Suppr超能文献

炎性假瘤样滤泡树突状细胞肉瘤的影像学特征及与放射病理学相关性。

Imaging features and radiologic-pathologic correlations of inflammatory pseudotumor-like follicular dendritic cell sarcoma.

机构信息

Department of Radiology, Ningbo Medical Center Lihuili Hospital, Ningbo University, 1111 Jiangnan Road, Ningbo, Zhejiang, 315000, People's Republic of China.

Department of Diagnosis, Ningbo Diagnostic Pathology Center, Ningbo, Zhejiang, 315021, People's Republic of China.

出版信息

BMC Med Imaging. 2021 Mar 17;21(1):52. doi: 10.1186/s12880-021-00584-6.

Abstract

BACKGROUND

Inflammatory pseudotumor-like follicular dendritic cell sarcoma (IPT-like FDCS) is a rare tumor. This study aimed to reveal the radiological characteristics of IPT-like FDCS by radiologic-pathologic correlation.

RESULTS

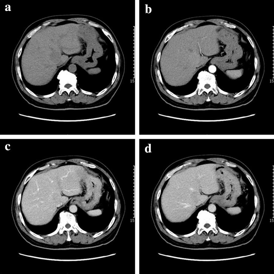
We analyzed two cases of IPT-like FDCS in the liver, nine in the spleen, and two in both the liver and spleen concomitantly. IPT-like FDCS presented as well-defined iso- or hypodense masses on unenhanced computed tomography (CT) images in both the liver and spleen. Hyperintensities on T1-weighted images and hypointensities on T2-weighted images with hypointense rings were characteristic features in splenic cases. "Halo signs" were observed in two out of three liver tumors. Hepatic lesions showed significant enhancement, whereas splenic lesions showed only mild enhancement. Delayed annular enhancement was observed in both liver and spleen cases. On ultrasonographic examination, IPT-like FDCS presented as hypoechoic lesions with enhancement similar to that observed on CT. Hyaline fibrous pseudocapsules, which correlated with the hypointensities on T2-weighted images, were microscopically observed at the tumor edge. IPT-like FDCS was characterized by an abundance of small blood vessels and capillaries. Capillaries were also found in the fibrous capsule of some IPT-like FDCSs, which may explain the delayed annular enhancement.

CONCLUSIONS

The manifestations of IPT-like FDCS in the liver and spleen showed differences that warrant them to be approached differently during diagnosis. Characteristic radiological findings of IPT-like FDCS included different enhancement patterns between liver and spleen tumors and rim-like hypointensities on T2-weighted images, as well as annular enhancement on CT and magnetic resonance images. These imaging features correlated with tumor pathology.

摘要

背景

炎症假瘤样滤泡树突状细胞肉瘤(IPT 样 FDCS)是一种罕见的肿瘤。本研究旨在通过放射病理学相关性揭示 IPT 样 FDCS 的放射学特征。

结果

我们分析了 2 例肝内、9 例脾内和 2 例同时肝脾内的 IPT 样 FDCS。在肝和脾内,IPT 样 FDCS 在未增强 CT 图像上表现为边界清楚的等或低密度肿块。T1 加权图像上的高信号和 T2 加权图像上的低信号伴低信号环是脾内病例的特征性表现。在 3 个肝肿瘤中有 2 个观察到“晕征”。肝内病变表现为明显强化,而脾内病变仅表现为轻度强化。肝和脾内病例均观察到延迟性环形强化。在超声检查中,IPT 样 FDCS 表现为与 CT 所见相似的低回声病变伴增强。在肿瘤边缘观察到与 T2 加权图像低信号相关的玻璃样纤维假包膜。IPT 样 FDCS 的特征是大量的小血管和毛细血管。在一些 IPT 样 FDCS 的纤维包膜中也发现了毛细血管,这可能解释了延迟性环形强化。

结论

肝和脾内 IPT 样 FDCS 的表现存在差异,在诊断时需要区别对待。IPT 样 FDCS 的特征性放射学表现包括肝脾肿瘤之间不同的强化模式和 T2 加权图像上的边缘样低信号,以及 CT 和磁共振图像上的环形强化。这些影像学特征与肿瘤病理学相关。

https://cdn.ncbi.nlm.nih.gov/pmc/blobs/18b3/7972340/cff35a4b479e/12880_2021_584_Fig1_HTML.jpg

文献检索

告别复杂PubMed语法,用中文像聊天一样搜索,搜遍4000万医学文献。AI智能推荐,让科研检索更轻松。

立即免费搜索

文件翻译

保留排版,准确专业,支持PDF/Word/PPT等文件格式,支持 12+语言互译。

免费翻译文档

深度研究

AI帮你快速写综述,25分钟生成高质量综述,智能提取关键信息,辅助科研写作。

立即免费体验