part of the lower lobe of left lung and diaphragm not necessitating a patch repair was performed. The pathological findings were compatible with a diagnosis of a mediastinal hemangioma. Only fibrous adhesions were observed between the tumor and resected lung and diaphragm without any histological invasion.

CLINICAL DISCUSSION

While imaging examinations play a key role in determining a preoperative diagnosis, mediastinal hemangiomas may pose a diagnostic challenge mainly due to its rarity. With a clinical suspicion of a hemangioma during the diagnostic work up, a dynamic CT might be helpful.

CONCLUSIONS

In mediastinal hemangiomas, a preoperative diagnosis is essential in order to avoid extensive surgery. A hemangioma should be raised as a differential diagnosis for anterior mediastinal tumors, especially in cases with an infiltrative appearance that suggests the necessity for a combined resection of the surrounding organs.

摘要

引言与重要性

纵隔血管瘤是一种罕见的病变,常发生于前纵隔。它们可能表现出向周围组织浸润的外观,尽管其性质为良性,但通常仍需要进行广泛的手术。我们报告一例纵隔血管瘤,其表现类似侵袭性肿瘤生长,需要联合切除肺和膈肌。

病例介绍

一名73岁无症状男性胸部X线检查发现一个50毫米大小的肿块。对纵隔肿块连同左肺下叶部分及膈肌进行了联合切除,无需补片修复。病理结果符合纵隔血管瘤的诊断。肿瘤与切除的肺和膈肌之间仅观察到纤维粘连,无任何组织学侵犯。

临床讨论

虽然影像学检查在确定术前诊断中起关键作用,但纵隔血管瘤因其罕见性可能带来诊断挑战。在诊断过程中临床怀疑血管瘤时,动态CT可能会有帮助。

结论

对于纵隔血管瘤,术前诊断至关重要,以避免进行广泛的手术。对于前纵隔肿瘤,尤其是那些具有浸润外观提示需要联合切除周围器官的病例,应将血管瘤作为鉴别诊断之一。

https://cdn.ncbi.nlm.nih.gov/pmc/blobs/11bc/7930558/eb1157b86419/gr5.jpg
https://cdn.ncbi.nlm.nih.gov/pmc/blobs/11bc/7930558/1b2756b085d9/gr1.jpg
https://cdn.ncbi.nlm.nih.gov/pmc/blobs/11bc/7930558/16bbdd0c848b/gr2.jpg
https://cdn.ncbi.nlm.nih.gov/pmc/blobs/11bc/7930558/03e0d3ef2937/gr3.jpg
https://cdn.ncbi.nlm.nih.gov/pmc/blobs/11bc/7930558/474f42b56535/gr4.jpg
https://cdn.ncbi.nlm.nih.gov/pmc/blobs/11bc/7930558/eb1157b86419/gr5.jpg
https://cdn.ncbi.nlm.nih.gov/pmc/blobs/11bc/7930558/1b2756b085d9/gr1.jpg
https://cdn.ncbi.nlm.nih.gov/pmc/blobs/11bc/7930558/16bbdd0c848b/gr2.jpg
https://cdn.ncbi.nlm.nih.gov/pmc/blobs/11bc/7930558/03e0d3ef2937/gr3.jpg
https://cdn.ncbi.nlm.nih.gov/pmc/blobs/11bc/7930558/474f42b56535/gr4.jpg
https://cdn.ncbi.nlm.nih.gov/pmc/blobs/11bc/7930558/eb1157b86419/gr5.jpg

相似文献

1
Mediastinal hemangioma mimicking an invasive tumor growth: A case report.纵隔血管瘤酷似浸润性肿瘤生长:一例报告。
Int J Surg Case Rep. 2021 Mar;80:105674. doi: 10.1016/j.ijscr.2021.105674. Epub 2021 Feb 23.
2
[Mediastinal Hemangioma Mimicking a Mature Cystic Teratoma;Report of a Case].[纵隔血管瘤酷似成熟囊性畸胎瘤;一例报告]
Kyobu Geka. 2017 Nov;70(12):1033-1036.
3
Cavernous hemangioma of thymus misdiagnosed as thymoma: a case report.胸腺海绵状血管瘤误诊为胸腺瘤:一例报告。
World J Surg Oncol. 2014 Oct 25;12:323. doi: 10.1186/1477-7819-12-323.
4
A rare case of mediastinal mass with massive pleural effusion misdiagnosed as neurogenic tumor.罕见纵隔肿块伴大量胸腔积液误诊为神经源性肿瘤。
J Cardiothorac Surg. 2022 Dec 13;17(1):307. doi: 10.1186/s13019-022-02082-4.
5
[Usefulness of dynamic computed tomography for the diagnosis of mediastinal hemangioma].动态计算机断层扫描在纵隔血管瘤诊断中的应用价值
Kyobu Geka. 2007 Oct;60(11):1031-4.
6
Mediastinal hemangiomas: a study of 18 cases with emphasis on the spectrum of morphological features.纵隔血管瘤:18例研究,重点关注形态学特征谱
Hum Pathol. 1995 Apr;26(4):416-21. doi: 10.1016/0046-8177(95)90143-4.
7
Resected intramuscular hemangioma in the chest wall: a case report.胸壁切除的肌内血管瘤:一例报告
Surg Case Rep. 2024 Sep 26;10(1):225. doi: 10.1186/s40792-024-02023-4.
8
[Thoracoscopically resected cystic mediastinal hemangioma; report of a case].[经胸腔镜切除的纵隔囊性血管瘤;病例报告]
Kyobu Geka. 2004 Jun;57(6):497-500.
9
Three-dimensional image simulation of primary diaphragmatic hemangioma: A case report.原发性膈肌血管瘤的三维图像模拟:病例报告
World J Clin Cases. 2019 Dec 26;7(24):4307-4313. doi: 10.12998/wjcc.v7.i24.4307.
10
Four cases of invasive anterior mediastinal tumors definitively diagnosed by the chamberlain procedure.4例经张伯伦手术确诊的侵袭性前纵隔肿瘤。
Ann Thorac Cardiovasc Surg. 2014;20 Suppl:434-40. doi: 10.5761/atcs.cr.12.02185. Epub 2013 Apr 11.

引用本文的文献

1
Successful surgical management of capillary hemangioma of the anterior mediastinum with recurrent pleural effusion.成功手术治疗前纵隔毛细血管瘤伴复发性胸腔积液。
Indian J Thorac Cardiovasc Surg. 2025 Mar;41(3):346-349. doi: 10.1007/s12055-024-01804-8. Epub 2024 Aug 28.
2
Rare posterior mediastinal hemangiomas invading the spinal cord through the intervertebral foramen and causing acute symptoms: illustrative case.罕见的后纵隔血管瘤经椎间孔侵犯脊髓并引起急性症状:病例报告
J Neurosurg Case Lessons. 2024 Nov 4;8(19). doi: 10.3171/CASE24485.
3
Cavernous mediastinal hemangioma presenting with persistent cough: a rare case report and review of literature.
表现为持续性咳嗽的纵隔海绵状血管瘤:一例罕见病例报告并文献复习。
J Cardiothorac Surg. 2023 Jan 5;18(1):3. doi: 10.1186/s13019-023-02130-7.
4
A case report of mediastinal cavernous hemangioma.纵隔海绵状血管瘤一例报告
Clin Case Rep. 2021 Aug 25;9(8):e04698. doi: 10.1002/ccr3.4698. eCollection 2021 Aug.