Suppr超能文献

原发性神经管形成中的局灶性脊髓不分离:局限性背侧脊髓裂和先天性脊髓皮样窦道

Focal Spinal Nondisjunction in Primary Neurulation : Limited Dorsal Myeloschisis and Congenital Spinal Dermal Sinus Tract.

作者信息

Wong Sui-To, Pang Dachling

机构信息

Department of Neurosurgery, Tuen Mun Hospital, Hong Kong, Hong Kong.

Department of Paediatric Neurosurgery, University of California, Davis, CA, USA.

出版信息

J Korean Neurosurg Soc. 2021 Mar;64(2):151-188. doi: 10.3340/jkns.2020.0117. Epub 2021 Feb 26.

Abstract

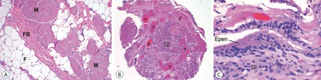
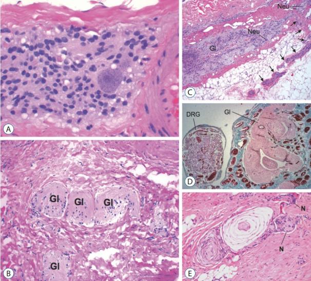
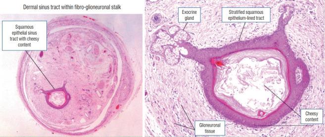
Spinal dysraphic lesions due to focal nondisjunction in primary neurulation are commonly encountered in paediatric neurosurgery, but the "fog-of-war" on these conditions was only gradually dispersed in the past 10 years by the works of the groups led by the senior author and Prof. Kyu-Chang Wang. It is now clear that limited dorsal myeloschisis and congenital spinal dermal sinus tract are conditions at the two ends of a spectrum; and mixed lesions of them with various configurations exist. This review article summarizes the current understanding of these conditions' embryogenetic mechanisms, pathological anatomy and clinical manifestations, and their management strategy and surgical techniques.

摘要

由于原发性神经管形成过程中的局灶性不分离导致的脊柱裂病变在小儿神经外科中很常见,但在过去10年中,由资深作者和王宇辰教授领导的团队的工作才逐渐驱散了这些病症上的“战争迷雾”。现在已经明确,有限性背侧脊髓裂和先天性脊柱皮样窦道是同一谱系两端的病症;并且存在各种形态的它们的混合病变。这篇综述文章总结了目前对这些病症的胚胎发生机制、病理解剖和临床表现,以及它们的治疗策略和手术技术的认识。

https://cdn.ncbi.nlm.nih.gov/pmc/blobs/62a6/7969048/15395f7d70f7/jkns-2020-0117f1.jpg

文献检索

告别复杂PubMed语法,用中文像聊天一样搜索,搜遍4000万医学文献。AI智能推荐,让科研检索更轻松。

立即免费搜索

文件翻译

保留排版,准确专业,支持PDF/Word/PPT等文件格式,支持 12+语言互译。

免费翻译文档

深度研究

AI帮你快速写综述,25分钟生成高质量综述,智能提取关键信息,辅助科研写作。

立即免费体验