Suppr超能文献

心血管计算机断层摄影杂志:2020 年回顾。

The Journal of Cardiovascular Computed Tomography: 2020 Year in review.

机构信息

University of Virginia Health System, Charlottesville, VA, USA.

University of Arkansas for Medical Sciences, Little Rock, AR, USA.

出版信息

J Cardiovasc Comput Tomogr. 2021 Mar-Apr;15(2):180-189. doi: 10.1016/j.jcct.2021.02.004. Epub 2021 Feb 22.

Abstract

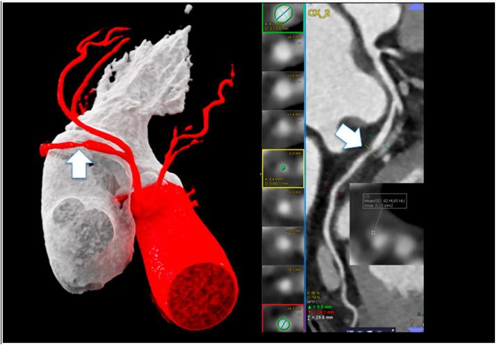
The purpose of this review is to highlight the most impactful, educational, and frequently downloaded articles published in the Journal of Cardiovascular Computed Tomography (JCCT) for the year 2020. The JCCT reached new records in 2020 for the number of research submissions, published manuscripts, article downloads and social media impressions. The articles in this review were selected by the Editorial Board of the JCCT and are comprised predominately of original research publications in the following categories: Coronavirus disease 2019 (COVID-19), coronary artery disease, coronary physiology, structural heart disease, and technical advances. The Editorial Board would like to thank each of the authors, peer-reviewers and the readers of JCCT for making 2020 one of the most successful years in its history, despite the challenging circumstances of the global COVID-19 pandemic.

摘要

本次回顾的目的是突出展示 2020 年在《心血管计算机断层摄影杂志》(JCCT)上发表的最具影响力、最具教育意义且下载频率最高的文章。2020 年,JCCT 在研究提交数量、发表的稿件数量、文章下载量和社交媒体影响力方面均创下新纪录。本评论中的文章由 JCCT 编委会挑选,主要由以下几类的原创研究出版物组成:2019 年冠状病毒病(COVID-19)、冠状动脉疾病、冠状动脉生理学、结构性心脏病和技术进展。编委会要感谢每一位作者、同行评审者和 JCCT 的读者,感谢他们在全球 COVID-19 大流行的艰难环境下,使 2020 年成为该杂志历史上最成功的一年之一。

https://cdn.ncbi.nlm.nih.gov/pmc/blobs/22b5/9212918/e19c2ec5b104/gr1_lrg.jpg

文献检索

告别复杂PubMed语法,用中文像聊天一样搜索,搜遍4000万医学文献。AI智能推荐,让科研检索更轻松。

立即免费搜索

文件翻译

保留排版,准确专业,支持PDF/Word/PPT等文件格式,支持 12+语言互译。

免费翻译文档

深度研究

AI帮你快速写综述,25分钟生成高质量综述,智能提取关键信息,辅助科研写作。

立即免费体验