• 文献检索
  • 文档翻译
  • 深度研究
  • 学术资讯
  • Suppr Zotero 插件Zotero 插件
  • 邀请有礼
  • 套餐&价格
  • 历史记录
应用&插件
Suppr Zotero 插件Zotero 插件浏览器插件Mac 客户端Windows 客户端微信小程序
定价
高级版会员购买积分包购买API积分包
服务
文献检索文档翻译深度研究API 文档MCP 服务
关于我们
关于 Suppr公司介绍联系我们用户协议隐私条款
关注我们

Suppr 超能文献

核心技术专利:CN118964589B侵权必究
粤ICP备2023148730 号-1Suppr @ 2026

文献检索

告别复杂PubMed语法,用中文像聊天一样搜索,搜遍4000万医学文献。AI智能推荐,让科研检索更轻松。

立即免费搜索

文件翻译

保留排版,准确专业,支持PDF/Word/PPT等文件格式,支持 12+语言互译。

免费翻译文档

深度研究

AI帮你快速写综述,25分钟生成高质量综述,智能提取关键信息,辅助科研写作。

立即免费体验

来自野生鸟类的速发型新城疫病毒(VII.1.1亚基因型)的分子特征及其对易感鸡致病性的评估

Molecular Characterization of Velogenic Newcastle Disease Virus (Sub-Genotype VII.1.1) from Wild Birds, with Assessment of Its Pathogenicity in Susceptible Chickens.

作者信息

Abd Elfatah Khaled Saad, Elabasy Moshira Abas, El-Khyate Faris, Elmahallawy Ehab Kotb, Mosad Samah M, El-Gohary Fatma A, Abdo Walied, Al-Brakati Ashraf, Seadawy Mohamed G, Tahoon Abd Elnaby, El-Gohary Abd Elgalil

机构信息

Department of Poultry and Rabbit Diseases, Faculty of Veterinary Medicine, Kafrelsheikh University, Kafrelsheikh 33511, Egypt.

Department of Zoonoses, Faculty of Veterinary Medicine, Sohag University, Sohag 82524, Egypt.

出版信息

Animals (Basel). 2021 Feb 15;11(2):505. doi: 10.3390/ani11020505.

DOI:10.3390/ani11020505
PMID:33672003
原文链接:https://pmc.ncbi.nlm.nih.gov/articles/PMC7919289/
Abstract

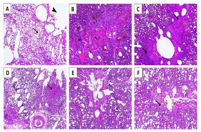
Newcastle disease (ND) is considered to be one of the most economically significant avian viral diseases. It has a worldwide distribution and a continuous diversity of genotypes. Despite its limited zoonotic potential, Newcastle disease virus (NDV) outbreaks in Egypt occur frequently and result in serious economic losses in the poultry industry. In this study, we investigated and characterized NDV in wild cattle egrets and house sparrows. Fifty cattle egrets and fifty house sparrows were collected from the vicinity of chicken farms in Kafrelsheikh Governorate, Egypt, which has a history of NDV infection. Lung, spleen, and brain tissue samples were pooled from each bird and screened for NDV by real-time reverse transcriptase polymerase chain reaction (RRT-PCR) and reverse transcriptase polymerase chain reaction (RT-PCR) to amplify the 370 bp NDV F gene fragment. NDV was detected by RRT-PCR in 22 of 50 (44%) cattle egrets and 13 of 50 (26%) house sparrows, while the conventional RT-PCR detected NDV in 18 of 50 (36%) cattle egrets and 10 of 50 (20%) of house sparrows. Phylogenic analysis revealed that the NDV strains identified in the present study are closely related to other Egyptian class II, sub-genotype VII.1.1 NDV strains from GenBank, having 99.7-98.5% identity. The pathogenicity of the wild-bird-origin NDV sub-genotype VII.1.1 NDV strains were assessed by experimental inoculation of identified strains (KFS-Motobas-2, KFS-Elhamoul-1, and KFS-Elhamoul-3) in 28-day-old specific-pathogen-free (SPF) Cobb chickens. The clinical signs and post-mortem changes of velogenic NDV genotype VII (GVII) were observed in inoculated chickens 3 to 7 days post-inoculation, with 67.5-70% mortality rates. NDV was detected in all NDV-inoculated chickens by RRT-PCR and RT-PCR at 3, 7, and 10 days post-inoculation. The histopathological findings of the experimentally infected chickens showed marked pulmonary congestion and pneumonia associated with complete bronchial stenosis. The spleen showed histocytic cell proliferation with marked lymphoid depletion, while the brain had malacia and diffuse gliosis. These findings provide interesting data about the characterization of NDV in wild birds from Egypt and add to our understanding of their possible role in the transmission dynamics of the disease in Egypt. Further research is needed to explore the role of other species of wild birds in the epidemiology of this disease and to compare the strains circulating in wild birds with those found in poultry.

摘要

新城疫(ND)被认为是最具经济重要性的禽类病毒性疾病之一。它在全球范围内分布,基因型不断多样。尽管其跨物种传播给人类的可能性有限,但埃及仍频繁爆发新城疫病毒(NDV)疫情,给家禽业造成严重经济损失。在本研究中,我们对野生牛背鹭和家麻雀体内的NDV进行了调查和特征分析。从埃及卡夫尔谢赫省有新城疫病毒感染史的养鸡场附近收集了50只牛背鹭和50只家麻雀。从每只鸟身上采集肺、脾和脑组织样本,通过实时逆转录聚合酶链反应(RRT-PCR)和逆转录聚合酶链反应(RT-PCR)对样本进行新城疫病毒筛查,以扩增370bp的新城疫病毒F基因片段。通过RRT-PCR在50只(44%)牛背鹭中的22只以及50只(26%)家麻雀中的13只检测到了新城疫病毒,而传统RT-PCR在50只(36%)牛背鹭中的18只以及50只(20%)家麻雀中的10只检测到了新城疫病毒。系统发育分析表明,本研究中鉴定出的新城疫病毒株与GenBank中其他埃及II类、VII.1.1亚基因型新城疫病毒株密切相关,同源性为99.7 - 98.5%。通过将鉴定出的毒株(KFS - Motobas - 2、KFS - Elhamoul - 1和KFS - Elhamoul - 3)接种到28日龄无特定病原体(SPF)的科布鸡中,评估了源自野生鸟类的VII.1.1亚基因型新城疫病毒株的致病性。接种后3至7天,在接种的鸡中观察到了速发型新城疫病毒基因型VII(GVII)的临床症状和死后变化,死亡率为67.5 - 70%。在接种后3、7和10天,通过RRT-PCR和RT-PCR在所有接种新城疫病毒的鸡中均检测到了新城疫病毒。实验感染鸡的组织病理学检查结果显示,肺部有明显充血和肺炎,伴有完全性支气管狭窄。脾脏显示组织细胞增殖,伴有明显的淋巴细胞耗竭,而脑部有软化和弥漫性胶质增生。这些发现为埃及野生鸟类中新城疫病毒的特征分析提供了有趣的数据,并增进了我们对它们在埃及疾病传播动态中可能作用的理解。需要进一步研究以探索其他野生鸟类物种在该疾病流行病学中的作用,并比较野生鸟类中传播的毒株与家禽中发现的毒株。

https://cdn.ncbi.nlm.nih.gov/pmc/blobs/6985/7919289/fb56088a49cd/animals-11-00505-g009.jpg
https://cdn.ncbi.nlm.nih.gov/pmc/blobs/6985/7919289/e3a23a3f5b81/animals-11-00505-g001.jpg
https://cdn.ncbi.nlm.nih.gov/pmc/blobs/6985/7919289/0fec533f6e3a/animals-11-00505-g002.jpg
https://cdn.ncbi.nlm.nih.gov/pmc/blobs/6985/7919289/9d1e2a321293/animals-11-00505-g003.jpg
https://cdn.ncbi.nlm.nih.gov/pmc/blobs/6985/7919289/c8abfd9b123a/animals-11-00505-g004.jpg
https://cdn.ncbi.nlm.nih.gov/pmc/blobs/6985/7919289/06f858845975/animals-11-00505-g005.jpg
https://cdn.ncbi.nlm.nih.gov/pmc/blobs/6985/7919289/34bf0ccfba3b/animals-11-00505-g006.jpg
https://cdn.ncbi.nlm.nih.gov/pmc/blobs/6985/7919289/d668ddb78e68/animals-11-00505-g007.jpg
https://cdn.ncbi.nlm.nih.gov/pmc/blobs/6985/7919289/5fd49599b7ed/animals-11-00505-g008.jpg
https://cdn.ncbi.nlm.nih.gov/pmc/blobs/6985/7919289/fb56088a49cd/animals-11-00505-g009.jpg
https://cdn.ncbi.nlm.nih.gov/pmc/blobs/6985/7919289/e3a23a3f5b81/animals-11-00505-g001.jpg
https://cdn.ncbi.nlm.nih.gov/pmc/blobs/6985/7919289/0fec533f6e3a/animals-11-00505-g002.jpg
https://cdn.ncbi.nlm.nih.gov/pmc/blobs/6985/7919289/9d1e2a321293/animals-11-00505-g003.jpg
https://cdn.ncbi.nlm.nih.gov/pmc/blobs/6985/7919289/c8abfd9b123a/animals-11-00505-g004.jpg
https://cdn.ncbi.nlm.nih.gov/pmc/blobs/6985/7919289/06f858845975/animals-11-00505-g005.jpg
https://cdn.ncbi.nlm.nih.gov/pmc/blobs/6985/7919289/34bf0ccfba3b/animals-11-00505-g006.jpg
https://cdn.ncbi.nlm.nih.gov/pmc/blobs/6985/7919289/d668ddb78e68/animals-11-00505-g007.jpg
https://cdn.ncbi.nlm.nih.gov/pmc/blobs/6985/7919289/5fd49599b7ed/animals-11-00505-g008.jpg
https://cdn.ncbi.nlm.nih.gov/pmc/blobs/6985/7919289/fb56088a49cd/animals-11-00505-g009.jpg

相似文献

1
Molecular Characterization of Velogenic Newcastle Disease Virus (Sub-Genotype VII.1.1) from Wild Birds, with Assessment of Its Pathogenicity in Susceptible Chickens.来自野生鸟类的速发型新城疫病毒(VII.1.1亚基因型)的分子特征及其对易感鸡致病性的评估
Animals (Basel). 2021 Feb 15;11(2):505. doi: 10.3390/ani11020505.
2
Pathogenesis of Velogenic Genotype VII.1.1 Newcastle Disease Virus Isolated from Chicken in Egypt via Different Inoculation Routes: Molecular, Histopathological, and Immunohistochemical Study.从埃及鸡群中分离出的速发型基因型VII.1.1新城疫病毒经不同接种途径的致病机制:分子、组织病理学和免疫组织化学研究
Animals (Basel). 2021 Dec 15;11(12):3567. doi: 10.3390/ani11123567.
3
Isolation and Genetic Characterization of Genotype VII Velogenic Pathotype Newcastle Disease Virus from Commercial Chicken Farms in Central Ethiopia, Distinct from the Local Vaccine Strains.从埃塞俄比亚中部商业养鸡场中分离出基因型 VII 强毒力新城疫病毒,并对其进行遗传特征分析,该病毒与当地疫苗株不同。
Viruses. 2024 Aug 3;16(8):1249. doi: 10.3390/v16081249.
4
Newcastle Disease Genotype VII Prevalence in Poultry and Wild Birds in Egypt.埃及家禽和野生鸟类中 7 型新城疫病毒的流行情况。
Viruses. 2022 Oct 13;14(10):2244. doi: 10.3390/v14102244.
5
Biological characterization of wild-bird-origin avian avulavirus 1 and efficacy of currently applied vaccines against potential infection in commercial poultry.野生鸟类源禽1型副黏病毒的生物学特性及当前应用疫苗对商品家禽潜在感染的防控效果
Arch Virol. 2018 Oct;163(10):2743-2755. doi: 10.1007/s00705-018-3916-5. Epub 2018 Jun 19.
6
Protective efficacy of the Newcastle disease virus genotype VII-matched vaccine in commercial layers.商品蛋鸡中具有基因型 VII 匹配的新城疫病毒疫苗的保护效力。
Poult Sci. 2020 Mar;99(3):1275-1286. doi: 10.1016/j.psj.2019.10.063. Epub 2020 Feb 1.
7
Active Surveillance and Genetic Characterization of Prevalent Velogenic Newcastle Disease and Highly Pathogenic Avian Influenza H5N8 Viruses Among Migratory Wild Birds in Southern Egypt During 2015-2018.2015-2018 年埃及南部迁徙野生鸟类中流行的低致病性新城疫和高致病性禽流感 H5N8 病毒的主动监测和遗传特征。
Food Environ Virol. 2022 Sep;14(3):280-294. doi: 10.1007/s12560-022-09532-1. Epub 2022 Aug 10.
8
Susceptibility and Pathogenesis of Eurasian Tree Sparrows Experimentally Inoculated with Velogenic Newcastle Disease Virus.实验感染强毒新城疫病毒对欧椋鸟易感性和发病机制的影响。
Avian Dis. 2023 Mar;67(1):57-64. doi: 10.1637/aviandiseases-D-22-00082.
9
Molecular and pathological characterisation of genotype VII Newcastle disease virus on Egyptian chicken farms during 2016-2018.2016-2018 年埃及养鸡场基因型 VII 新城疫病毒的分子和病理学特征。
Acta Vet Hung. 2020 Sep 4;68(2):221-230. doi: 10.1556/004.2020.00027.
10
Molecular characterization of velogenic viscerotropic Ranikhet (Newcastle) disease virus from different outbreaks in desi chickens.来自不同本地鸡群疫情的速发型嗜内脏型新城疫病毒的分子特征分析
Vet World. 2017 Mar;10(3):319-323. doi: 10.14202/vetworld.2017.319-323. Epub 2017 Mar 17.

引用本文的文献

1
Newcastle disease virus in Egyptian domestic poultry, 2019-2021: Molecular characterization, phylogenetic analysis, and coinfection with avian influenza A virus.2019 - 2021年埃及家禽中的新城疫病毒:分子特征、系统发育分析以及与甲型禽流感病毒的共感染
Open Vet J. 2025 Apr;15(4):1848-1857. doi: 10.5455/OVJ.2025.v15.i4.37. Epub 2025 Apr 30.
2
Antiviral activity of newly synthesized pyrazole derivatives against Newcastle disease virus.新合成的吡唑衍生物对新城疫病毒的抗病毒活性
Sci Rep. 2025 May 28;15(1):18745. doi: 10.1038/s41598-025-03495-6.
3
A comprehensive pathological and molecular investigation of viral co-infections in ducks in Egypt.

本文引用的文献

1
Identification of Newcastle disease virus subgenotype VII.2 in wild birds in Turkey.鉴定土耳其野鸟中的新城疫病毒亚群 VII.2。
BMC Vet Res. 2020 Aug 8;16(1):277. doi: 10.1186/s12917-020-02503-3.
2
Pathological and Molecular Characterization of H5 Avian Influenza Virus in Poultry Flocks from Egypt over a Ten-Year Period (2009-2019).埃及家禽群中H5禽流感病毒十年(2009 - 2019年)的病理学和分子特征
Animals (Basel). 2020 Jun 9;10(6):1010. doi: 10.3390/ani10061010.
3
Updated unified phylogenetic classification system and revised nomenclature for Newcastle disease virus.
对埃及鸭群中病毒合并感染进行的全面病理和分子研究。
Front Microbiol. 2025 May 8;16:1522669. doi: 10.3389/fmicb.2025.1522669. eCollection 2025.
4
Genetic and antigenic characteristics of genotype VII.1.1 Newcastle disease viruses currently circulating in Ethiopian chickens.当前在埃塞俄比亚鸡群中传播的VII.1.1基因型新城疫病毒的遗传和抗原特性。
Virol J. 2025 Mar 6;22(1):63. doi: 10.1186/s12985-025-02686-x.
5
Epidemiological study of Newcastle disease in chicken farms in China, 2019-2022.2019 - 2022年中国养鸡场新城疫流行病学研究
Front Vet Sci. 2024 Oct 30;11:1410878. doi: 10.3389/fvets.2024.1410878. eCollection 2024.
6
Characterization of the dominant strain (G-VII) of Newcastle disease viruses isolated from commercial chickens in Bangladesh during recent outbreaks.对近期孟加拉国商业鸡群疫情期间分离出的新城疫病毒优势毒株(G-VII)的特性分析。
J Adv Vet Anim Res. 2024 Jun 9;11(2):408-417. doi: 10.5455/javar.2024.k790. eCollection 2024 Jun.
7
Genomic Diversity and Geographic Distribution of Newcastle Disease Virus Genotypes in Africa: Implications for Diagnosis, Vaccination, and Regional Collaboration.非洲新城疫病毒基因型的基因组多样性和地理分布:对诊断、疫苗接种和区域合作的影响。
Viruses. 2024 May 16;16(5):795. doi: 10.3390/v16050795.
8
Pathological and phylogenetic characteristics of fowl AOAV-1 and H5 isolated from naturally infected Meleagris Gallopavo.从自然感染的雉鸡中分离出的禽 AOV-1 和 H5 的病理和系统发育特征。
BMC Vet Res. 2024 May 21;20(1):216. doi: 10.1186/s12917-024-04029-4.
9
Evaluation of the Newcastle disease virus genotype VII-mismatched vaccines in SPF chickens: A challenge efficacy study.新城疫病毒VII型不匹配疫苗在无特定病原体鸡中的评估:一项攻毒效力研究。
Vet Anim Sci. 2024 Mar 28;24:100348. doi: 10.1016/j.vas.2024.100348. eCollection 2024 Jun.
10
Detection of Avian Orthoavulavirus-1 genotypes VI.2.1 and VII.1.1 with neuro-viscerotropic tropism in some backyard pigeons (Columbidae) in Eastern Saudi Arabia.在沙特阿拉伯东部一些家鸽(鸽科)中检测到具有神经嗜内脏性的禽正呼肠孤病毒1型VI.2.1和VII.1.1基因型。
Front Vet Sci. 2024 Feb 27;11:1352636. doi: 10.3389/fvets.2024.1352636. eCollection 2024.
新城疫病毒更新的统一系统发育分类和修订命名法。
Infect Genet Evol. 2019 Oct;74:103917. doi: 10.1016/j.meegid.2019.103917. Epub 2019 Jun 11.
4
Global phylodynamic analysis of avian paramyxovirus-1 provides evidence of inter-host transmission and intercontinental spatial diffusion.全球禽副黏病毒-1 的系统发育动力学分析提供了宿主间传播和洲际空间扩散的证据。
BMC Evol Biol. 2019 May 24;19(1):108. doi: 10.1186/s12862-019-1431-2.
5
Awareness and antibody detection of Newcastle disease virus in a neglected society in Nigeria.尼日利亚一个被忽视地区新城疫病毒的认知与抗体检测
Vet World. 2019 Jan;12(1):112-118. doi: 10.14202/vetworld.2019.112-118. Epub 2019 Jan 21.
6
Epidemiology, control, and prevention of Newcastle disease in endemic regions: Latin America.拉丁美洲流行地区新城疫的流行病学、控制与预防
Trop Anim Health Prod. 2019 Jun;51(5):1033-1048. doi: 10.1007/s11250-019-01843-z. Epub 2019 Mar 15.
7
Genotype Diversity of Newcastle Disease Virus in Nigeria: Disease Control Challenges and Future Outlook.尼日利亚新城疫病毒的基因型多样性:疾病控制挑战与未来展望
Adv Virol. 2018 Dec 2;2018:6097291. doi: 10.1155/2018/6097291. eCollection 2018.
8
Molecular detection and characterisation of avian paramyxovirus type 1 in backyard chickens and pigeons in Alzintan city of Libya.利比亚阿尔津坦市后院鸡和鸽子中1型禽副粘病毒的分子检测与特征分析
Open Vet J. 2018;8(4):401-405. doi: 10.4314/ovj.v8i4.8. Epub 2018 Oct 28.
9
Adaptation of Newcastle Disease Virus (NDV) in Feral Birds and their Potential Role in Interspecies Transmission.新城疫病毒(NDV)在野生鸟类中的适应性及其在种间传播中的潜在作用。
Open Virol J. 2018 Aug 31;12:52-68. doi: 10.2174/1874357901812010052. eCollection 2018.
10
Pathobiology of Avian avulavirus 1: special focus on waterfowl.水禽中禽腺病毒 1 的病理学研究:特别关注。
Vet Res. 2018 Sep 19;49(1):94. doi: 10.1186/s13567-018-0587-x.