You Xiaona, Ryu Myung-Jeom, Cho Eunjin, Sang Yanzhi, Damnernsawad Alisa, Zhou Yun, Liu Yangang, Zhang Jing, Lee Youngsook
McArdle Laboratory for Cancer Research, University of Wisconsin-Madison, Madison, WI, United States.
Department of Cell and Regenerative Biology, University of Wisconsin-Madison, Madison, WI, United States.
Front Cell Dev Biol. 2021 Feb 11;9:633661. doi: 10.3389/fcell.2021.633661. eCollection 2021.
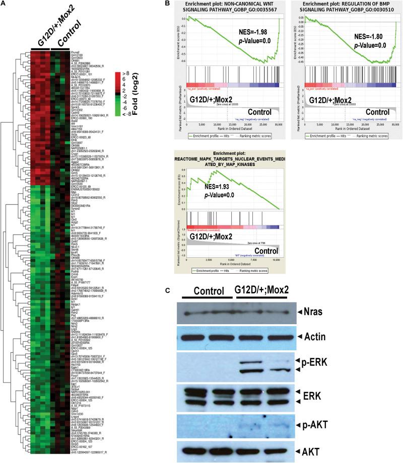
Ras proteins control a complex intracellular signaling network. Gain-of-function mutations in genes lead to RASopathy disorders in humans, including Noonan syndrome (NS). NS is the second most common syndromic cause of congenital heart disease. Although conditional expression of the mutation in adult hematopoietic system is leukemogenic, its effects on embryonic development remain unclear. Here, we report that pan-embryonic expression of endogenous by Mox2-Cre in mice caused embryonic lethality from embryonic day (E) 15.5 and developmental defects predominantly in the heart. At E13.5, embryos displayed a moderate expansion of hematopoietic stem and progenitor cells without a significant impact on erythroid differentiation in the fetal liver. Importantly, the mutant embryos exhibited cardiac malformations resembling human congenital cardiac defects seen in NS patients, including ventricular septal defects, double outlet right ventricle, the hypertrabeculation/thin myocardium, and pulmonary valve stenosis. The mutant heart showed dysregulation of ERK, BMP, and Wnt pathways, crucial signaling pathways for cardiac development. Endothelial/endocardial-specific expression of caused the cardiac morphological defects and embryonic lethality as observed in mutants, but myocardial-specific expression of did not. Thus, oncogenic mutation may not be compatible with embryonic survival.
Ras蛋白控制着一个复杂的细胞内信号网络。相关基因的功能获得性突变会导致人类出现RASopathy疾病,包括努南综合征(NS)。NS是先天性心脏病第二常见的综合征病因。尽管在成年造血系统中条件性表达该突变具有致白血病作用,但其对胚胎发育的影响仍不清楚。在此,我们报告,通过Mox2-Cre在小鼠中进行内源性该基因的全胚胎表达,会导致从胚胎第(E)15.5天开始的胚胎致死,且主要在心脏出现发育缺陷。在E13.5时,该基因的胚胎显示造血干细胞和祖细胞适度扩增,对胎儿肝脏中的红系分化没有显著影响。重要的是,突变胚胎表现出的心脏畸形类似于NS患者中所见的人类先天性心脏缺陷,包括室间隔缺损、右心室双出口、小梁增多/心肌变薄以及肺动脉瓣狭窄。突变心脏显示ERK、BMP和Wnt信号通路失调,这些是心脏发育的关键信号通路。该基因在内皮/心内膜特异性表达会导致如在该基因突变体中观察到的心脏形态缺陷和胚胎致死,但在心肌特异性表达时则不会。因此,致癌性该基因突变可能与胚胎存活不兼容。