• 文献检索
  • 文档翻译
  • 深度研究
  • 学术资讯
  • Suppr Zotero 插件Zotero 插件
  • 邀请有礼
  • 套餐&价格
  • 历史记录
应用&插件
Suppr Zotero 插件Zotero 插件浏览器插件Mac 客户端Windows 客户端微信小程序
定价
高级版会员购买积分包购买API积分包
服务
文献检索文档翻译深度研究API 文档MCP 服务
关于我们
关于 Suppr公司介绍联系我们用户协议隐私条款
关注我们

Suppr 超能文献

核心技术专利:CN118964589B侵权必究
粤ICP备2023148730 号-1Suppr @ 2026

文献检索

告别复杂PubMed语法,用中文像聊天一样搜索,搜遍4000万医学文献。AI智能推荐,让科研检索更轻松。

立即免费搜索

文件翻译

保留排版,准确专业,支持PDF/Word/PPT等文件格式,支持 12+语言互译。

免费翻译文档

深度研究

AI帮你快速写综述,25分钟生成高质量综述,智能提取关键信息,辅助科研写作。

立即免费体验

无细胞游离 DNA 促进凝血酶自溶和凝血酶 C 末端片段的生成。

Cell-Free DNA Promotes Thrombin Autolysis and Generation of Thrombin-Derived C-Terminal Fragments.

机构信息

Lee Kong Chian School of Medicine, Nanyang Technological University Singapore, Singapore, Singapore.

Interdisciplinary Graduate School, NTU Institute for Health Technologies, Nanyang Technological University Singapore, Singapore, Singapore.

出版信息

Front Immunol. 2021 Feb 24;12:593020. doi: 10.3389/fimmu.2021.593020. eCollection 2021.

DOI:10.3389/fimmu.2021.593020
PMID:33717072
原文链接:https://pmc.ncbi.nlm.nih.gov/articles/PMC7943729/
Abstract

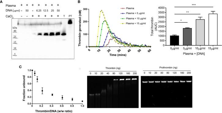
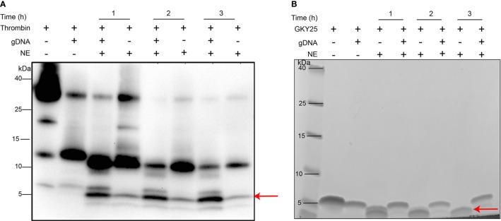
Cell-free DNA (cfDNA) is the major structural component of neutrophil extracellular traps (NETs), an innate immune response to infection. Antimicrobial proteins and peptides bound to cfDNA play a critical role in the bactericidal property of NETs. Recent studies have shown that NETs have procoagulant activity, wherein cfDNA triggers thrombin generation through activation of the intrinsic pathway of coagulation. We have recently shown that thrombin binds to NETs and consequently can alter the proteome of NETs. However, the effect of NETs on thrombin is still unknown. In this study, we report that DNA binding leads to thrombin autolysis and generation of multiple thrombin-derived C-terminal peptides (TCPs) Employing a 25-residue prototypic TCP, GKY25 (GKYGFYTHVFRLKKWIQKVIDQFGE), we show that TCPs bind NETs, thus conferring mutual protection against nuclease and protease degradation. Together, our results demonstrate the complex interplay between coagulation, NET formation, and thrombin cleavage and identify a previously undisclosed mechanism for formation of TCPs.

摘要

无细胞 DNA(cfDNA)是中性粒细胞胞外诱捕网(NETs)的主要结构成分,是一种针对感染的先天免疫反应。与 cfDNA 结合的抗菌蛋白和肽在 NETs 的杀菌特性中起关键作用。最近的研究表明,NETs 具有促凝活性,其中 cfDNA 通过激活凝血的内在途径触发凝血酶生成。我们最近表明,凝血酶与 NETs 结合,从而可以改变 NETs 的蛋白质组。然而,NETs 对凝血酶的影响尚不清楚。在这项研究中,我们报告说 DNA 结合导致凝血酶自溶,并产生多种凝血酶衍生的 C 末端肽(TCP)。我们使用 25 个残基的原型 TCP GKY25(GKYGFYTHVFRLKKWIQKVIDQFGE)表明,TCP 结合 NETs,从而赋予它们免受核酸酶和蛋白酶降解的相互保护。总之,我们的结果表明了凝血、NET 形成和凝血酶裂解之间的复杂相互作用,并确定了 TCP 形成的先前未披露的机制。

https://cdn.ncbi.nlm.nih.gov/pmc/blobs/2a26/7943729/12e5883f4463/fimmu-12-593020-g006.jpg
https://cdn.ncbi.nlm.nih.gov/pmc/blobs/2a26/7943729/be82a77e0d8d/fimmu-12-593020-g001.jpg
https://cdn.ncbi.nlm.nih.gov/pmc/blobs/2a26/7943729/3e5685a77d0b/fimmu-12-593020-g002.jpg
https://cdn.ncbi.nlm.nih.gov/pmc/blobs/2a26/7943729/fc3568a9e628/fimmu-12-593020-g003.jpg
https://cdn.ncbi.nlm.nih.gov/pmc/blobs/2a26/7943729/680e9331429d/fimmu-12-593020-g004.jpg
https://cdn.ncbi.nlm.nih.gov/pmc/blobs/2a26/7943729/befbde7d9dfa/fimmu-12-593020-g005.jpg
https://cdn.ncbi.nlm.nih.gov/pmc/blobs/2a26/7943729/12e5883f4463/fimmu-12-593020-g006.jpg
https://cdn.ncbi.nlm.nih.gov/pmc/blobs/2a26/7943729/be82a77e0d8d/fimmu-12-593020-g001.jpg
https://cdn.ncbi.nlm.nih.gov/pmc/blobs/2a26/7943729/3e5685a77d0b/fimmu-12-593020-g002.jpg
https://cdn.ncbi.nlm.nih.gov/pmc/blobs/2a26/7943729/fc3568a9e628/fimmu-12-593020-g003.jpg
https://cdn.ncbi.nlm.nih.gov/pmc/blobs/2a26/7943729/680e9331429d/fimmu-12-593020-g004.jpg
https://cdn.ncbi.nlm.nih.gov/pmc/blobs/2a26/7943729/befbde7d9dfa/fimmu-12-593020-g005.jpg
https://cdn.ncbi.nlm.nih.gov/pmc/blobs/2a26/7943729/12e5883f4463/fimmu-12-593020-g006.jpg

相似文献

1
Cell-Free DNA Promotes Thrombin Autolysis and Generation of Thrombin-Derived C-Terminal Fragments.无细胞游离 DNA 促进凝血酶自溶和凝血酶 C 末端片段的生成。
Front Immunol. 2021 Feb 24;12:593020. doi: 10.3389/fimmu.2021.593020. eCollection 2021.
2
Neutrophil extracellular traps promote thrombin generation through platelet-dependent and platelet-independent mechanisms.中性粒细胞胞外诱捕网通过血小板依赖和非血小板依赖机制促进凝血酶生成。
Arterioscler Thromb Vasc Biol. 2014 Sep;34(9):1977-84. doi: 10.1161/ATVBAHA.114.304114. Epub 2014 Jul 10.
3
Procoagulant role of neutrophil extracellular traps in patients with gastric cancer.中性粒细胞胞外诱捕网在胃癌患者中的促凝作用。
Int J Clin Exp Pathol. 2015 Nov 1;8(11):14075-86. eCollection 2015.
4
Interactions between neutrophil extracellular traps and activated platelets enhance procoagulant activity in acute stroke patients with ICA occlusion.中性粒细胞胞外诱捕网与活化血小板相互作用增强颈内动脉闭塞性急性脑卒中患者的促凝活性。
EBioMedicine. 2020 Mar;53:102671. doi: 10.1016/j.ebiom.2020.102671. Epub 2020 Feb 27.
5
Platelet factor 4 limits neutrophil extracellular trap- and cell-free DNA-induced thrombogenicity and endothelial injury.血小板因子 4 可限制中性粒细胞胞外诱捕网和无细胞 DNA 诱导的血栓形成和血管内皮损伤。
JCI Insight. 2023 Nov 22;8(22):e171054. doi: 10.1172/jci.insight.171054.
6
Neutrophil extracellular trap-microparticle complexes enhance thrombin generation via the intrinsic pathway of coagulation in mice.中性粒细胞胞外诱捕网-微粒复合物通过凝血的内在途径增强小鼠凝血酶生成。
Sci Rep. 2018 Mar 5;8(1):4020. doi: 10.1038/s41598-018-22156-5.
7
Novel role of the antimicrobial peptide LL-37 in the protection of neutrophil extracellular traps against degradation by bacterial nucleases.抗菌肽LL-37在保护中性粒细胞胞外陷阱免受细菌核酸酶降解中的新作用。
J Innate Immun. 2014;6(6):860-8. doi: 10.1159/000363699. Epub 2014 Jul 8.
8
Elevated Plasma Levels of Cell-Free DNA During Liver Transplantation Are Associated With Activation of Coagulation.肝移植过程中循环游离 DNA 水平升高与凝血激活有关。
Liver Transpl. 2018 Dec;24(12):1716-1725. doi: 10.1002/lt.25329.
9
Influence of pH on the activity of thrombin-derived antimicrobial peptides.pH 值对凝血酶衍生抗菌肽活性的影响。
Biochim Biophys Acta Biomembr. 2018 Nov;1860(11):2374-2384. doi: 10.1016/j.bbamem.2018.06.002. Epub 2018 Jun 6.
10
In vitro activation of coagulation by human neutrophil DNA and histone proteins but not neutrophil extracellular traps.人中性粒细胞DNA和组蛋白可在体外激活凝血,但中性粒细胞胞外诱捕网则不能。
Blood. 2017 Feb 23;129(8):1021-1029. doi: 10.1182/blood-2016-06-722298. Epub 2016 Dec 5.

引用本文的文献

1
Tandem ssDNA in neutrophil extracellular traps binds thrombin and regulates immunothrombosis.中性粒细胞胞外诱捕网中的串联单链DNA结合凝血酶并调节免疫血栓形成。
Proc Natl Acad Sci U S A. 2025 Jul 8;122(27):e2418191122. doi: 10.1073/pnas.2418191122. Epub 2025 Jul 3.
2
Trapped in the NETs: Multiple Roles of Platelets in the Vascular Complications Associated with Neutrophil Extracellular Traps.被困于中性粒细胞胞外陷阱:血小板在与中性粒细胞胞外陷阱相关的血管并发症中的多重作用
Cells. 2025 Feb 25;14(5):335. doi: 10.3390/cells14050335.
3
Effects of cell-free DNA on kidney disease and intervention strategies.

本文引用的文献

1
Thrombin-derived C-terminal fragments aggregate and scavenge bacteria and their proinflammatory products.凝血酶衍生的 C 端片段聚集并清除细菌及其促炎产物。
J Biol Chem. 2020 Mar 13;295(11):3417-3430. doi: 10.1074/jbc.RA120.012741. Epub 2020 Feb 7.
2
A dual-action peptide-containing hydrogel targets wound infection and inflammation.一种含双重作用肽的水凝胶可针对伤口感染和炎症。
Sci Transl Med. 2020 Jan 1;12(524). doi: 10.1126/scitranslmed.aax6601.
3
DAMPs and NETs in Sepsis.脓毒症中的 DAMPs 和 NETs。
游离DNA对肾脏疾病的影响及干预策略。
Front Pharmacol. 2024 May 21;15:1377874. doi: 10.3389/fphar.2024.1377874. eCollection 2024.
4
Neutrophil extracellular traps are involved in the occurrence of interstitial lung disease in a murine experimental autoimmune myositis model.中性粒细胞胞外陷阱参与实验性自身免疫性肌炎小鼠模型中间质性肺病的发生。
Clin Exp Immunol. 2024 Feb 7;215(2):126-136. doi: 10.1093/cei/uxad104.
5
Inhibitors of Polyphosphate and Neutrophil Extracellular Traps.多聚磷酸盐和中性粒细胞胞外诱捕网抑制剂。
Semin Thromb Hemost. 2024 Oct;50(7):970-977. doi: 10.1055/s-0043-1768936. Epub 2023 May 16.
6
Neutrophil extracellular traps have auto-catabolic activity and produce mononucleosome-associated circulating DNA.中性粒细胞胞外诱捕网具有自身自噬活性,并产生与单核小体相关的循环 DNA。
Genome Med. 2022 Nov 28;14(1):135. doi: 10.1186/s13073-022-01125-8.
7
Transcriptional Regulation of Thrombin-Induced Endothelial VEGF Induction and Proangiogenic Response.转录调控凝血酶诱导的血管内皮细胞 VEGF 诱导和促血管生成反应。
Cells. 2021 Apr 15;10(4):910. doi: 10.3390/cells10040910.
Front Immunol. 2019 Oct 30;10:2536. doi: 10.3389/fimmu.2019.02536. eCollection 2019.
4
DNA-bound elastase of neutrophil extracellular traps degrades plasminogen, reduces plasmin formation, and decreases fibrinolysis: proof of concept in septic shock plasma.中性粒细胞胞外诱捕网结合的弹性蛋白酶降解纤溶酶原,减少纤溶酶的形成,并减少纤维蛋白溶解:脓毒性休克血浆中的概念验证。
FASEB J. 2019 Dec;33(12):14270-14280. doi: 10.1096/fj.201901363RRR. Epub 2019 Nov 4.
5
Neutrophil extracellular traps (NET) induced by different stimuli: A comparative proteomic analysis.不同刺激诱导的中性粒细胞胞外陷阱(NET):比较蛋白质组学分析。
PLoS One. 2019 Jul 8;14(7):e0218946. doi: 10.1371/journal.pone.0218946. eCollection 2019.
6
Thrombin and Plasmin Alter the Proteome of Neutrophil Extracellular Traps.凝血酶和纤溶酶改变中性粒细胞胞外诱捕网的蛋白质组。
Front Immunol. 2018 Jul 9;9:1554. doi: 10.3389/fimmu.2018.01554. eCollection 2018.
7
Structural basis for endotoxin neutralisation and anti-inflammatory activity of thrombin-derived C-terminal peptides.凝血酶 C 端肽中和内毒素和抗炎活性的结构基础。
Nat Commun. 2018 Jul 17;9(1):2762. doi: 10.1038/s41467-018-05242-0.
8
Monosodium Urate Crystals Generate Nuclease-Resistant Neutrophil Extracellular Traps via a Distinct Molecular Pathway.尿酸单钠晶体通过独特的分子途径生成核酸酶抗性中性粒细胞细胞外陷阱。
J Immunol. 2018 Mar 1;200(5):1802-1816. doi: 10.4049/jimmunol.1701382. Epub 2018 Jan 24.
9
Proteolytic signatures define unique thrombin-derived peptides present in human wound fluid in vivo.蛋白水解特征可定义在体人创伤液中存在的独特凝血酶衍生肽。
Sci Rep. 2017 Oct 13;7(1):13136. doi: 10.1038/s41598-017-13197-3.
10
Aggregation of thrombin-derived C-terminal fragments as a previously undisclosed host defense mechanism.凝血酶衍生 C 末端片段的聚集作为一种先前未被发现的宿主防御机制。
Proc Natl Acad Sci U S A. 2017 May 23;114(21):E4213-E4222. doi: 10.1073/pnas.1619609114. Epub 2017 May 4.